You have no items in your shopping cart.
Description
Research Area
Images & Validation
−| Tested Applications | FC, IHC |
|---|---|
| Dilution Range | Immunohistochemistry (Paraffin-embedded Section), 0.5-1μg/ml, Rat Flow Cytometry (Fixed), 1-3μg/1x10^6 cells, Rat |
| Reactivity | Rat |
Key Properties
−| Antibody Type | Primary Antibody |
|---|---|
| Host | Rabbit |
| Clonality | Polyclonal |
| Isotype | Rabbit IgG |
| Immunogen | E. coli-derived rat Osteocalcin recombinant protein (Position: Y50-V99). Rat Osteocalcin shares 80.9% and 68.9% amino acid (aa) sequence identity with human and mouse Osteocalcin, respectively. |
| Target | Osteocalcin |
| Molecular Weight | 29 kDa, 60 kDa |
| Purification | Immunogen affinity purified. |
| Conjugation | Unconjugated |
Storage & Handling
−| Storage | Maintain refrigerated at 2-8°C for up to 2 weeks. For long term storage store at -20°C in small aliquots to prevent freeze-thaw cycles. |
|---|---|
| Form/Appearance | Lyophilized |
| Buffer/Preservatives | Each vial contains antibody formulated with stabilizing components, 0.9 mg NaCl, 0.2 mg Na2HPO4, and 0.05 mg NaN3. *This antibody is supplied in a stabilized formulation. Compatibility with conjugation reactions depends on the chemistry of the conjugation method used. For conjugation methods that are not compatible with the stabilizing components present in this formulation, a carrier-free antibody format is required. |
| Concentration | Adding 0.2 ml of distilled water will yield a concentration of 500 μg/ml. |
| Expiration Date | 12 months from date of receipt. |
| Disclaimer | For research use only |
Alternative Names
−Similar Products
−Osteocalcin/BGLAP Rabbit Polyclonal Antibody [orb371652]
IHC
Human
Rabbit
Polyclonal
Unconjugated
100 μgOsteocalcin/BGLAP Rabbit Polyclonal Antibody [orb371653]
IHC
Mouse
Rabbit
Polyclonal
Unconjugated
100 μgOsteocalcin/BGLAP/OC Rabbit Polyclonal Antibody [orb2950959]
ELISA, IHC, WB
Mouse
Rabbit
Polyclonal
Unconjugated
50 μg, 100 μgOsteocalcin/BGLAP/OC Rabbit Polyclonal Antibody [orb2955711]
ELISA, IHC, WB
Bacteria, Bovine, Canine, Equine, Goat, Human, Monkey, Porcine, Primate
Rabbit
Polyclonal
Unconjugated
50 μg, 100 μg

Quality Guarantee
Explore bioreagents carefree to elevate your research. All our products are rigorously tested for performance. If a product does not perform as described on its datasheet, our scientific support team will provide expert troubleshooting, a prompt replacement, or a refund. For full details, please see our Terms & Conditions and Buying Guide. Contact us at [email protected].

Flow Cytometry analysis of L6 cells using anti-Osteocalcin antibody. Overlay histogram showing L6 cells (Blue line). To facilitate intracellular staining, cells were fixed with 4% paraformaldehyde and permeabilized with permeabilization buffer. The cells were blocked with 10% normal goat serum. And then incubated with rabbit anti-Osteocalcin Antibody (1 µg/1x10^6 cells) for 30 min at 20°C. DyLight®488 conjugated goat anti-rabbit IgG (5-10 µg/1x10^6 cells) was used as secondary antibody for 30 minutes at 20°C. Isotype control antibody (Green line) was rabbit IgG (1 µg/1x10^6) used under the same conditions. Unlabelled sample (Red line) was also used as a control.

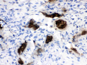
IHC analysis of Osteocalcin using anti-Osteocalcin antibody. Osteocalcin was detected in paraffin-embedded section of rat tibia tissues. Heat mediated antigen retrieval was performed in citrate buffer (pH6, epitope retrieval solution) for 20 mins. The tissue section was blocked with 10% goat serum. The tissue section was then incubated with 1 µg/ml rabbit anti-Osteocalcin Antibody overnight at 4°C. Biotinylated goat anti-rabbit IgG was used as secondary antibody and incubated for 30 minutes at 37°C. The tissue section was developed using Strepavidin-Biotin-Complex (SABC) with DAB as the chromogen.
Quick Database Links
UniProt Details
−Documents Download
Request a Document
Protocol Information
Osteocalcin/BGLAP Rabbit Polyclonal Antibody (orb371654)
Participating in our Biorbyt product reviews program enables you to support fellow scientists by sharing your firsthand experience with our products.
Login to Submit a Review

