You have no items in your shopping cart.
AMBP Rabbit Polyclonal Antibody
Description
Images & Validation
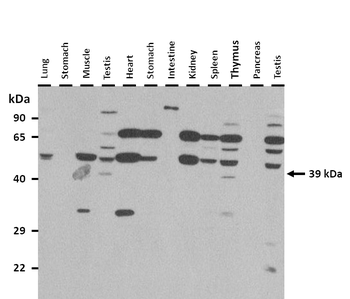
−| Tested Applications | WB |
|---|---|
| Reactivity | Human |
| Predicted Reactivity | Bovine, Equine, Guinea pig, Porcine, Rabbit, Rat |
Key Properties
−| Host | Rabbit |
|---|---|
| Clonality | Polyclonal |
| Immunogen | The immunogen is a synthetic peptide directed towards the N terminal region of human AMBP |
| Target | AMBP |
| Molecular Weight | 39kDa |
| Purification | Affinity Purified |
| Conjugation | Unconjugated |
Storage & Handling
−| Storage | Maintain refrigerated at 2-8°C for up to 2 weeks. For long term storage store at -20°C in small aliquots to prevent freeze-thaw cycles. |
|---|---|
| Buffer/Preservatives | Liquid. Purified antibody supplied in 1x PBS buffer with 0.09% (w/v) sodium azide and 2% sucrose. |
| Concentration | 0.5 mg/ml |
| Disclaimer | For research use only |
Alternative Names
−Similar Products
−Ambp Rabbit Polyclonal Antibody [orb578291]
WB
Bovine, Canine, Equine, Guinea pig, Human, Mouse, Porcine, Rabbit
Rat
Rabbit
Polyclonal
Unconjugated
100 μlAMBP Rabbit Polyclonal Antibody [orb78003]
ELISA, IHC, WB
Mouse, Rat
Human
Rabbit
Polyclonal
Unconjugated
100 μgAmbp Rabbit Polyclonal Antibody [orb584239]
WB
Bovine, Canine, Equine, Goat, Guinea pig, Human, Mouse, Rabbit, Sheep
Rat
Rabbit
Polyclonal
Unconjugated
100 μl

Quality Guarantee
Explore bioreagents carefree to elevate your research. All our products are rigorously tested for performance. If a product does not perform as described on its datasheet, our scientific support team will provide expert troubleshooting, a prompt replacement, or a refund. For full details, please see our Terms & Conditions and Buying Guide. Contact us at [email protected].

Sample Type: Human 721_B, Antibody dilution: 1.0 ug/ml. AMBP is supported by BioGPS gene expression data to be expressed in 721_B.

Sample Type: Human Adult Placenta, Antibody dilution: 1.0 ug/ml.

Sample Type: Human HepG2, Antibody dilution: 1.0 ug/ml. AMBP is supported by BioGPS gene expression data to be expressed in HepG2.

WB Suggested Anti-AMBP Antibody Titration: 0.2-1 ug/ml, ELISA Titer: 1:312500, Positive Control: Hela cell lysate.
Documents Download
Request a Document
AMBP Rabbit Polyclonal Antibody (orb584240)
Participating in our Biorbyt product reviews program enables you to support fellow scientists by sharing your firsthand experience with our products.
Login to Submit a Review






