You have no items in your shopping cart.
Beclin 1/BECN1 Antibody
Description
Images & Validation
−| Tested Applications | FC, ICC, IF, IP, WB |
|---|---|
| Reactivity | Human, Mouse, Rat |
| Application Notes |
Key Properties
−| Antibody Type | Primary Antibody |
|---|---|
| Host | Rabbit |
| Clonality | Polyclonal |
| Isotype | Rabbit IgG |
| Immunogen | E.coli-derived human Beclin 1 recombinant protein (Position: M1-S354). Human Beclin 1 shares 97% amino acid (aa) sequence identity with both mouse and rat Beclin 1. |
| Molecular Weight | 60 kDa |
| Purification | Immunogen affinity purified. |
| Conjugation | Unconjugated |
Storage & Handling
−| Storage | Maintain refrigerated at 2-8°C for up to 2 weeks. For long term storage store at -20°C in small aliquots to prevent freeze-thaw cycles. |
|---|---|
| Form/Appearance | Lyophilized |
| Concentration | Adding 0.2 ml of distilled water will yield a concentration of 500 μg/ml. |
| Disclaimer | For research use only |
Alternative Names
−Similar Products
−Beclin 1 Mouse Monoclonal Antibody [orb499660]
IF, IHC-Fr, IHC-P
Mouse, Rat
Human, Mouse, Rat
Mouse
Monoclonal
Unconjugated
200 μl, 100 μl, 50 μl, 200 μgBeclin 1 Recombinant Rabbit Monoclonal Antibody [orb2563484]
IF, IHC-Fr, IHC-P, WB
Mouse, Rat
Human, Mouse, Rat
Rabbit
Recombinant
Unconjugated
25 μl, 200 μg, 50 μl, 200 μl, 100 μlBeclin 1 Rabbit Polyclonal Antibody [orb500808]
IF, IHC-Fr, IHC-P, WB
Bovine, Porcine
Human, Mouse, Porcine, Rat
Rabbit
Polyclonal
Unconjugated
50 μl, 100 μl, 200 μlBeclin 1 Rabbit Polyclonal Antibody [orb704275]
IF, IHC-Fr, IHC-P, WB
Rabbit
Human, Mouse, Rat
Rabbit
Polyclonal
Unconjugated
100 μl, 50 μl

Quality Guarantee
Explore bioreagents carefree to elevate your research. All our products are rigorously tested for performance. If a product does not perform as described on its datasheet, our scientific support team will provide expert troubleshooting, a prompt replacement, or a refund. For full details, please see our Terms & Conditions and Buying Guide. Contact us at [email protected].

Flow Cytometry analysis of HepG2 cells using anti-Beclin-1 antibody (Blue line).Isotype control antibody (Green line) was rabbit IgG .Unlabelled sample (Red line) was also used as a control.

WB analysis of Beclin 1 using anti-Beclin 1 antibody.Lane 1:human Colo320 cell; 2:human HepG2 cell; 3:human PANC cell; 4:human A431 cell; 5:human Smmc cell; 6:human Jurkat cell; 7:human SW620 cell; 8:human U87 cell.

IF analysis of Beclin-1 using anti-Beclin-1 antibody. Beclin-1 was detected in immunocytochemical section of U20S cells.

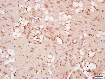
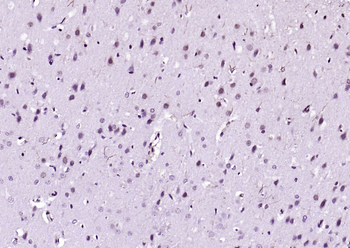
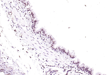
IHC analysis of Beclin 1 using anti-Beclin 1 antibody. Beclin 1 was detected in a paraffin-embedded section of mouse intestine tissue.

IHC analysis of Beclin 1 using anti-Beclin 1 antibody. Beclin 1 was detected in a paraffin-embedded section of mouse spleen tissue.

IHC analysis of Beclin 1 using anti-Beclin 1 antibody. Beclin 1 was detected in a paraffin-embedded section of rat intestine tissue.

IHC analysis of Beclin 1 using anti-Beclin 1 antibody. Beclin 1 was detected in a paraffin-embedded section of rat spleen tissue.
Quick Database Links
UniProt Details
−Documents Download
Request a Document
Protocol Information
Beclin 1/BECN1 Antibody (orb196247)
Participating in our Biorbyt product reviews program enables you to support fellow scientists by sharing your firsthand experience with our products.
Login to Submit a Review










































