You have no items in your shopping cart.
CD8 Rabbit Polyclonal Antibody
Description
Research Area
Images & Validation
−| Tested Applications | FC |
|---|---|
| Dilution Range | Flow-Cyt=2ug/Test |
| Reactivity | Human |
| Predicted Reactivity | Mouse |
Related Conjugates & Formulations
−Key Properties
−| Antibody Type | Primary Antibody |
|---|---|
| Host | Rabbit |
| Clonality | Polyclonal |
| Isotype | IgG |
| Immunogen | KLH conjugated synthetic peptide derived from mouse CD8 (51-150/247aa) |
| Target | CD8A |
| Molecular Weight | 32 kDa |
| Purification | Affinity purified by Protein A |
| Conjugation | Unconjugated |
Storage & Handling
−| Storage | Maintain refrigerated at 2-8°C for up to 2 weeks. For long term storage store at -20°C in small aliquots to prevent freeze-thaw cycles. |
|---|---|
| Form/Appearance | Liquid |
| Buffer/Preservatives | 0.01M TBS (pH7.4) with 1% rAlbumin, 0.02% Proclin300 and 50% Glycerol. |
| Concentration | 1mg/ml |
| Expiration Date | 12 months from date of receipt. |
| Disclaimer | For research use only |
Alternative Names
−Similar Products
−CD8B Rabbit Polyclonal Antibody [orb1269]
IF, IHC-Fr, IHC-P
Equine, Gallus, Guinea pig, Porcine
Human, Mouse, Rat
Rabbit
Polyclonal
Unconjugated
50 μl, 100 μl, 200 μlCD8 Rabbit Polyclonal Antibody [orb1718]
WB
Mouse, Rat
Rabbit
Polyclonal
Unconjugated
50 μl, 100 μl, 200 μlCD8 Rabbit Polyclonal Antibody [orb182962]
IF, IHC-Fr, IHC-P, WB
Human, Rat
Rat
Rabbit
Polyclonal
Unconjugated
100 μl, 50 μlCD8 alpha/Cd8a Rabbit Polyclonal Antibody [orb654411]
ELISA, FC, IHC, WB
Mouse, Rat
Rabbit
Polyclonal
Unconjugated
100 μgCD8 alpha/Cd8a Rabbit Polyclonal Antibody [orb402271]
ELISA, FC, IHC, WB
Mouse, Rat
Rabbit
Polyclonal
Unconjugated
100 μg

Quality Guarantee
Explore bioreagents carefree to elevate your research. All our products are rigorously tested for performance. If a product does not perform as described on its datasheet, our scientific support team will provide expert troubleshooting, a prompt replacement, or a refund. For full details, please see our Terms & Conditions and Buying Guide. Contact us at [email protected].

Blank control: Molit-4. Primary Antibody (green line): Rabbit Anti-CD8 antibody (orb312181), dilution: 2 ug/Test, Secondary Antibody (white blue line): Goat anti-rabbit IgG-FITC, dilution: 0.5 ug/Test. Isotype control (orange line): Normal Rabbit IgG, Protocol, The cells were incubated in 5% BSA to block non-specific protein-protein interactions for 30 min at room temperature. Cells stained with Primary Antibody for 30 min at room temperature. The secondary antibody used for 40 min at room temperature. Acquisition of 20000 events was performed.

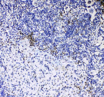
Formalin-fixed and paraffin embedded mouse spleen labeled with Rabbit Anti-CD8 Polyclonal Antibody, Unconjugated (orb312181) at 1:250.

Sample: Lane 1: Mouse Thymus tissue lysates, Lane 2: Mouse Lymph node tissue lysates, Primary: Anti-CD8 (orb312181) at 1/1000 dilution, Secondary: IRDye800CW Goat Anti-Rabbit IgG at 1/20000 dilution, Predicted band size: 27 kDa, Observed band size: 30 kDa.

Sample: Lymph node (Mouse) Lysate at 30 ug, Primary: Anti-CD8 (orb312181) at 1/300 dilution, Secondary: IRDye800CW Goat Anti-Rabbit IgG at 1/20000 dilution, Predicted band size: 27 kD, Observed band size: 32 kD.
Quick Database Links
UniProt Details
−Documents Download
Request a Document
CD8 Rabbit Polyclonal Antibody (orb312181)
Participating in our Biorbyt product reviews program enables you to support fellow scientists by sharing your firsthand experience with our products.
Login to Submit a Review





























