You have no items in your shopping cart.
COPS2 Rabbit Polyclonal Antibody
Description
Research Area
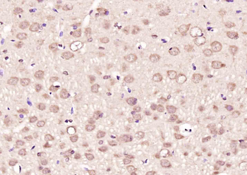
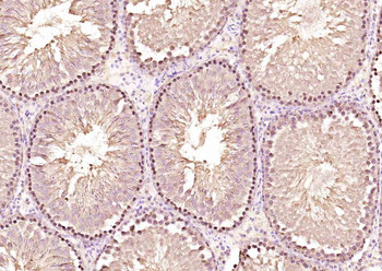
Images & Validation
−| Tested Applications | IHC, WB |
|---|---|
| Reactivity | Human |
| Predicted Reactivity | Bovine, Canine, Equine, Guinea pig, Mouse, Rabbit, Rat, Zebrafish |
Key Properties
−| Host | Rabbit |
|---|---|
| Clonality | Polyclonal |
| Immunogen | The immunogen is a synthetic peptide directed towards the N terminal region of human COPS2 |
| Target | COPS2 |
| Protein Sequence | Synthetic peptide located within the following region: MSDMEDDFMCDDEEDYDLEYSEDSNSEPNVDLENQYYNSKALKEDDPKAA |
| Molecular Weight | 51kDa |
| Purification | Protein A purified |
| Conjugation | Unconjugated |
Storage & Handling
−| Storage | Maintain refrigerated at 2-8°C for up to 2 weeks. For long term storage store at -20°C in small aliquots to prevent freeze-thaw cycles. |
|---|---|
| Buffer/Preservatives | Liquid. Purified antibody supplied in 1x PBS buffer with 0.09% (w/v) sodium azide and 2% sucrose. |
| Concentration | 1.0 mg/ml |
| Expiration Date | 12 months from date of receipt. |
| Disclaimer | For research use only |
Alternative Names
−Similar Products
−TRIP15 rabbit pAb Antibody [orb770894]
ELISA, IF, IHC, WB
Human, Monkey, Mouse, Rat
Polyclonal
Unconjugated
100 μl, 50 μlCOPS2 Rabbit Polyclonal Antibody [orb318725]
ELISA, IHC-P
Human, Mouse, Rat
Rabbit
Polyclonal
Unconjugated
100 μgCOPS2 Rabbit Polyclonal Antibody [orb1640]
IF, IHC-Fr, IHC-P
Bovine, Canine, Human, Porcine
Mouse, Rat
Rabbit
Polyclonal
Unconjugated
50 μl, 100 μl, 200 μlCOPS2 Rabbit Polyclonal Antibody [orb394907]
ELISA, IF, IHC, IP, WB
Human, Mouse
Rabbit
Polyclonal
Unconjugated
50 μg, 100 μg

Quality Guarantee
Explore bioreagents carefree to elevate your research. All our products are rigorously tested for performance. If a product does not perform as described on its datasheet, our scientific support team will provide expert troubleshooting, a prompt replacement, or a refund. For full details, please see our Terms & Conditions and Buying Guide. Contact us at [email protected].

Human Skin

WB Suggested Antibody Titration: 2.5 ug/ml, Positive Control: 293T. COPS2 is strongly supported by BioGPS gene expression data to be expressed in Human HEK293T cells.
Documents Download
Request a Document
Protocol Information
COPS2 Rabbit Polyclonal Antibody (orb576678)
Participating in our Biorbyt product reviews program enables you to support fellow scientists by sharing your firsthand experience with our products.
Login to Submit a Review













