You have no items in your shopping cart.
AIFM1 Rabbit Polyclonal Antibody
Description
Images & Validation
−| Tested Applications | WB |
|---|---|
| Reactivity | Human, Mouse, Rat |
| Predicted Reactivity | Bovine, Canine, Equine, Porcine, Rabbit |
Key Properties
−| Host | Rabbit |
|---|---|
| Clonality | Polyclonal |
| Immunogen | The immunogen is a synthetic peptide directed towards the middle region of human AIFM1 |
| Target | AIFM1 |
| Molecular Weight | 67kDa |
| Purification | Affinity Purified |
| Conjugation | Unconjugated |
Storage & Handling
−| Storage | Maintain refrigerated at 2-8°C for up to 2 weeks. For long term storage store at -20°C in small aliquots to prevent freeze-thaw cycles. |
|---|---|
| Buffer/Preservatives | Liquid. Purified antibody supplied in 1x PBS buffer with 0.09% (w/v) sodium azide and 2% sucrose. |
| Concentration | 0.5 mg/ml |
| Disclaimer | For research use only |
Alternative Names
−Similar Products
−PDCD8 Rabbit Polyclonal Antibody [orb324833]
WB
Bovine, Canine, Equine, Guinea pig, Porcine, Rabbit, Rat, Sheep, Zebrafish
Human, Mouse
Rabbit
Polyclonal
Unconjugated
100 μlAIF-M1 rabbit pAb [orb764490]
ELISA, IF, IHC-P, WB
Human, Mouse, Rat
Polyclonal
Unconjugated
50 μl, 100 μlAIFM1 Antibody [orb675306]
ELISA, IF, IHC, WB
Human, Mouse, Rat
Rabbit
Polyclonal
Unconjugated
100 μg, 50 μgPDCD8 Rabbit Polyclonal Antibody [orb327614]
IHC, WB
Bovine, Canine, Sheep
Human
Rabbit
Polyclonal
Unconjugated
100 μl

Quality Guarantee
Explore bioreagents carefree to elevate your research. All our products are rigorously tested for performance. If a product does not perform as described on its datasheet, our scientific support team will provide expert troubleshooting, a prompt replacement, or a refund. For full details, please see our Terms & Conditions and Buying Guide. Contact us at [email protected].

Sample Tissue: Mouse Heart, Antibody Dilution: 1 ug/ml.

Sample Tissue: Mouse Heart, Antibody Dilution: 1 ug/ml.

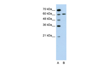
WB Suggested Anti-AIFM1 Antibody, Titration: 1 ug/ml, Positive Control: Rat tissue.

WB Suggested Anti-AIFM1 Antibody Titration: 0.2-1 ug/ml, ELISA Titer: 1:1562500, Positive Control: Jurkat cell lysate. AIFM1 is supported by BioGPS gene expression data to be expressed in Jurkat.
Documents Download
Request a Document
AIFM1 Rabbit Polyclonal Antibody (orb592665)
Participating in our Biorbyt product reviews program enables you to support fellow scientists by sharing your firsthand experience with our products.
Login to Submit a Review















