You have no items in your shopping cart.
DPP4 Rabbit Polyclonal Antibody
Description
Images & Validation
−| Tested Applications | IHC, WB |
|---|---|
| Reactivity | Human |
| Predicted Reactivity | Bovine, Canine, Equine, Mouse, Porcine, Rabbit, Rat |
Key Properties
−| Host | Rabbit |
|---|---|
| Clonality | Polyclonal |
| Target | DPP4 |
| Molecular Weight | 84kDa |
| Purification | Affinity Purified |
| Conjugation | Unconjugated |
Storage & Handling
−| Storage | Maintain refrigerated at 2-8°C for up to 2 weeks. For long term storage store at -20°C in small aliquots to prevent freeze-thaw cycles. |
|---|---|
| Buffer/Preservatives | Liquid. Purified antibody supplied in 1x PBS buffer with 0.09% (w/v) sodium azide and 2% sucrose. |
| Concentration | 0.5 mg/ml |
| Disclaimer | For research use only |
Alternative Names
−Similar Products
−DPP4 Antibody [orb626509]
ELISA, IF, IHC, WB
Hamster, Human, Rat
Rabbit
Polyclonal
Unconjugated
50 μg, 100 μg

Quality Guarantee
Explore bioreagents carefree to elevate your research. All our products are rigorously tested for performance. If a product does not perform as described on its datasheet, our scientific support team will provide expert troubleshooting, a prompt replacement, or a refund. For full details, please see our Terms & Conditions and Buying Guide. Contact us at [email protected].

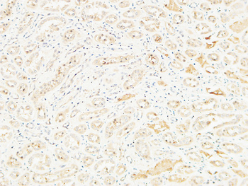
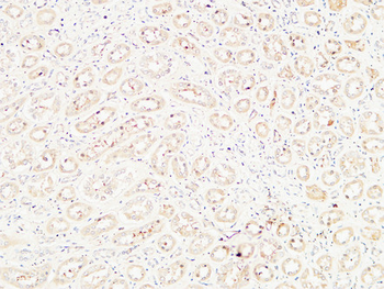
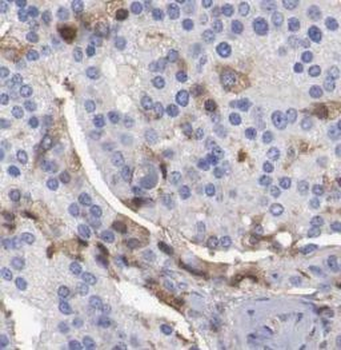
DPP4 antibody - C-terminal region (orb585596), Sample Type: Normal Human Prostate, Primary Antibody dilution: 1 ug/ml, Color/Signal Descriptions: DPP4 (DAB; brown), nuclei (hematoxylin; blue), Gene Name: DPP4.

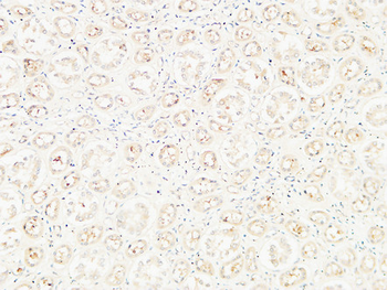
DPP4 antibody - C-terminal region (orb585596), Sample Type: Normal Human Prostate, Primary Antibody dilution: 1 ug/ml, Color/Signal Descriptions: DPP4 (DAB; brown), nuclei (hematoxylin; blue), Gene Name: DPP4.

Lanes: Lane 1: 15 ug MDA-MB-231 lysate, Lane 2: 15 ug MCF-7 lysate, Primary Antibody dilution: 1:1000, Secondary Antibody: Donkey anti-rabbit-HRP, Secondary Antibody dilution: 1:10000, Gene Name: DPP4.

WB Suggested Anti-DPP4 Antibody, Titration: 1.0 ug/ml, Positive Control: 721_B Whole Cell.
Documents Download
Request a Document
Protocol Information
DPP4 Rabbit Polyclonal Antibody (orb585596)
Participating in our Biorbyt product reviews program enables you to support fellow scientists by sharing your firsthand experience with our products.
Login to Submit a Review












