You have no items in your shopping cart.
CD147/Emmprin Mouse Monoclonal Antibody
Description
Research Area
Images & Validation
−| Tested Applications | FC, IF, IHC, WB |
|---|---|
| Dilution Range | Western blot, 0.25-0.5 μg/ml, Human Immunohistochemistry(Paraffin-embedded Section), 2-5 μg/ml, Human, Mouse Immunocytochemistry, 5 μg/ml, Human Flow Cytometry (Fixed), 1-3 μg/1x10^6 cells, Human |
| Reactivity | Human, Mouse |
Key Properties
−| Antibody Type | Primary Antibody |
|---|---|
| Host | Mouse |
| Clonality | Monoclonal |
| Isotype | Mouse IgG2a |
| Clone No. | 7H5E7 |
| Immunogen | E.coli-derived human CD147/Emmprin recombinant protein (Position: E138-A323). Human CD147/Emmprin shares 51.1% and 51.9% amino acid (aa) sequence identity with mouse and rat CD147/Emmprin, respectively. |
| Target | Basigin |
| Molecular Weight | 35-60 kDa |
| Purification | Immunogen affinity purified. |
| Conjugation | Unconjugated |
Storage & Handling
−| Storage | Maintain refrigerated at 2-8°C for up to 2 weeks. For long term storage store at -20°C in small aliquots to prevent freeze-thaw cycles. |
|---|---|
| Form/Appearance | Lyophilized |
| Buffer/Preservatives | Each vial contains 4 mg Trehalose, 0.9 mg NaCl and 0.2 mg Na2HPO4. |
| Concentration | Adding 0.2 ml of distilled water will yield a concentration of 500 μg/ml. |
| Expiration Date | 12 months from date of receipt. |
| Disclaimer | For research use only |
Alternative Names
−Similar Products
−CD147/Emmprin Mouse Monoclonal Antibody [orb1145850]
IF, IHC, WB
Human, Mouse
Mouse
Monoclonal
Unconjugated
100 μgCD147/Emmprin Mouse Monoclonal Antibody [orb1145848]
IF, IHC, WB
Human, Mouse
Mouse
Monoclonal
Unconjugated
100 μgCD147 / EMMPRIN / Neurothelin Antibody - With BSA and Azide [orb1789672]
FC, IF, IHC
Human
Mouse
Monoclonal
Unconjugated
20 μgCD147 / EMMPRIN / Neurothelin Antibody - With BSA and Azide [orb1461912]
FC, IF, IHC
Human
Mouse
Monoclonal
Unconjugated
BSG (CD147) mouse monoclonal antibody [orb2327904]
IF, IHC, WB
Human
Mouse
Monoclonal
Unconjugated
25 μl, 100 μl

Quality Guarantee
Explore bioreagents carefree to elevate your research. All our products are rigorously tested for performance. If a product does not perform as described on its datasheet, our scientific support team will provide expert troubleshooting, a prompt replacement, or a refund. For full details, please see our Terms & Conditions and Buying Guide. Contact us at [email protected].

Flow Cytometry analysis of SiHa cells using anti-CD147/Emmprin antibody. Overlay histogram showing SiHa cells (Blue line). To facilitate intracellular staining, cells were fixed with 4% paraformaldehyde and permeabilized with permeabilization buffer. The cells were blocked with 10% normal goat serum. And then incubated with mouse anti-CD147/Emmprin Antibody (1 µg/1x10^6 cells) for 30 min at 20°C. DyLight®488 conjugated goat anti-mouse IgG (5-10 µg/1x10^6 cells) was used as secondary antibody for 30 minutes at 20°C. Isotype control antibody (Green line) was mouse IgG (1 µg/1x10^6) used under the same conditions. Unlabelled sample without incubation with primary antibody and secondary antibody (Red line) was used as a blank control.

IF analysis of CD147/Emmprin using anti-CD147/Emmprin antibody. CD147/Emmprin was detected in a paraffin-embedded section of human intestine cancer tissue. Heat mediated antigen retrieval was performed in EDTA buffer (pH8.0, epitope retrieval solution). The tissue section was blocked with 10% goat serum. The tissue section was then incubated with 5 µg/mL mouse anti-CD147/Emmprin Antibody overnight at 4°C. Biotin conjugated goat anti-mouse IgG was used as secondary antibody and incubated for 30 minutes at 37°C. The tissue section was developed using DyLight®488 Conjugated Avidin. The section was counterstained with DAPI. Visualize using a fluorescence microscope and filter sets appropriate for the label used.

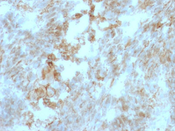
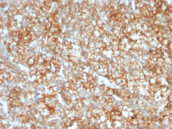
IHC analysis of CD147/Emmprin using anti-CD147/Emmprin antibody. CD147/Emmprin was detected in a paraffin-embedded section of human breast infiltrating ductal carcinoma tissue. Heat mediated antigen retrieval was performed in EDTA buffer (pH8.0, epitope retrieval solution). The tissue section was blocked with 10% goat serum. The tissue section was then incubated with 2 µg/ml mouse anti-CD147/Emmprin Antibody overnight at 4°C. Peroxidase Conjugated Goat Anti-mouse IgG was used as secondary antibody and incubated for 30 minutes at 37°C. The tissue section was developed using HRP Conjugated Mouse IgG Super Vision Assay Kit with DAB as the chromogen.

