You have no items in your shopping cart.
Description
Research Area
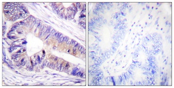
Images & Validation
−| Tested Applications | FC, WB |
|---|---|
| Dilution Range | WB=1:500-2000, Flow-Cyt=1ug/Test |
| Reactivity | Human, Mouse, Rat |
| Predicted Reactivity | Bovine, Canine, Equine, Gallus, Rabbit |
Related Conjugates & Formulations
−Key Properties
−| Antibody Type | Primary Antibody |
|---|---|
| Host | Rabbit |
| Clonality | Polyclonal |
| Isotype | IgG |
| Immunogen | KLH conjugated synthetic peptide derived from human 14-3-3 zeta/delta (51-150/245aa) |
| Target | YWHAZ |
| Molecular Weight | 27 kDa |
| Purification | Affinity purified by Protein A |
| Conjugation | Unconjugated |
Storage & Handling
−| Storage | Maintain refrigerated at 2-8°C for up to 2 weeks. For long term storage store at -20°C in small aliquots to prevent freeze-thaw cycles. |
|---|---|
| Form/Appearance | Liquid |
| Buffer/Preservatives | 0.01M TBS (pH7.4) with 1% rAlbumin, 0.02% Proclin300 and 50% Glycerol. |
| Concentration | 1mg/ml |
| Expiration Date | 12 months from date of receipt. |
| Disclaimer | For research use only |
Alternative Names
−Similar Products
−14-3-3 zeta/delta Rabbit Polyclonal Antibody [orb382906]
ICC, IF, IHC-P, WB
Human, Mouse, Porcine, Rat
Rabbit
Polyclonal
Unconjugated
100 μg, 200 μg14-3-3 ζ/δ rabbit pAb Antibody [orb770400]
ELISA, IF, IHC, WB
Human, Mouse, Rat
Polyclonal
Unconjugated
100 μl, 50 μl14-3-3 zeta Rabbit Polyclonal Antibody [orb214751]
IF, IHC, IP, WB
Bovine, Gallus, Human, Mouse, Porcine, Rat, Sheep, Zebrafish
Rabbit
Polyclonal
Unconjugated
30 μl, 100 μl, 200 μl, 50 μl14-3-3 zeta Rabbit Polyclonal Antibody [orb224041]
IF, IHC, WB
Bovine, Gallus, Human, Mouse, Porcine, Rat, Sheep
Rabbit
Polyclonal
Unconjugated
30 μl, 100 μl, 200 μl, 50 μl14-3-3 zeta/delta/YWHAZ/14 Rabbit Polyclonal Antibody [orb413035]
ICC, IF, WB
Human, Mouse, Rat
Rabbit
Polyclonal
Unconjugated
100 μg

Quality Guarantee
Explore bioreagents carefree to elevate your research. All our products are rigorously tested for performance. If a product does not perform as described on its datasheet, our scientific support team will provide expert troubleshooting, a prompt replacement, or a refund. For full details, please see our Terms & Conditions and Buying Guide. Contact us at [email protected].

Blank control (black line): Raji (black) (The cells were fixed with 2% paraformaldehyde (10 min), then permeabilized with PBST for 30 min on room temperature), Primary Antibody (rad line): Rabbit Anti-14-3-3 zeta+delta antibody (orb100007), Dilution: 1 µg/10^6 cells, Isotype Control Antibody (grenn line): Rabbit IgG. Secondary Antibody (white blue line): Goat anti-rabbit IgG-PE, Dilution: 1 µg/test.

Blank control (blue line): HL60 (fixed with 70% ethanol (overninght at 4℃) and then permeabilized with 0.1% PBS-Tween for 20 min at room temperature). Primary Antibody (green line): Rabbit Anti-14-3-3 zeta+delta antibody (orb100007), Dilution: 0.2 µg/10^6 cells, Isotype Control Antibody (orange line): Rabbit IgG. Secondary Antibody (white blue line): Goat anti-rabbit IgG-PE.

Sample: Cerebrum (Mouse) Lysate at 40 ug, Primary: Anti-14-3-3 zeta+delta (orb100007) at 1/500 dilution, Secondary: IRDye800CW Goat Anti-Rabbit IgG at 1/20000 dilution, Predicted band size: 27 kD, Observed band size: 27 kD.

Sample: Cerebrum (Rat) Lysate at 40 ug, Primary: Anti-14-3-3 zeta+delta (orb100007) at 1/500 dilution, Secondary: IRDye800CW Goat Anti-Rabbit IgG at 1/20000 dilution, Predicted band size: 27 kD, Observed band size: 27 kD.
Quick Database Links
UniProt Details
−Documents Download
Request a Document
Protocol Information
14-3-3 zeta+delta Rabbit Polyclonal Antibody (orb100007)
Participating in our Biorbyt product reviews program enables you to support fellow scientists by sharing your firsthand experience with our products.
Login to Submit a Review




















