You have no items in your shopping cart.
CEA Mouse Monoclonal Antibody
Description
Research Area
Images & Validation
−| Tested Applications | IF, IHC-Fr, IHC-P, WB |
|---|---|
| Dilution Range | WB=1:500-2000, IHC-P=1:100-500, IHC-F=1:100-500, IF=1:100-500 |
| Reactivity | Human |
Related Conjugates & Formulations
−Key Properties
−| Antibody Type | Primary Antibody |
|---|---|
| Host | Mouse |
| Clonality | Monoclonal |
| Isotype | IgG2b, Kappa |
| Clone No. | 1E3 |
| Immunogen | KLH conjugated synthetic peptide derived from human CEA/CD66e/CEACAM5 (531-630/702aa) |
| Target | CEACAM5 |
| Molecular Weight | 150-200 kDa |
| Purification | Affinity purified by Protein A |
| Conjugation | Unconjugated |
Storage & Handling
−| Storage | Maintain refrigerated at 2-8°C for up to 2 weeks. For long term storage store at -20°C in small aliquots to prevent freeze-thaw cycles. |
|---|---|
| Form/Appearance | Liquid |
| Buffer/Preservatives | 0.01M TBS (pH7.4) with 1% rAlbumin, 0.02% Proclin300 and 50% Glycerol. |
| Concentration | 1mg/ml |
| Expiration Date | 12 months from date of receipt. |
| Disclaimer | For research use only |
Alternative Names
−Similar Products
−Mouse Carcinoembryonic Antigen / CEA Antibody [orb98268]
FC, ICC, IHC-Fr, IHC-P, WB
Human
Mouse
Monoclonal
Unconjugated
0.1 mg

Quality Guarantee
Explore bioreagents carefree to elevate your research. All our products are rigorously tested for performance. If a product does not perform as described on its datasheet, our scientific support team will provide expert troubleshooting, a prompt replacement, or a refund. For full details, please see our Terms & Conditions and Buying Guide. Contact us at [email protected].

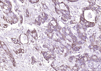
Paraformaldehyde-fixed, paraffin embedded (human rectal carcinoma), Antigen retrieval by boiling in sodium citrate buffer (pH6.0) for 15 min, Block endogenous peroxidase by 3% hydrogen peroxide for 20 minutes, Blocking buffer (normal goat serum) at 37°C for 30 min, Antibody incubation with (CEA) Monoclonal Antibody, Unconjugated (orb156334) at 1:200 overnight at 4°C, followed by operating according to SP Kit (Mouse) instructionsand DAB staining.

Sample: HT29 Cell (Human) Lysate at 40 ug, Primary: Anti-CEA (orb156334) at 1/300 dilution, Secondary: IRDye800CW Goat Anti-Mouse IgG at 1/20000 dilution, Predicted band size: 150-200kD, Observed band size: 180kD.
Quick Database Links
UniProt Details
−Documents Download
Request a Document
Protocol Information
CEA Mouse Monoclonal Antibody (orb156334)
Participating in our Biorbyt product reviews program enables you to support fellow scientists by sharing your firsthand experience with our products.
Login to Submit a Review![Anti-carcinoembryonic antigen [A5B7]](/images/pub/media/catalog/product/NewWebsite/35/orb669753_1.png)
![Anti-carcinoembryonic antigen [A5B7]](/images/pub/media/catalog/product/NewWebsite/35/orb669753_2.png)
![Anti-carcinoembryonic antigen [A5B7]](/images/pub/media/catalog/product/NewWebsite/35/orb669753_3.png)
![Anti-carcinoembryonic antigen [A5B7]](/images/pub/media/catalog/product/NewWebsite/35/orb669754_1.png)
![Anti-carcinoembryonic antigen [A5B7]](/images/pub/media/catalog/product/NewWebsite/35/orb669754_2.png)
![Anti-carcinoembryonic antigen [A5B7]](/images/pub/media/catalog/product/NewWebsite/35/orb669754_3.png)




![Anti-CEA [EB-022]](/images/pub/media/catalog/product/NewWebsite/35/orb1463371_1.png)
![Anti-CEA [EB-022]](/images/pub/media/catalog/product/NewWebsite/35/orb1463371_2.png)