IHC analysis of CD147/Emmprin using anti-CD147/Emmprin antibody. CD147/Emmprin was detected in a paraffin-embedded section of human colorectal adenocarcinoma tissue. Heat mediated antigen retrieval was performed in EDTA buffer (pH8.0, epitope retrieval solution). The tissue section was blocked with 10% goat serum. The tissue section was then incubated with 2 µg/ml mouse anti-CD147/Emmprin Antibody overnight at 4°C. Peroxidase Conjugated Goat Anti-mouse IgG was used as secondary antibody and incubated for 30 minutes at 37°C. The tissue section was developed using HRP Conjugated Mouse IgG Super Vision Assay Kit with DAB as the chromogen.

IHC analysis of CD147/Emmprin using anti-CD147/Emmprin antibody. CD147/Emmprin was detected in a paraffin-embedded section of human endometrial cancer tissue. Heat mediated antigen retrieval was performed in EDTA buffer (pH8.0, epitope retrieval solution). The tissue section was blocked with 10% goat serum. The tissue section was then incubated with 2 µg/ml mouse anti-CD147/Emmprin Antibody overnight at 4°C. Peroxidase Conjugated Goat Anti-mouse IgG was used as secondary antibody and incubated for 30 minutes at 37°C. The tissue section was developed using HRP Conjugated Mouse IgG Super Vision Assay Kit with DAB as the chromogen.

IHC analysis of CD147/Emmprin using anti-CD147/Emmprin antibody. CD147/Emmprin was detected in a paraffin-embedded section of human hepatocellular carcinoma tissue. Heat mediated antigen retrieval was performed in EDTA buffer (pH8.0, epitope retrieval solution). The tissue section was blocked with 10% goat serum. The tissue section was then incubated with 2 µg/ml mouse anti-CD147/Emmprin Antibody overnight at 4°C. Peroxidase Conjugated Goat Anti-mouse IgG was used as secondary antibody and incubated for 30 minutes at 37°C. The tissue section was developed using HRP Conjugated Mouse IgG Super Vision Assay Kit with DAB as the chromogen.

IHC analysis of CD147/Emmprin using anti-CD147/Emmprin antibody. CD147/Emmprin was detected in a paraffin-embedded section of human laryngeal squamous cell carcinomas tissue. Heat mediated antigen retrieval was performed in EDTA buffer (pH8.0, epitope retrieval solution). The tissue section was blocked with 10% goat serum. The tissue section was then incubated with 2 µg/ml mouse anti-CD147/Emmprin Antibody overnight at 4°C. Peroxidase Conjugated Goat Anti-mouse IgG was used as secondary antibody and incubated for 30 minutes at 37°C. The tissue section was developed using HRP Conjugated Mouse IgG Super Vision Assay Kit with DAB as the chromogen.

IHC analysis of CD147/Emmprin using anti-CD147/Emmprin antibody. CD147/Emmprin was detected in a paraffin-embedded section of human ovarian cancer tissue. Heat mediated antigen retrieval was performed in EDTA buffer (pH8.0, epitope retrieval solution). The tissue section was blocked with 10% goat serum. The tissue section was then incubated with 2 µg/ml mouse anti-CD147/Emmprin Antibody overnight at 4°C. Peroxidase Conjugated Goat Anti-mouse IgG was used as secondary antibody and incubated for 30 minutes at 37°C. The tissue section was developed using HRP Conjugated Mouse IgG Super Vision Assay Kit with DAB as the chromogen.

IHC analysis of CD147/Emmprin using anti-CD147/Emmprin antibody. CD147/Emmprin was detected in a paraffin-embedded section of mouse kidney tissue. Heat mediated antigen retrieval was performed in EDTA buffer (pH8.0, epitope retrieval solution). The tissue section was blocked with 10% goat serum. The tissue section was then incubated with 2 µg/ml mouse anti-CD147/Emmprin Antibody overnight at 4°C. Peroxidase Conjugated Goat Anti-mouse IgG was used as secondary antibody and incubated for 30 minutes at 37°C. The tissue section was developed using HRP Conjugated Mouse IgG Super Vision Assay Kit with DAB as the chromogen.

Western blot analysis of CD147/Emmprin using anti-CD147/Emmprin antibody. Electrophoresis was performed on a 5-20% SDS-PAGE gel at 70V (Stacking gel) / 90V (Resolving gel) for 2-3 hours. The sample well of each lane was loaded with 30 ug of sample under reducing conditions. Lane 1: human Hela whole cell lysates, Lane 2: human Jurkat whole cell lysates, Lane 3: human HepG2 whole cell lysates. After electrophoresis, proteins were transferred to a nitrocellulose membrane at 150 mA for 50-90 minutes. Blocked the membrane with 5% non-fat milk/TBS for 1.5 hour at RT. The membrane was incubated with mouse anti-CD147/Emmprin antigen affinity purified monoclonal antibody at 0.5 µg/mL overnight at 4°C, then washed with TBS-0.1% Tween 3 times with 5 minutes each and probed with a goat anti-mouse IgG-HRP secondary antibody at a dilution of 1:10000 for 1.5 hour at RT. The signal is developed using an Enhanced Chemiluminescent detection (ECL) kit with Tanon 5200 system. A specific band was detected for CD147/Emmprin at approximately 35-60 kDa. The expected band size for CD147/Emmprin is at 42 kDa.
Quick Database Links
UniProt Details
−Documents Download
Request a Document
Protocol Information
CD147/Emmprin Mouse Monoclonal Antibody (orb1145849)
Participating in our Biorbyt product reviews program enables you to support fellow scientists by sharing your firsthand experience with our products.
Login to Submit a Review






















