You have no items in your shopping cart.
IGFBP3 Antibody
Description
Research Area
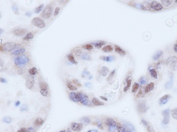
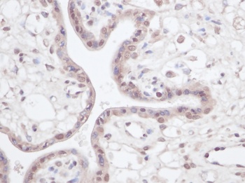
Images & Validation
−| Tested Applications | ELISA, IHC, WB |
|---|---|
| Dilution range | WB: 1:500-1:2000, IHC-P: 1:100-1:300, ELISA: 1:20000 |
| Reactivity | Human, Mouse |
Key Properties
−| Host | Rabbit |
|---|---|
| Clonality | Polyclonal |
| Isotype | IgG |
| Immunogen | Synthesized peptide derived from Human IGFBP3 around the non-phosphorylation site of S183. |
| Target | IGFBP3 |
| Purification | The antibody was affinity-purified from rabbit antiserum by affinity-chromatography using epitope-specific immunogen. |
| Conjugation | Unconjugated |
Storage & Handling
−| Storage | Maintain refrigerated at 2-8°C for up to 2 weeks. For long term storage store at -20°C in small aliquots to prevent freeze-thaw cycles. |
|---|---|
| Form/Appearance | Liquid |
| Buffer/Preservatives | Liquid in PBS containing 50% glycerol, 0.5% rAlbumin and 0.02% sodium azide. |
| Disclaimer | For research use only |
Alternative Names
−Similar Products
−IGFBP3 rabbit pAb Antibody [orb765471]
ELISA, IF, IHC, WB
Human, Mouse
Polyclonal
Unconjugated
50 μl, 100 μlHuman Insulin Like Growth Factor Binding Protein 3 (IGFBP3) ELISA Kit [orb775004]
Human
0.16-10 ng/mL
0.068 ng/mL
96 T, 48 TIGFBP3 Antibody (S183) [orb1929038]
WB
Bovine, Porcine
Hamster, Human, Mouse, Rat
Rabbit
Polyclonal
Unconjugated
100 μl, 50 μlIGFBP3 Antibody [orb1410220]
FC, IF
Human
Mouse
Monoclonal
Unconjugated
100 μg, 20 μg, 100 μg (without BSA and Azide)

Quality Guarantee
Explore bioreagents carefree to elevate your research. All our products are rigorously tested for performance. If a product does not perform as described on its datasheet, our scientific support team will provide expert troubleshooting, a prompt replacement, or a refund. For full details, please see our Terms & Conditions and Buying Guide. Contact us at [email protected].

Western blot analysis of MOUSE-BRAIN cells using IGFBP3 antibody

Western blot analysis of MOUSE-BRAIN cells using IGFBP3 antibody
Quick Database Links
UniProt Details
−Documents Download
Request a Document
Protocol Information
IGFBP3 Antibody (orb675644)
Participating in our Biorbyt product reviews program enables you to support fellow scientists by sharing your firsthand experience with our products.
Login to Submit a Review
















