You have no items in your shopping cart.
EDNRB Antibody
Description
Research Area
Images & Validation
−| Tested Applications | ELISA, WB |
|---|---|
| Dilution Range | WB: 1: 500-2000, ELISA: 1: 10000-20000 |
| Reactivity | Human |
Key Properties
−| Host | Rabbit |
|---|---|
| Clonality | Polyclonal |
| Isotype | IgG |
| Immunogen | Synthesized peptide derived from ETBR at AA range: 31-80 |
| Target | EDNRB |
| Purification | The antibody was affinity-purified from rabbit antiserum by affinity-chromatography using epitope-specific immunogen. |
| Conjugation | Unconjugated |
Storage & Handling
−| Storage | Maintain refrigerated at 2-8°C for up to 2 weeks. For long term storage store at -20°C in small aliquots to prevent freeze-thaw cycles. |
|---|---|
| Form/Appearance | Liquid |
| Buffer/Preservatives | Liquid in PBS containing 50% glycerol, 0.5% rAlbumin and 0.02% sodium azide. |
| Expiration Date | 12 months from date of receipt. |
| Disclaimer | For research use only |
Alternative Names
−Similar Products
−Endothelin B Receptor/EDNRB Rabbit Polyclonal Antibody [orb308849]
FC, ICC, IF, IHC, WB
Human, Mouse, Rat
Rabbit
Polyclonal
Unconjugated
100 μgEDNRB Antibody (C-term) [orb1929808]
FC, IF, IHC-P, WB
Equine, Porcine, Rabbit, Rat
Human, Mouse
Rabbit
Polyclonal
Unconjugated
400 μlEndothelin B Receptor Rabbit Polyclonal Antibody [orb5195]
WB
Bovine, Canine, Equine, Gallus, Porcine, Rabbit
Human, Mouse, Rat
Rabbit
Polyclonal
Unconjugated
200 μl, 50 μl, 100 μlEDNRB Antibody (C-term) [orb1429551]
FC, IF, IHC-P, WB
Equine, Porcine, Rabbit, Rat
Human, Mouse
Rabbit
Polyclonal
Unconjugated
80 μl

Quality Guarantee
Explore bioreagents carefree to elevate your research. All our products are rigorously tested for performance. If a product does not perform as described on its datasheet, our scientific support team will provide expert troubleshooting, a prompt replacement, or a refund. For full details, please see our Terms & Conditions and Buying Guide. Contact us at [email protected].

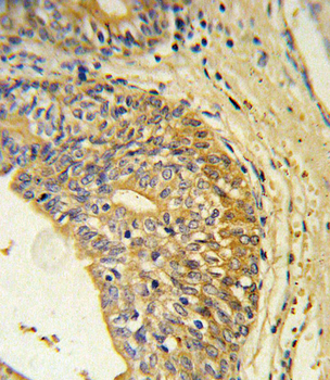
Immunohistochemical staining of human-placenta using EDNRB antibody

Western blot analysis of Hela cells using EDNRB antibody

Immunohistochemical staining of human-placenta using EDNRB antibody
Quick Database Links
UniProt Details
−Documents Download
Request a Document
Protocol Information
EDNRB Antibody (orb676311)
Participating in our Biorbyt product reviews program enables you to support fellow scientists by sharing your firsthand experience with our products.
Login to Submit a Review















