You have no items in your shopping cart.
GAPDH Rabbit Polyclonal Antibody
Description
Research Area
Images & Validation
−| Tested Applications | FC, ICC, IF, IHC, WB |
|---|---|
| Dilution Range | Western blot, 0.1-0.5μg/ml, Human, Monkey, Mouse, Rat, Chicken, Zebrafish Immunohistochemistry (Paraffin-embedded Section), 2-5μg/ml, Human Immunocytochemistry/Immunofluorescence, 5 μg/ml, Human Flow Cytometry(Fixed), 1-3 μg/1x10^6 cells, Human |
| Reactivity | Gallus, Human, Monkey, Mouse, Rat, Zebrafish |
Key Properties
−| Antibody Type | Primary Antibody |
|---|---|
| Host | Rabbit |
| Clonality | Polyclonal |
| Isotype | Rabbit IgG |
| Immunogen | E.coli-derived human GAPDH recombinant protein (Position: N136-E335). Human GAPDH shares 95% and 94.5% amino acid (aa) sequence identity with mouse and rat GAPDH, respectively. |
| Target | Glyceraldehyde-3-phosphate dehydrogenase |
| Molecular Weight | 36 kDa |
| Purification | Immunogen affinity purified. |
| Conjugation | Unconjugated |
Storage & Handling
−| Storage | Maintain refrigerated at 2-8°C for up to 2 weeks. For long term storage store at -20°C in small aliquots to prevent freeze-thaw cycles. |
|---|---|
| Form/Appearance | Lyophilized |
| Buffer/Preservatives | Each vial contains 4 mg Trehalose, 0.9 mg NaCl and 0.2 mg Na2HPO4. |
| Concentration | Adding 0.2 ml of distilled water will yield a concentration of 500 μg/ml. |
| Expiration Date | 12 months from date of receipt. |
| Disclaimer | For research use only |
Alternative Names
−Similar Products
−GAPDH Rabbit Polyclonal Antibody (Loading Control) [orb500826]
ELISA, IF, IHC-Fr, IHC-P, WB
Hamster
Human, Mouse, Rat
Rabbit
Polyclonal
Unconjugated
1 ml, 100 μl, 500 μl, 200 μlGAPDH antibody [orb555879]
ICC, IHC-P, IP, WB
Bacteria, Bovine, Canine, Drosophila, E. coli, Fish, Gallus, Hamster, Human, Insect, Mammal, Monkey, Mouse, Other, Plant, Porcine, Rabbit, Rat, Yeast, Zebrafish
Rabbit
Polyclonal
Unconjugated
100 μlGAPDH Rabbit Polyclonal Antibody [orb577464]
IHC, WB
Bovine, Canine, Equine, Goat, Guinea pig, Rabbit, Rat, Sheep
Human, Mouse
Rabbit
Polyclonal
Unconjugated
100 μlGAPDH Rabbit Polyclonal Antibody [orb577465]
WB
Canine, Equine, Guinea pig, Rabbit
Human, Mouse, Rat
Rabbit
Polyclonal
Unconjugated
100 μlGAPDH Rabbit Polyclonal Antibody [orb584046]
WB
Canine, Equine, Guinea pig, Rabbit, Rat
Human, Mouse, Zebrafish
Rabbit
Polyclonal
Unconjugated
100 μl

Quality Guarantee
Explore bioreagents carefree to elevate your research. All our products are rigorously tested for performance. If a product does not perform as described on its datasheet, our scientific support team will provide expert troubleshooting, a prompt replacement, or a refund. For full details, please see our Terms & Conditions and Buying Guide. Contact us at [email protected].

Flow Cytometry analysis of Hela cells using anti-GAPDH antibody. Overlay histogram showing Hela cells (Blue line). To facilitate intracellular staining, cells were fixed with 4% paraformaldehyde and permeabilized with permeabilization buffer. The cells were blocked with 10% normal goat serum. And then incubated with rabbit anti-GAPDH Antibody (1 µg/1x10^6 cells) for 30 min at 20°C. DyLight®488 conjugated goat anti-rabbit IgG (5-10 µg/1x10^6 cells) was used as secondary antibody for 30 minutes at 20°C. Isotype control antibody (Green line) was rabbit IgG (1 µg/1x10^6) used under the same conditions. Unlabelled sample without incubation with primary antibody and secondary antibody (Red line) was used as a blank control.

