You have no items in your shopping cart.
Description
Research Area
Images & Validation
−| Tested Applications | IHC, WB |
|---|---|
| Reactivity | Human |
| Predicted Reactivity | Bovine, Canine, Equine, Guinea pig, Mouse, Rabbit, Rat, Sheep, Zebrafish |
Key Properties
−| Host | Rabbit |
|---|---|
| Clonality | Polyclonal |
| Immunogen | The immunogen is a synthetic peptide directed towards the middle region of human CPT1A |
| Target | CPT1A |
| Protein Sequence | Synthetic peptide located within the following region: LSTSQTPQQQVELFDLENNPEYVSSGGGFGPVADDGYGVSYILVGENLIN |
| Molecular Weight | 88 kDa |
| Purification | Affinity Purified |
| Conjugation | Unconjugated |
Storage & Handling
−| Storage | Maintain refrigerated at 2-8°C for up to 2 weeks. For long term storage store at -20°C in small aliquots to prevent freeze-thaw cycles. |
|---|---|
| Buffer/Preservatives | Liquid. Purified antibody supplied in 1x PBS buffer with 0.09% (w/v) sodium azide and 2% sucrose. |
| Concentration | 0.5 mg/ml |
| Expiration Date | 12 months from date of receipt. |
| Disclaimer | For research use only |
Alternative Names
−Similar Products
−Cpt1a Rabbit Polyclonal Antibody [orb385457]
ICC, IF, IHC-P, WB
Human, Mouse, Rat
Rabbit
Polyclonal
Unconjugated
100 μgCPT1A Rabbit Polyclonal Antibody [orb1098014]
ELISA, FC, ICC, IF, IHC, WB
Human, Mouse, Rat
Rabbit
Polyclonal
Unconjugated
100 μgCPT1A Rabbit Polyclonal Antibody [orb13352]
ICC, IF, IHC-Fr, IHC-P
Human, Rat
Human, Mouse, Rat
Rabbit
Polyclonal
Unconjugated
50 μl, 100 μl, 200 μlCPT1A Rabbit Polyclonal Antibody [orb626010]
ELISA, FC, IF, IHC, IP, WB
Human, Mouse, Rat
Rabbit
Polyclonal
Unconjugated
50 μg, 100 μgCPT1A Rabbit Polyclonal Antibody [orb340887]
IF, WB
Human, Mouse, Rat
Rabbit
Polyclonal
Unconjugated
50 μl, 100 μl, 200 μl, 30 μl

Quality Guarantee
Explore bioreagents carefree to elevate your research. All our products are rigorously tested for performance. If a product does not perform as described on its datasheet, our scientific support team will provide expert troubleshooting, a prompt replacement, or a refund. For full details, please see our Terms & Conditions and Buying Guide. Contact us at [email protected].

25 ug of the indicated Human whole cell extracts was loaded onto a 12% SDS-PAGE gel. 5 ug/ml of the antibody was used in this experiment. Recommended dilution for this antibody is 1-3 ug/ml.

Sample Tissue: Human HT1080 Whole Cell, Antibody Dilution: 1 ug/ml.

Sample Tissue: Human Jurkat Whole Cell, Antibody Dilution: 3 ug/ml.

Sample Tissue: Human Jurkat Whole Cell, Antibody Dilution: 3 ug/ml.

Sample Tissue: Human MDA-MB-435s Whole Cell, Antibody Dilution: 1 ug/ml.

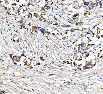
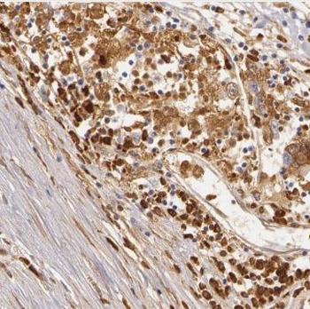
Sample Tissue: Human Stomach Tumor, Antibody Dilution: 1 ug/ml.

Sample Type: 293T, Lane A: Primary Antibody, Lane B: Primary Antibody + Blocking Peptide, Primary Antibody Concentration: 1 ug/ml, Peptide Concentration: 5 ug/ml, Lysate Quantity: 25 ug/lane/lane, Gel Concentration: 0.12.

Lanes: 1. 45 ug capan1 cell lysate, 2. 45 ug HPAF cell lysate, Primary Antibody Dilution: 1:1000, Secondary Antibody: Anti-Rabbit HRP, Secondary Antibody Dilution: 1:5000, Gene Name: CPT1A.

Sample Type: Human Capan1 cells (Pancreatic cancer cell line), Primary Antibody Dilution: 1:300, Secondary Antibody: Anti-rabbit-AlexaFluor-488, Secondary Antibody Dilution: 1:200, Color/Signal Descriptions: CPT1A: Green DAPI: Blue, Gene Name: CPT1A.

WB Suggested Anti-CPT1A Antibody Titration: 0.2-1 ug/ml, ELISA Titer: 1:312500, Positive Control: 293T cell lysate.
Quick Database Links
UniProt Details
−NCBI Reference Sequences
−| Protein | NP_001027017 |
|---|
Documents Download
Request a Document
Protocol Information
CPT1A Rabbit Polyclonal Antibody (orb579286)
Participating in our Biorbyt product reviews program enables you to support fellow scientists by sharing your firsthand experience with our products.
Login to Submit a Review



















