You have no items in your shopping cart.
Caspase-8 subunit p18 Rabbit Polyclonal Antibody
Description
Research Area
Images & Validation
−| Tested Applications | FC, IF, IHC-Fr, IHC-P, WB |
|---|---|
| Dilution Range | WB=1:500-2000, IHC-P=1:100-500, IHC-F=1:100-500, IF=1:100-500, Flow-Cyt=1μg /Test |
| Reactivity | Human, Rat |
| Predicted Reactivity | Bovine, Canine, Equine, Mouse, Porcine |
Related Conjugates & Formulations
−Key Properties
−| Antibody Type | Primary Antibody |
|---|---|
| Host | Rabbit |
| Clonality | Polyclonal |
| Isotype | IgG |
| Immunogen | KLH conjugated synthetic peptide derived from human Caspase-8 subunit p18 (201-300/479aa) |
| Target | CASP8 |
| Molecular Weight | 18/55 kDa |
| Purification | Affinity purified by Protein A |
| Conjugation | Unconjugated |
Storage & Handling
−| Storage | Maintain refrigerated at 2-8°C for up to 2 weeks. For long term storage store at -20°C in small aliquots to prevent freeze-thaw cycles. |
|---|---|
| Form/Appearance | Liquid |
| Buffer/Preservatives | 0.01M TBS (pH7.4) with 1% rAlbumin, 0.02% Proclin300 and 50% Glycerol. |
| Concentration | 1mg/ml |
| Expiration Date | 12 months from date of receipt. |
| Disclaimer | For research use only |
Alternative Names
−Similar Products
−Caspase-8 subunit p18 Rabbit Polyclonal Antibody [orb1676]
FC, IF, IHC-Fr, IHC-P, WB
Bovine, Canine, Equine, Mouse, Porcine
Human, Rat
Rabbit
Polyclonal
Unconjugated
100 μl, 200 μl, 50 μlCaspase-8/CASP8 Rabbit Polyclonal Antibody [orb47991]
IHC, WB
Human
Rabbit
Polyclonal
Unconjugated
100 μgCaspase-8/CASP8 Rabbit Polyclonal Antibody [orb76248]
IHC, WB
Human
Rabbit
Polyclonal
Unconjugated
100 μgCASP8 Rabbit Polyclonal Antibody [orb2950895]
ELISA, IHC, WB
Mouse
Rabbit
Polyclonal
Unconjugated
50 μg, 100 μg

Quality Guarantee
Explore bioreagents carefree to elevate your research. All our products are rigorously tested for performance. If a product does not perform as described on its datasheet, our scientific support team will provide expert troubleshooting, a prompt replacement, or a refund. For full details, please see our Terms & Conditions and Buying Guide. Contact us at [email protected].

Blank control (blue line): Hep G2 (fixed with 70% ethanol (Overnight at 4°C) and then permeabilized with 0.1% PBS-Tween for 20 min at room temperature). Primary Antibody (green line): Rabbit Anti-caspase-8 antibody (orb500739), dilution: 0.2 µg/10^6 cells, Isotype Control Antibody (orange line): Rabbit IgG. Secondary Antibody (white blue line): Goat anti-rabbit IgG-PE, dilution: 1 µg/Test.

Blank control (blue line): U251 (fixed with 70% ethanol overnight at 4°C and then permeabilized with 0.1% PBS-Tween for 20 min at room temperature). Primary Antibody (green line): Rabbit Anti-caspase-8 antibody (orb500739), dilution: 0.2 µg/10^6 cells, Isotype Control Antibody (orange line): Rabbit IgG. Secondary Antibody (white blue line): Goat anti-rabbit IgG-PE, dilution: 1 µg/Test.

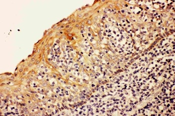
Paraformaldehyde-fixed, paraffin embedded (rat liver), Antigen retrieval by boiling in sodium citrate buffer (pH6.0) for 15 min, Block endogenous peroxidase by 3% hydrogen peroxide for 20 minutes, Blocking buffer (normal goat serum) at 37°C for 30 min, Antibody incubation with (Caspase-8 subunit p18) Polyclonal Antibody, Unconjugated (orb500739) at 1:500 overnight at 4°C, followed by a conjugated secondary for 20 minutes and DAB staining.

Sample: Jurkat (Human) Cell Lysate at 30 ug, K562 (Human) Cell Lysate at 30 ug, U87MG (Human) Cell Lysate at 30 ug, Primary: Anti-caspase-8 subunit p18 (orb500739) at 1/1000 dilution, Secondary: IRDye800CW Goat Anti-Rabbit IgG at 1/20000 dilution, Predicted band size: 55/18 kD, Observed band size: 57 kD.
Quick Database Links
UniProt Details
−Documents Download
Request a Document
Protocol Information
Caspase-8 subunit p18 Rabbit Polyclonal Antibody (orb500739)
Participating in our Biorbyt product reviews program enables you to support fellow scientists by sharing your firsthand experience with our products.
Login to Submit a Review







