You have no items in your shopping cart.
Description
Research Area
Images & Validation
−| Tested Applications | IHC, WB |
|---|---|
| Reactivity | Human |
| Predicted Reactivity | Human |
Key Properties
−| Host | Rabbit |
|---|---|
| Clonality | Polyclonal |
| Immunogen | The immunogen is a synthetic peptide directed towards the C terminal region of human AGER |
| Target | AGER |
| Protein Sequence | Synthetic peptide located within the following region: RIRAGNSSPGPGDPGRPGDSRPAHWGHLVAKAATPRRGEEGPRKPGGRGG |
| Molecular Weight | 38kDa |
| Purification | Protein A purified |
| Conjugation | Unconjugated |
Storage & Handling
−| Storage | Maintain refrigerated at 2-8°C for up to 2 weeks. For long term storage store at -20°C in small aliquots to prevent freeze-thaw cycles. |
|---|---|
| Buffer/Preservatives | Liquid. Purified antibody supplied in 1x PBS buffer with 0.09% (w/v) sodium azide and 2% sucrose. |
| Concentration | 1.0 mg/ml |
| Expiration Date | 12 months from date of receipt. |
| Disclaimer | For research use only |
Alternative Names
−Similar Products
−RAGE Rabbit Polyclonal Antibody [orb10063]
FC, IF, IHC-Fr, IHC-P, WB
Human, Mouse
Human, Mouse, Rat
Rabbit
Polyclonal
Unconjugated
100 μl, 200 μl, 50 μlRAGE Rabbit Polyclonal Antibody [orb155611]
IF, IHC-Fr, IHC-P, WB
Bovine, Canine, Human, Porcine
Mouse, Rat
Rabbit
Polyclonal
Unconjugated
200 μl, 50 μl, 100 μlRAGE Rabbit Polyclonal Antibody (FITC) [orb15071]
FC, IF
Human, Mouse, Rat
Rabbit
Polyclonal
FITC
100 μlAGER Rabbit Polyclonal Antibody [orb578077]
WB
Bovine, Canine, Equine, Guinea pig, Porcine, Rabbit, Rat
Human, Mouse
Rabbit
Polyclonal
Unconjugated
100 μlRAGE/AGER Rabbit Polyclonal Antibody [orb308764]
IHC, WB
Human, Mouse, Rat
Rabbit
Polyclonal
Unconjugated
100 μg

Quality Guarantee
Explore bioreagents carefree to elevate your research. All our products are rigorously tested for performance. If a product does not perform as described on its datasheet, our scientific support team will provide expert troubleshooting, a prompt replacement, or a refund. For full details, please see our Terms & Conditions and Buying Guide. Contact us at [email protected].

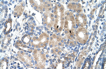
Rabbit Anti-AGER Antibody, Paraffin Embedded Tissue: Human Kidney, Cellular Data: Epithelial cells of renal tubule, Antibody Concentration: 4.0-8.0 ug/ml, Magnification: 400X.

WB Suggested Anti-AGER antibody Titration: 1 ug/ml, Sample Type: Human K562.

WB Suggested Anti-AGER Antibody Titration: 2.5 ug/ml, Positive Control: Jurkat cell lysate. AGER is supported by BioGPS gene expression data to be expressed in Jurkat.
Documents Download
Request a Document
Protocol Information
AGER Rabbit Polyclonal Antibody (orb578144)
Participating in our Biorbyt product reviews program enables you to support fellow scientists by sharing your firsthand experience with our products.
Login to Submit a Review
















