You have no items in your shopping cart.
CD36 Rabbit Polyclonal Antibody
Description
Research Area
Images & Validation
−| Tested Applications | IHC, WB |
|---|---|
| Reactivity | Human, Mouse |
| Predicted Reactivity | Bovine, Canine, Equine, Goat, Guinea pig, Porcine, Rabbit, Rat |
Key Properties
−| Host | Rabbit |
|---|---|
| Clonality | Polyclonal |
| Immunogen | The immunogen is a synthetic peptide directed towards the N terminal region of human CD36 |
| Target | CD36 |
| Protein Sequence | Synthetic peptide located within the following region: KTIKKQVVLEEGTIAFKNWVKTGTEVYRQFWIFDVQNPQEVMMNSSNIQV |
| Molecular Weight | 53kDa |
| Purification | Affinity Purified |
| Conjugation | Unconjugated |
Storage & Handling
−| Storage | Maintain refrigerated at 2-8°C for up to 2 weeks. For long term storage store at -20°C in small aliquots to prevent freeze-thaw cycles. |
|---|---|
| Buffer/Preservatives | Liquid. Purified antibody supplied in 1x PBS buffer with 0.09% (w/v) sodium azide and 2% sucrose. |
| Concentration | 0.5 mg/ml |
| Expiration Date | 12 months from date of receipt. |
| Disclaimer | For research use only |
Alternative Names
−Similar Products
−Scavenging Receptor SRB2/SCARB2 Rabbit Polyclonal Antibody [orb1402175]
ELISA, FC, IF, IHC, WB
Human
Rabbit
Polyclonal
Unconjugated
100 μgCD36 Rabbit Polyclonal Antibody [orb10321]
FC, IF, IHC-Fr, IHC-P, IP, WB
Mouse, Rat
Human, Mouse, Rat
Rabbit
Polyclonal
Unconjugated
50 μl, 100 μlCD36 Rabbit Polyclonal Antibody [orb580287]
IHC, WB
Bovine, Canine, Equine, Goat, Porcine, Rabbit, Rat
Human
Rabbit
Polyclonal
Unconjugated
100 μlCD36 rabbit pAb Antibody [orb767190]
ELISA, IHC, WB
Fish, Human, Mouse, Rat
Polyclonal
Unconjugated
100 μl, 50 μlScavenger Receptor BI + BII Rabbit Polyclonal Antibody [orb186078]
WB
Bovine, Equine, Porcine, Rabbit, Rat, Sheep
Human, Mouse
Rabbit
Polyclonal
Unconjugated
50 μl, 100 μl, 200 μl

Quality Guarantee
Explore bioreagents carefree to elevate your research. All our products are rigorously tested for performance. If a product does not perform as described on its datasheet, our scientific support team will provide expert troubleshooting, a prompt replacement, or a refund. For full details, please see our Terms & Conditions and Buying Guide. Contact us at [email protected].

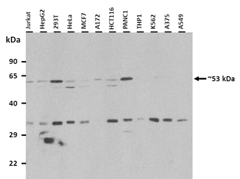
Sample Tissue: Human HepG2 Whole Cell, Antibody dilution: 1 ug/ml.

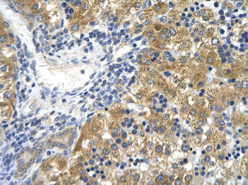
Sample Type: Human Fetal Heart, Antibody dilution: 1.0 ug/ml.

Sample Type: Human Fetal Liver, Lane A: Primary Antibody, Lane B: Primary Antibody + Blocking Peptide, Primary Antibody Concentration: 1 ug/ml, Peptide Concentration: 5 ug/ml, Lysate Quantity: 25 ug/lane/lane, Gel Concentration: 0.12.

Mouse Gut

WB Suggested Anti-CD36 Antibody Titration: 0.2-1 ug/ml, ELISA Titer: 1:62500, Positive Control: Human Liver.
Quick Database Links
UniProt Details
−NCBI Reference Sequences
−| Protein | NP_001001547 |
|---|
Documents Download
Request a Document
Protocol Information
CD36 Rabbit Polyclonal Antibody (orb580286)
Participating in our Biorbyt product reviews program enables you to support fellow scientists by sharing your firsthand experience with our products.
Login to Submit a Review


















