You have no items in your shopping cart.
Ctip2/BCL11B Rabbit Polyclonal Antibody
Description
Research Area
Images & Validation
−| Tested Applications | ELISA, WB |
|---|---|
| Dilution Range | Western blot, 0.25-0.5 μg/ml, Human, Mouse, Rat ELISA, 0.1-0.5 μg/ml, - |
| Reactivity | Human, Mouse, Rat |
Key Properties
−| Antibody Type | Primary Antibody |
|---|---|
| Host | Rabbit |
| Clonality | Polyclonal |
| Isotype | Rabbit IgG |
| Immunogen | E.coli-derived human Ctip2/BCL11B recombinant protein (Position: K838-S894). |
| Target | B-cell lymphoma/leukemia 11B |
| Molecular Weight | 130 kDa |
| Purification | Immunogen affinity purified. |
| Conjugation | Unconjugated |
Storage & Handling
−| Storage | Maintain refrigerated at 2-8°C for up to 2 weeks. For long term storage store at -20°C in small aliquots to prevent freeze-thaw cycles. |
|---|---|
| Form/Appearance | Lyophilized |
| Buffer/Preservatives | Each vial contains 4 mg Trehalose, 0.9 mg NaCl, 0.2 mg Na2HPO4. |
| Concentration | Adding 0.2 ml of distilled water will yield a concentration of 500 μg/ml. |
| Expiration Date | 12 months from date of receipt. |
| Disclaimer | For research use only |
Alternative Names
−Similar Products
−Ctip2/BCL11B Rabbit Polyclonal Antibody (Fluoro647) [orb3113878]
FC
Human, Mouse, Rat
Rabbit
Polyclonal
Fluoro647
100 μgCtip2/BCL11B Rabbit Polyclonal Antibody (Fluoro594) [orb3113879]
FC
Human, Mouse, Rat
Rabbit
Polyclonal
Fluoro594
100 μgCtip2/BCL11B Rabbit Polyclonal Antibody (Fluoro550) [orb3113880]
FC
Human, Mouse, Rat
Rabbit
Polyclonal
Fluoro550
100 μgCtip2/BCL11B Rabbit Polyclonal Antibody (Fluoro488) [orb3113881]
FC
Human, Mouse, Rat
Rabbit
Polyclonal
Fluoro488
100 μgCtip2/BCL11B Rabbit Polyclonal Antibody [orb3113882]
ELISA, WB
Human, Mouse, Rat
Rabbit
Polyclonal
Unconjugated
100 μg

Quality Guarantee
Explore bioreagents carefree to elevate your research. All our products are rigorously tested for performance. If a product does not perform as described on its datasheet, our scientific support team will provide expert troubleshooting, a prompt replacement, or a refund. For full details, please see our Terms & Conditions and Buying Guide. Contact us at [email protected].

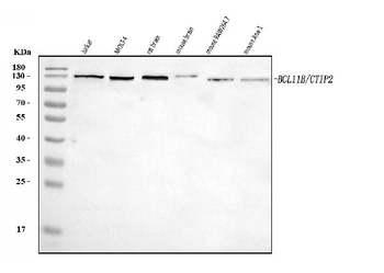
Western blot analysis of Ctip2/BCL11B using anti-Ctip2/BCL11B antibody. Electrophoresis was performed on a 5-20% SDS-PAGE gel at 70V (Stacking gel) / 90V (Resolving gel) for 2-3 hours. The sample well of each lane was loaded with 30 ug of sample under reducing conditions. Lane 1: human Jurkat whole cell lysates, Lane 2: human MOLT-4 whole cell lysates, Lane 3: rat brain tissue lysates, Lane 4: mouse brain tissue lysates, Lane 5: mouse RAW264.7 whole cell lysates, Lane 6: mouse Ana-1 whole cell lysates. After electrophoresis, proteins were transferred to a nitrocellulose membrane at 150 mA for 50-90 minutes. Blocked the membrane with 5% non-fat milk/TBS for 1.5 hour at RT. The membrane was incubated with rabbit anti-Ctip2/BCL11B antigen affinity purified polyclonal antibody at 0.5 µg/mL overnight at 4°C, then washed with TBS-0.1% Tween 3 times with 5 minutes each and probed with a goat anti-rabbit IgG-HRP secondary antibody at a dilution of 1:5000 for 1.5 hour at RT. The signal is developed using an Enhanced Chemiluminescent detection (ECL) kit with Tanon 5200 system. A specific band was detected for Ctip2/BCL11B at approximately 130 kDa. The expected band size for Ctip2/BCL11B is at 96 kDa.
Quick Database Links
UniProt Details
−Documents Download
Request a Document
Protocol Information
Ctip2/BCL11B Rabbit Polyclonal Antibody (orb1147788)
Participating in our Biorbyt product reviews program enables you to support fellow scientists by sharing your firsthand experience with our products.
Login to Submit a Review