You have no items in your shopping cart.
AHR Rabbit Polyclonal Antibody
Description
Research Area
Images & Validation
−| Tested Applications | IHC, WB |
|---|---|
| Reactivity | Human |
| Predicted Reactivity | Bovine, Canine, Guinea pig, Mouse, Rabbit, Rat, Sheep |
Key Properties
−| Host | Rabbit |
|---|---|
| Clonality | Polyclonal |
| Immunogen | The immunogen is a synthetic peptide directed towards the N terminal region of human AHR |
| Target | AHR |
| Protein Sequence | Synthetic peptide located within the following region: RAKSFFDVALKSSPTERNGGQDNCRAANFREGLNLQEGEFLLQALNGFVL |
| Molecular Weight | 96kDa |
| Purification | Protein A purified |
| Conjugation | Unconjugated |
Storage & Handling
−| Storage | Maintain refrigerated at 2-8°C for up to 2 weeks. For long term storage store at -20°C in small aliquots to prevent freeze-thaw cycles. |
|---|---|
| Buffer/Preservatives | Liquid. Purified antibody supplied in 1x PBS buffer with 0.09% (w/v) sodium azide and 2% sucrose. |
| Concentration | 1.0 mg/ml |
| Expiration Date | 12 months from date of receipt. |
| Disclaimer | For research use only |
Alternative Names
−Similar Products
−AHR Rabbit Polyclonal Antibody [orb443145]
FC, ICC, IHC, WB
Human, Mouse, Rat
Rabbit
Polyclonal
Unconjugated
100 μgAryl hydrocarbon Receptor/AHR Rabbit Polyclonal Antibody [orb106570]
FC, ICC, IF, IHC, WB
Human, Mouse, Rat
Rabbit
Polyclonal
Unconjugated
100 μgAHRR Rabbit Polyclonal Antibody [orb1804656]
ELISA, FC, ICC, IF, IHC, WB
Human
Rabbit
Polyclonal
Unconjugated
100 μgAHR Rabbit Polyclonal Antibody [orb4234]
FC, ICC, IF, IHC-Fr, IHC-P
Mouse
Human, Rat
Rabbit
Polyclonal
Unconjugated
50 μl, 100 μl, 200 μlAHR Rabbit Polyclonal Antibody [orb573872]
WB
Bovine, Canine, Guinea pig, Mouse, Rabbit, Rat
Human
Rabbit
Polyclonal
Unconjugated
100 μl

Quality Guarantee
Explore bioreagents carefree to elevate your research. All our products are rigorously tested for performance. If a product does not perform as described on its datasheet, our scientific support team will provide expert troubleshooting, a prompt replacement, or a refund. For full details, please see our Terms & Conditions and Buying Guide. Contact us at [email protected].

Sample Type: HepG2, Lane A: Primary Antibody, Lane B: Primary Antibody + Blocking Peptide, Primary Antibody Concentration: 5.0 ug/ml. Peptide Concentration: 2.0 ug/ml. Lysate Quantity: 25 ug/lane, Gel Concentration: 6%-18%.

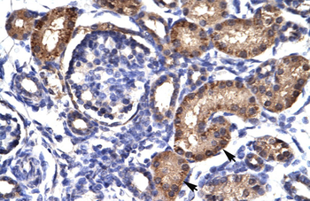
Human kidney

WB Suggested Anti-AHR Antibody Titration: 2.5 ug/ml, Positive Control: HepG2 cell lysate.
Documents Download
Request a Document
Protocol Information
AHR Rabbit Polyclonal Antibody (orb574098)
Participating in our Biorbyt product reviews program enables you to support fellow scientists by sharing your firsthand experience with our products.
Login to Submit a Review






































