You have no items in your shopping cart.
Alpha-synuclein (nitro-Tyr39) Rabbit Polyclonal Antibody
Description
Research Area
Images & Validation
−| Tested Applications | FC, IF, IHC-Fr, IHC-P |
|---|---|
| Dilution Range | IHC-P=1:100-500, IHC-F=1:100-500, IF=1:100-500, Flow-Cyt=1ug/Test |
| Reactivity | Human, Mouse, Rat |
| Predicted Reactivity | Bovine, Canine, Equine, Gallus, Guinea pig, Porcine, Rabbit, Sheep |
Related Conjugates & Formulations
−Key Properties
−| Antibody Type | Primary Antibody |
|---|---|
| Host | Rabbit |
| Clonality | Polyclonal |
| Isotype | IgG |
| Immunogen | KLH conjugated Synthesised nitrylpeptide derived from human SNCA around the nitrosation site of Tyr39 VL(nitrated-Y)VG |
| Target | SNCA |
| Molecular Weight | 15 kDa |
| Purification | Affinity purified by Protein A |
| Conjugation | Unconjugated |
Storage & Handling
−| Storage | Maintain refrigerated at 2-8°C for up to 2 weeks. For long term storage store at -20°C in small aliquots to prevent freeze-thaw cycles. |
|---|---|
| Form/Appearance | Liquid |
| Buffer/Preservatives | 0.01M TBS (pH7.4) with 1% rAlbumin, 0.02% Proclin300 and 50% Glycerol. |
| Concentration | 1mg/ml |
| Expiration Date | 12 months from date of receipt. |
| Disclaimer | For research use only |
Alternative Names
−Similar Products
−Alpha-synuclein (nitro-Tyr39) Rabbit Polyclonal Antibody (HRP) [orb482275]
IHC-Fr, IHC-P
Bovine, Canine, Equine, Gallus, Guinea pig, Porcine, Rabbit, Sheep
Human, Mouse, Rat
Rabbit
Polyclonal
HRP
100 μlAlpha-synuclein (nitro-Tyr39) Rabbit Polyclonal Antibody (Biotin) [orb445081]
FC, IF, IHC-Fr, IHC-P
Bovine, Canine, Equine, Gallus, Guinea pig, Porcine, Rabbit, Sheep
Human, Mouse, Rat
Rabbit
Polyclonal
Biotin
100 μlAlpha-synuclein (nitro-Tyr39) Rabbit Polyclonal Antibody (PE-Cy7) [orb872014]
FC, IF
Bovine, Canine, Equine, Gallus, Guinea pig, Porcine, Rabbit, Sheep
Human, Mouse, Rat
Rabbit
Polyclonal
PE/Cy7
100 μlAlpha-synuclein (nitro-Tyr39) Rabbit Polyclonal Antibody (PE-Cy5.5) [orb872343]
FC, IF
Bovine, Canine, Equine, Gallus, Guinea pig, Porcine, Rabbit, Sheep
Human, Mouse, Rat
Rabbit
Polyclonal
PE/Cy5.5
100 μlAlpha-synuclein (nitro-Tyr39) Rabbit Polyclonal Antibody (PE) [orb498534]
FC, IF
Bovine, Canine, Equine, Gallus, Guinea pig, Porcine, Rabbit, Sheep
Human, Mouse, Rat
Rabbit
Polyclonal
PE
100 μl

Quality Guarantee
Explore bioreagents carefree to elevate your research. All our products are rigorously tested for performance. If a product does not perform as described on its datasheet, our scientific support team will provide expert troubleshooting, a prompt replacement, or a refund. For full details, please see our Terms & Conditions and Buying Guide. Contact us at [email protected].

Blank control (Black line): HUVEC (Black). Primary Antibody (green line): Rabbit Anti-Alpha-synuclein (nitro-Tyr39) antibody (orb155648), Dilution: 1 µg/10^6 cells, Isotype Control Antibody (orange line): Rabbit IgG. Secondary Antibody (white blue line): Goat anti-rabbit IgG-AF647, Dilution: 1 µg/Test. Protocol, The cells were fixed with 4% PFA (10 min at room temperature) and then permeabilized with 90% ice-cold methanol for 20 min at room temperature. The cells were then incubated in 5% BSA to block non-specific protein-protein interactions for 30 min at room temperature. Cells stained with Primary Antibody for 30 min at room temperature. The secondary antibody used for 40 min at room temperature. Acquisition of 20000 events was performed.

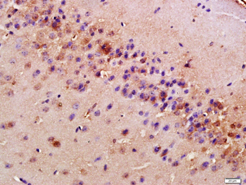
Paraformaldehyde-fixed, paraffin embedded (Mouse brain), Antigen retrieval by boiling in sodium citrate buffer (pH6.0) for 15 min, Block endogenous peroxidase by 3% hydrogen peroxide for 20 minutes, Blocking buffer (normal goat serum) at 37°C for 30 min, Antibody incubation with (Alpha-synuclein (nitro-Tyr39)) Polyclonal Antibody, Unconjugated (orb155648) at 1:500 overnight at 4°C, followed by a conjugated secondary for 20 minutes and DAB staining.

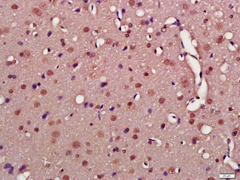
Paraformaldehyde-fixed, paraffin embedded (Rat brain), Antigen retrieval by boiling in sodium citrate buffer (pH6.0) for 15 min, Block endogenous peroxidase by 3% hydrogen peroxide for 20 minutes, Blocking buffer (normal goat serum) at 37°C for 30 min, Antibody incubation with (Alpha-synuclein (nitro-Tyr39)) Polyclonal Antibody, Unconjugated (orb155648) at 1:500 overnight at 4°C, followed by a conjugated secondary for 20 minutes and DAB staining.

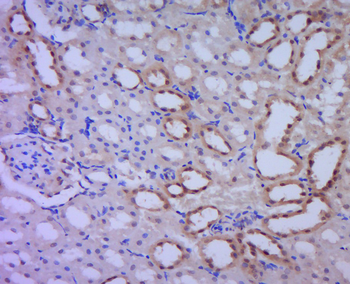
Paraformaldehyde-fixed, paraffin embedded (rat kidney tissue), Antigen retrieval by boiling in sodium citrate buffer (pH6.0) for 15 min, Block endogenous peroxidase by 3% hydrogen peroxide for 20 minutes, Blocking buffer (normal goat serum) at 37°C for 30 min, Antibody incubation with (Alpha-synuclein (nitro-Tyr39)) Polyclonal Antibody, Unconjugated (orb155648) at 1:400 overnight at 4°C, followed by a conjugated secondary for 20 minutes and DAB staining.
Quick Database Links
UniProt Details
−Documents Download
Request a Document
Protocol Information
Sarah Wright et al. Selective peroxynitrite-mediated protein nitration catalyzed by glyoxalase domain containing protein 4 Proc Natl Acad Sci U S A, (2026)
Alpha-synuclein (nitro-Tyr39) Rabbit Polyclonal Antibody (orb155648)
Participating in our Biorbyt product reviews program enables you to support fellow scientists by sharing your firsthand experience with our products.
Login to Submit a Review