You have no items in your shopping cart.
CD10/MME Antibody
Description
Images & Validation
−| Tested Applications | FC, IHC, WB |
|---|---|
| Reactivity | Human, Rat |
| Application Notes |
Key Properties
−| Antibody Type | Primary Antibody |
|---|---|
| Host | Rabbit |
| Clonality | Polyclonal |
| Isotype | Rabbit IgG |
| Immunogen | E.coli-derived human CD10 recombinant protein (Position: Y52-W750). Human CD10 shares 94% amino acid (aa) sequences identity with both mouse and rat CD10. |
| Target | Neprilysin |
| Molecular Weight | 100 kDa |
| Purification | Immunogen affinity purified. |
| Conjugation | Unconjugated |
Storage & Handling
−| Storage | Maintain refrigerated at 2-8°C for up to 2 weeks. For long term storage store at -20°C in small aliquots to prevent freeze-thaw cycles. |
|---|---|
| Form/Appearance | Lyophilized |
| Concentration | Adding 0.2 ml of distilled water will yield a concentration of 500 μg/ml. |
| Disclaimer | For research use only |
Alternative Names
−Similar Products
−
Quality Guarantee
Explore bioreagents carefree to elevate your research. All our products are rigorously tested for performance. If a product does not perform as described on its datasheet, our scientific support team will provide expert troubleshooting, a prompt replacement, or a refund. For full details, please see our Terms & Conditions and Buying Guide. Contact us at [email protected].

Flow Cytometry analysis of Daudi cells using anti-CD10/MME antibody (Blue line).Isotype control antibody (Green line) was rabbit IgG. Unlabelled sample (Red line) was also used as a control.

WB analysis of CD10/MME using anti-CD10/MME antibody.Lane 1:human Daudi cell;2:human U-87MG cell;3:human placenta tissue;4:rat kidney tissue.

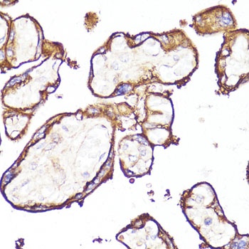
IHC analysis of CD10/MME using anti-CD10/MME antibody. CD10/MME was detected in a paraffin-embedded section of human lymphoma tissue.

IHC analysis of CD10/MME using anti-CD10/MME antibody. CD10/MME was detected in a paraffin-embedded section of human placenta tissue.

IHC analysis of CD10/MME using anti-CD10/MME antibody. CD10/MME was detected in a paraffin-embedded section of human renal cell carcinoma tissue.
Quick Database Links
UniProt Details
−Documents Download
Request a Document
Protocol Information
CD10/MME Antibody (orb182390)
Participating in our Biorbyt product reviews program enables you to support fellow scientists by sharing your firsthand experience with our products.
Login to Submit a Review









