You have no items in your shopping cart.
ACE Rabbit Polyclonal Antibody
Description
Research Area
Images & Validation
−| Tested Applications | ELISA, WB |
|---|---|
| Dilution Range | WB=1:500-2000, ELISA=1:5000-10000 |
| Reactivity | Mouse, Rat |
| Predicted Reactivity | Bovine, Canine, Human, Porcine |
Key Properties
−| Antibody Type | Primary Antibody |
|---|---|
| Host | Rabbit |
| Clonality | Polyclonal |
| Isotype | IgG |
| Immunogen | KLH conjugated synthetic peptide derived from human ACE1 (801-900/1306aa) |
| Target | ACE |
| Molecular Weight | 147 kDa |
| Purification | Affinity purified by Protein A |
| Conjugation | Unconjugated |
Storage & Handling
−| Storage | Maintain refrigerated at 2-8°C for up to 2 weeks. For long term storage store at -20°C in small aliquots to prevent freeze-thaw cycles. |
|---|---|
| Form/Appearance | Liquid |
| Buffer/Preservatives | 0.01M TBS (pH7.4) with 1% rAlbumin, 0.02% Proclin300 and 50% Glycerol. |
| Concentration | 1mg/ml |
| Expiration Date | 12 months from date of receipt. |
| Disclaimer | For research use only |
Alternative Names
−Similar Products
−ACE2 Rabbit Polyclonal Antibody [orb704533]
IF, IHC-Fr, IHC-P, WB
Mouse, Rat
Human, Mouse, Rat
Rabbit
Polyclonal
Unconjugated
50 μl, 100 μl, 200 μlACE2 Rabbit Polyclonal Antibody [orb10029]
IF, IHC-Fr, IHC-P, WB
Canine, Mammal, Porcine, Sheep
Human
Rabbit
Polyclonal
Unconjugated
50 μl, 200 μl, 100 μlAngiotensin Converting Enzyme 1/ACE Rabbit Polyclonal Antibody [orb215879]
ICC, IF, IHC, IHC-Fr, WB
Human, Mouse, Rat
Rabbit
Polyclonal
Unconjugated
100 μgACE2 Rabbit Polyclonal Antibody [orb638863]
FC, ICC, WB
Bovine, Canine, Equine, Gallus, Mammal, Porcine, Rabbit, Rat
Human, Mouse
Rabbit
Polyclonal
Unconjugated
50 μl, 100 μl, 200 μl

Quality Guarantee
Explore bioreagents carefree to elevate your research. All our products are rigorously tested for performance. If a product does not perform as described on its datasheet, our scientific support team will provide expert troubleshooting, a prompt replacement, or a refund. For full details, please see our Terms & Conditions and Buying Guide. Contact us at [email protected].

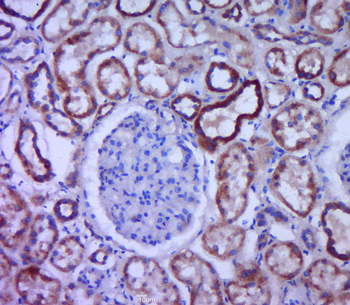
Paraformaldehyde-fixed, paraffin embedded (human kidney tissue), Antigen retrieval by boiling in sodium citrate buffer (pH6.0) for 15 min, Block endogenous peroxidase by 3% hydrogen peroxide for 20 minutes, Blocking buffer (normal goat serum) at 37°C for 30 min, Antibody incubation with (ACE) Polyclonal Antibody, Unconjugated (orb10028) at 1:400 overnight at 4°C, followed by a conjugated secondary for 20 minutes and DAB staining.

Sample: Lane 1: Mouse Lung tissue lysates, Lane 2: Mouse Testis tissue lysates, Lane 3: Rat Lung tissue lysates, Lane 4: Rat Testis tissue lysates, Primary: Anti-ACE (orb10028) at 1/1000 dilution, Secondary: IRDye800CW Goat Anti-Rabbit IgG at 1/20000 dilution, Predicted band size: 147 kDa, Observed band size: 110, 180 kDa.
Quick Database Links
UniProt Details
−Documents Download
Request a Document
Protocol Information
ACE Rabbit Polyclonal Antibody (orb10028)
Participating in our Biorbyt product reviews program enables you to support fellow scientists by sharing your firsthand experience with our products.
Login to Submit a Review






