IF analysis of GAPDH using anti-GAPDH antibody. GAPDH was detected in an immunocytochemical section of A549 cells. Enzyme antigen retrieval was performed using IHC enzyme antigen retrieval reagent for 15 mins. The cells were blocked with 10% goat serum. And then incubated with 5 µg/mL rabbit anti-GAPDH Antibody overnight at 4°C. DyLight®488 Conjugated Goat Anti-Rabbit IgG was used as secondary antibody at 1:500 dilution and incubated for 30 minutes at 37°C. The section was counterstained with DAPI. Visualize using a fluorescence microscope and filter sets appropriate for the label used.

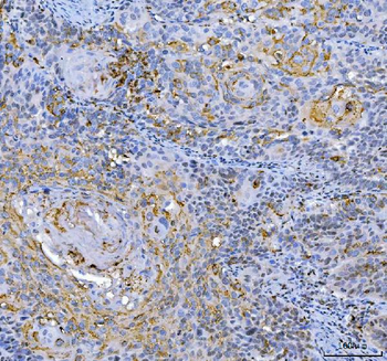
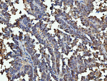
IHC analysis of GAPDH using anti-GAPDH antibody. GAPDH was detected in a paraffin-embedded section of human laryngeal squamous cell carcinoma tissue. Heat mediated antigen retrieval was performed in EDTA buffer (pH8.0, epitope retrieval solution). The tissue section was blocked with 10% goat serum. The tissue section was then incubated with 2 µg/ml rabbit anti-GAPDH Antibody overnight at 4°C. Peroxidase Conjugated Goat Anti-rabbit IgG was used as secondary antibody and incubated for 30 minutes at 37°C. The tissue section was developed using HRP Conjugated Rabbit IgG Super Vision Assay Kit with DAB as the chromogen.

IHC analysis of GAPDH using anti-GAPDH antibody. GAPDH was detected in a paraffin-embedded section of human ovarian serous cancer tissue. Heat mediated antigen retrieval was performed in EDTA buffer (pH8.0, epitope retrieval solution). The tissue section was blocked with 10% goat serum. The tissue section was then incubated with 2 µg/ml rabbit anti-GAPDH Antibody overnight at 4°C. Peroxidase Conjugated Goat Anti-rabbit IgG was used as secondary antibody and incubated for 30 minutes at 37°C. The tissue section was developed using HRP Conjugated Rabbit IgG Super Vision Assay Kit with DAB as the chromogen.

IHC analysis of GAPDH using anti-GAPDH antibody. GAPDH was detected in a paraffin-embedded section of human renal clear cell carcinoma tissue. Heat mediated antigen retrieval was performed in EDTA buffer (pH8.0, epitope retrieval solution). The tissue section was blocked with 10% goat serum. The tissue section was then incubated with 2 µg/ml rabbit anti-GAPDH Antibody overnight at 4°C. Peroxidase Conjugated Goat Anti-rabbit IgG was used as secondary antibody and incubated for 30 minutes at 37°C. The tissue section was developed using HRP Conjugated Rabbit IgG Super Vision Assay Kit with DAB as the chromogen.

Western blot analysis of GAPDH using anti-GAPDH antibody. Electrophoresis was performed on a 5-20% SDS-PAGE gel at 70V (Stacking gel) / 90V (Resolving gel) for 2-3 hours. The sample well of each lane was loaded with 30 ug of sample under reducing conditions. Lane 1: human Hela whole cell lysates, Lane 2: human CACO-2 whole cell lysates, Lane 3: human CCRF-CEM whole cell lysates, Lane 4: rat brain tissue lysates, Lane 5: rat liver tissue lysates, Lane 6: mouse brain tissue lysates, Lane 7: mouse liver tissue lysates. After electrophoresis, proteins were transferred to a nitrocellulose membrane at 150 mA for 50-90 minutes. Blocked the membrane with 5% non-fat milk/TBS for 1.5 hour at RT. The membrane was incubated with rabbit anti-GAPDH antigen affinity purified polyclonal antibody at 0.5 µg/mL overnight at 4°C, then washed with TBS-0.1% Tween 3 times with 5 minutes each and probed with a goat anti-rabbit IgG-HRP secondary antibody at a dilution of 1:5000 for 1.5 hour at RT. The signal is developed using an Enhanced Chemiluminescent detection (ECL) kit with Tanon 5200 system. A specific band was detected for GAPDH at approximately 36 kDa. The expected band size for GAPDH is at 36 kDa.
Quick Database Links
UniProt Details
−Documents Download
Request a Document
Protocol Information
GAPDH Rabbit Polyclonal Antibody (orb389477)
Participating in our Biorbyt product reviews program enables you to support fellow scientists by sharing your firsthand experience with our products.
Login to Submit a Review











































