You have no items in your shopping cart.
CTTNBP2 Rabbit Polyclonal Antibody
Description
Research Area
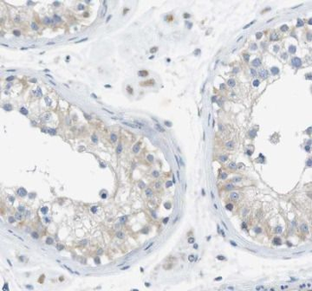
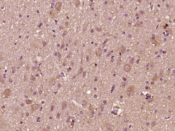
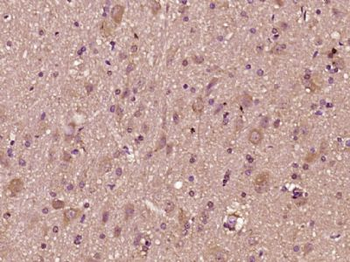
Images & Validation
−| Tested Applications | WB |
|---|---|
| Reactivity | Human |
| Predicted Reactivity | Bovine, Canine, Equine, Guinea pig, Mouse, Rabbit, Rat, Sheep |
Key Properties
−| Host | Rabbit |
|---|---|
| Clonality | Polyclonal |
| Immunogen | The immunogen is a synthetic peptide directed towards the C-terminal region of human CTTNBP2 |
| Target | CTTNBP2 |
| Protein Sequence | Synthetic peptide located within the following region: NANDPDQNGNTTQSPPSRDVSPTSRDNLVAKQLARNTVTQALSRFTSPQA |
| Molecular Weight | 70kDa |
| Purification | Affinity Purified |
| Conjugation | Unconjugated |
Storage & Handling
−| Storage | Maintain refrigerated at 2-8°C for up to 2 weeks. For long term storage store at -20°C in small aliquots to prevent freeze-thaw cycles. |
|---|---|
| Buffer/Preservatives | Liquid. Purified antibody supplied in 1x PBS buffer with 0.09% (w/v) sodium azide and 2% sucrose. |
| Concentration | 0.5 mg/ml |
| Expiration Date | 12 months from date of receipt. |
| Disclaimer | For research use only |
Alternative Names
−Similar Products
−CTTNBP2 Rabbit Polyclonal Antibody [orb626116]
ELISA, IHC, IP, WB
Human, Mouse
Rabbit
Polyclonal
Unconjugated
50 μg, 100 μgCTTNBP2 Rabbit Polyclonal Antibody [orb182801]
IF, IHC-Fr, IHC-P
Bovine, Human, Mouse, Porcine
Rat
Rabbit
Polyclonal
Unconjugated
50 μl, 100 μl, 200 μlCTTNBP2NL Rabbit Polyclonal Antibody [orb1880623]
IHC, WB
Human
Rabbit
Polyclonal
Unconjugated
200 μl, 100 μl, 50 μl, 30 μlCTTNBP2 Polyclonal Antibody [orb1420210]
ELISA, ICC, IF, IHC-Fr, IHC-P
Porcine, Rat
Rabbit
Polyclonal
Unconjugated
100 μl

Quality Guarantee
Explore bioreagents carefree to elevate your research. All our products are rigorously tested for performance. If a product does not perform as described on its datasheet, our scientific support team will provide expert troubleshooting, a prompt replacement, or a refund. For full details, please see our Terms & Conditions and Buying Guide. Contact us at [email protected].

Sample Type: HepG2 Whole Cell lysates, Antibody Dilution: 1.0 ug/ml.
Quick Database Links
UniProt Details
−NCBI Reference Sequences
−| Protein | NP_219499.1 |
|---|
Documents Download
Request a Document
CTTNBP2 Rabbit Polyclonal Antibody (orb587978)
Participating in our Biorbyt product reviews program enables you to support fellow scientists by sharing your firsthand experience with our products.
Login to Submit a Review









