You have no items in your shopping cart.
Description
Research Area
Images & Validation
−| Tested Applications | WB |
|---|---|
| Dilution Range | WB=1:2000-5000 |
| Reactivity | Human, Mouse |
| Predicted Reactivity | Rat |
Key Properties
−| Antibody Type | Primary Antibody |
|---|---|
| Host | Mouse |
| Clonality | Monoclonal |
| Isotype | IgG |
| Clone No. | 4G12 |
| Immunogen | Recombinant human Caspase 8 Protein |
| Target | CASP8 |
| Molecular Weight | 43 kDa |
| Purification | Affinity purified by Protein G |
| Conjugation | Unconjugated |
Storage & Handling
−| Storage | Maintain refrigerated at 2-8°C for up to 2 weeks. For long term storage store at -20°C in small aliquots to prevent freeze-thaw cycles. |
|---|---|
| Form/Appearance | Liquid |
| Buffer/Preservatives | 0.01M TBS (pH7.4) with 1% rAlbumin, 0.02% Proclin300 and 50% Glycerol. |
| Concentration | 1mg/ml |
| Expiration Date | 12 months from date of receipt. |
| Disclaimer | For research use only |
Alternative Names
−Similar Products
−CASP8 Mouse Monoclonal Antibody [orb625440]
ELISA, IF, IHC, IP, WB
Human
Mouse
Monoclonal
Unconjugated
50 μg, 100 μgCaspase 8 Mouse Monoclonal Antibody [orb323115]
IHC, WB
Human, Mouse, Rat
Mouse
Monoclonal
Unconjugated
200 μl, 30 μl, 100 μl, 50 μlCaspase 8 Mouse Monoclonal Antibody [orb1473775]
FC, WB
Human
Mouse
Monoclonal
Unconjugated
200 μl, 100 μl, 50 μl, 30 μl

Quality Guarantee
Explore bioreagents carefree to elevate your research. All our products are rigorously tested for performance. If a product does not perform as described on its datasheet, our scientific support team will provide expert troubleshooting, a prompt replacement, or a refund. For full details, please see our Terms & Conditions and Buying Guide. Contact us at [email protected].

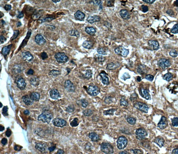
Paraformaldehyde-fixed, paraffin embedded (Mouse liver), Antigen retrieval by boiling in sodium citrate buffer (pH6.0) for 15 min, Block endogenous peroxidase by 3% hydrogen peroxide for 20 minutes, Blocking buffer (normal goat serum) at 37°C for 30 min, Antibody incubation with (Caspase 8) Monoclonal Antibody, Unconjugated (orb500937) at 1:400 overnight at 4°C, followed by operating according to SP Kit (Mouse) instructionsand DAB staining.

Paraformaldehyde-fixed, paraffin embedded (rat lymphoid), Antigen retrieval by boiling in sodium citrate buffer (pH6.0) for 15 min, Block endogenous peroxidase by 3% hydrogen peroxide for 20 minutes, Blocking buffer (normal goat serum) at 37°C for 30 min, Antibody incubation with (Caspase 8) Monoclonal Antibody, Unconjugated (ascites of orb500937 4G12) at 1:2000 overnight at 4°C, followed by operating according to SP Kit (Mouse) instructions and DAB staining.

Paraformaldehyde-fixed, paraffin embedded (rat lymphoid), Antigen retrieval by boiling in sodium citrate buffer (pH6.0) for 15 min, Block endogenous peroxidase by 3% hydrogen peroxide for 20 minutes, Blocking buffer (normal goat serum) at 37°C for 30 min, Antibody incubation with (Caspase 8) Monoclonal Antibody, Unconjugated (ascites of orb500937 4G12) at 1:2000 overnight at 4°C, followed by operating according to SP Kit (Mouse) instructions and DAB staining.

Paraformaldehyde-fixed, paraffin embedded (rat lymphoid), Antigen retrieval by boiling in sodium citrate buffer (pH6.0) for 15 min, Block endogenous peroxidase by 3% hydrogen peroxide for 20 minutes, Blocking buffer (normal goat serum) at 37°C for 30 min, Antibody incubation with (Caspase 8) Monoclonal Antibody, Unconjugated (ascites of orb500937 4G12) at 1:2000 overnight at 4°C, followed by operating according to SP Kit (Mouse) instructions and DAB staining.

Paraformaldehyde-fixed, paraffin embedded (rat lymphoid), Antigen retrieval by boiling in sodium citrate buffer (pH6.0) for 15 min, Block endogenous peroxidase by 3% hydrogen peroxide for 20 minutes, Blocking buffer (normal goat serum) at 37°C for 30 min, Antibody incubation with (Caspase 8) Monoclonal Antibody, Unconjugated (ascites of orb500937 4G12) at 1:2000 overnight at 4°C, followed by operating according to SP Kit (Mouse) instructions and DAB staining.

Sample: 293T-UV (Human) Cell Lysate at 30 ug, U251-UV (Human) Cell Lysate at 30 ug, Primary: Anti-Caspase 8 (orb500937) at 1/4000 dilution, Secondary: IRDye800CW Goat Anti-Mouse IgG at 1/20000 dilution, Predicted band size: 41'43'55 kD, Observed band size: 43 kD.

Sample: Hela (Human) Cell Lysate at 30 ug Jurkat (Human) Cell Lysate at 30 ug Molt-4 (Human) Cell Lysate at 30 ug K562 (Human) Cell Lysate at 30 ug Primary: Anti-Caspase 8 (orb500937) at 1/1000 dilution Secondary: IRDye800CW Goat Anti-Rabbit IgG at 1/20000 dilution Predicted band size: 41'43'55 kD Observed band size: 43 kD.

Sample: Stomach (Mouse) Lysate at 40 ug, Spleen (Mouse) Lysate at 40 ug, Lymph node (Mouse) Lysate at 40 ug, Urinary bladder (Mouse) Lysate at 40 ug, Primary: Anti-Caspase 8 (orb500937) at 1/1000 dilution, Secondary: IRDye800CW Goat Anti-Rabbit IgG at 1/20000 dilution, Predicted band size: 41'43'55 kD, Observed band size: 55'53D.
Quick Database Links
UniProt Details
−Documents Download
Request a Document
Caspase 8 Mouse Monoclonal Antibody (orb500937)
Participating in our Biorbyt product reviews program enables you to support fellow scientists by sharing your firsthand experience with our products.
Login to Submit a Review










