You have no items in your shopping cart.
LC3B Antibody
Description
Research Area
Images & Validation
−| Tested Applications | IF, IHC, WB |
|---|---|
| Dilution range | Western Blot 1:1000 – 1:2000 Immunofluorescence 1:200 – 1:500 Immunohistochemistry (Paraffin) 1:100 – 1:200 |
| Reactivity | Human, Mouse, Rat |
Key Properties
−| Host | Rabbit |
|---|---|
| Clonality | Polyclonal |
| Isotype | Rabbit-IgG |
| Immunogen | Synthetic peptide / encompassing a sequence within the N-terminus region. |
| Target | LC3B |
| Conjugation | Unconjugated |
Storage & Handling
−| Storage | Maintain refrigerated at 2-8°C for up to 2 weeks. For long term storage store at -20°C in small aliquots to prevent freeze-thaw cycles. |
|---|---|
| Disclaimer | For research use only |
Similar Products
−LC3 antibody [orb33328]
ICC, IF, IHC-P, WB
Bovine
Human, Mouse, Rat
Rabbit
Polyclonal
Unconjugated
100 μgMAP1LC3B Antibody [orb1274430]
IF, IHC, WB
Human, Mouse, Porcine, Rat
Rabbit
Polyclonal
Unconjugated
100 μlLC3B Rabbit mAb Antibody [orb1951302]
ICC, IF, IHC, IP, WB
Human, Mouse, Rat
Rabbit
Monoclonal
Unconjugated
100 μl, 50 μlLC3B Rabbit Polyclonal Antibody [orb6295]
IF, IHC-Fr, IHC-P
Bovine, Canine, Equine, Gallus, Human, Porcine, Zebrafish
Mouse, Rabbit, Rat
Rabbit
Polyclonal
Unconjugated
50 μl, 100 μl, 200 μlHuman Microtubule-Associated Proteins 1A/1B Light Chain 3B (MAP1LC3B) ELISA Kit [orb782414]
Human
0.16-10 ng/mL
0.057 ng/mL
96 T, 48 T

Quality Guarantee
Explore bioreagents carefree to elevate your research. All our products are rigorously tested for performance. If a product does not perform as described on its datasheet, our scientific support team will provide expert troubleshooting, a prompt replacement, or a refund. For full details, please see our Terms & Conditions and Buying Guide. Contact us at [email protected].

All lanes: Anti-LC3B antibody at 1/1000 dilution, Lysates/proteins at 50 µg per lane. This blot was produced using a 15% SDS-PAGE. The gel was run at 140V for 50 minutes before being transferred onto a Nitrocellulose membrane at 18V for 60 minutes. The membrane was then blocked for an hour before being incubated with orb1294361 overnight at 4°C.

Immunofluorescence: cells were fixed with 4% paraformaldehyde for 10 min at RT, permeabilized with 0.1% NP-40 for 10 min at RT then blocked with 5% BSA for 30 min at room temperature. Cells were stained with orb1294361 anti-LC3B antibody (red) at 1:200 and 4°C. DAPI (blue) was used as the nuclear counter stain.

Immunofluorescence: cells were fixed with 4% paraformaldehyde for 10 min at RT, permeabilized with 0.1% NP-40 for 10 min at RT then blocked with 5% BSA for 30 min at room temperature. Cells were stained with orb1294361 anti-LC3B antibody (red) at 1:200 and 4°C. DAPI (blue) was used as the nuclear counter stain.

Immunohistochemical analysis of paraffin embedded Human colorental and liver cancer tissue labeling LC3B with orb1294361 at 1/100.

Immunohistochemical analysis of paraffin embedded Human Kidney cancer tissue labeling LC3B with orb1294361 at 1/100.

Immunohistochemical analysis of paraffin embedded Human testis and breast cancer tissue labeling LC3B with orb1294361 at 1/100.

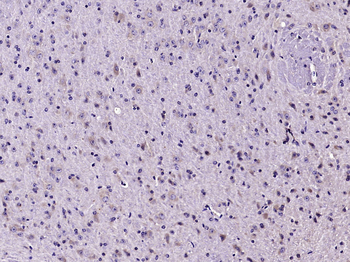
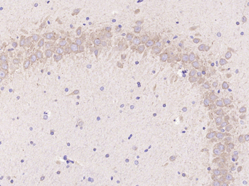
Immunohistochemical analysis of paraffin embedded mouse tissue labeling LC3B with orb1294361 at 1/200.

Immunohistochemical analysis of paraffin embedded mouse tissue labeling LC3B with orb1294361 at 1/200.

Immunohistochemical analysis of paraffin embedded mouse tissue labeling LC3B with orb1294361 at 1/200.

LC3B antibody at 1/1000 dilution. Lysates/proteins at 50 µg per lane. This blot was produced using a 15% SDS-PAGE. Nitrocellulose membrane was then blocked for an hour before being incubated with orb1294361 overnight at 4°C.

LC3B antibody at 1/1000 dilution. Lysates/proteins at 50 µg per lane. This blot was produced using a 15% SDS-PAGE. Nitrocellulose membrane was then blocked for an hour before being incubated with orb1294361 overnight at 4°C.
Quick Database Links
Documents Download
Request a Document
Protocol Information
LC3B Antibody (orb1294361)
Participating in our Biorbyt product reviews program enables you to support fellow scientists by sharing your firsthand experience with our products.
Login to Submit a Review





































