You have no items in your shopping cart.
Description
Research Area
Images & Validation
−| Tested Applications | IHC, WB |
|---|---|
| Reactivity | Human |
| Predicted Reactivity | Human |
Key Properties
−| Host | Rabbit |
|---|---|
| Clonality | Polyclonal |
| Immunogen | The immunogen is a synthetic peptide directed towards the middle region of human CYP11A1 |
| Target | CYP11A1 |
| Protein Sequence | Synthetic peptide located within the following region: LRQKGSVHHDYRGILYRLLGDSKMSFEDIKANVTEMLAGGVDTTSMTLQW |
| Molecular Weight | 60 kDa |
| Purification | Affinity Purified |
| Conjugation | Unconjugated |
Storage & Handling
−| Storage | Maintain refrigerated at 2-8°C for up to 2 weeks. For long term storage store at -20°C in small aliquots to prevent freeze-thaw cycles. |
|---|---|
| Buffer/Preservatives | Liquid. Purified antibody supplied in 1x PBS buffer with 0.09% (w/v) sodium azide and 2% sucrose. |
| Concentration | 0.5 mg/ml |
| Expiration Date | 12 months from date of receipt. |
| Disclaimer | For research use only |
Alternative Names
−Similar Products
−CYP11A1 Rabbit Polyclonal Antibody [orb156513]
WB
Bovine, Canine, Equine, Human, Mouse, Porcine, Rabbit, Sheep
Rat
Rabbit
Polyclonal
Unconjugated
100 μl, 50 μl, 200 μlCYP11A1 Rabbit Polyclonal Antibody [orb5936]
WB
Bovine, Canine, Equine, Gallus, Human, Mouse, Porcine, Rabbit
Rat
Rabbit
Polyclonal
Unconjugated
50 μl, 100 μl, 200 μlCYP11A1 Rabbit Polyclonal Antibody [orb313866]
ELISA, IHC-P
Human, Mouse, Rat
Rabbit
Polyclonal
Unconjugated
100 μg

Quality Guarantee
Explore bioreagents carefree to elevate your research. All our products are rigorously tested for performance. If a product does not perform as described on its datasheet, our scientific support team will provide expert troubleshooting, a prompt replacement, or a refund. For full details, please see our Terms & Conditions and Buying Guide. Contact us at [email protected].

25 ug of the indicated Human whole cell or tissue extracts was loaded onto a 12% SDS-PAGE gel. 1 ug/ml of the antibody was used in this experiment.

CYP11A1 antibody - middle region (orb581491) validated by WB using Hela cell lysate at 1 ug/ml. CYP11A1 is supported by BioGPS gene expression data to be expressed in HeLa.

Sample Type: Hela, Antibody dilution: 1.0 ug/ml. CYP11A1 is supported by BioGPS gene expression data to be expressed in HeLa.

Sample Type: Human Fetal Liver, Antibody dilution: 1.0 ug/ml.

Positive control (+): Human lung (LU), Negative control (-): 293T (2T), Antibody concentration: 1 ug/ml.

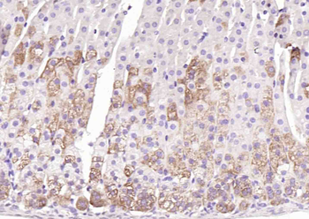
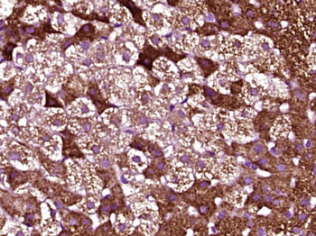
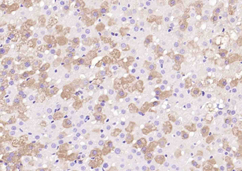
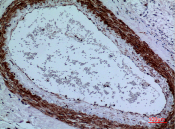
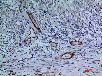
Immunohistochemistry with HK2 cell lysate tissue.

Immunohistochemistry with HK2 cell lysate tissue.

Immunohistochemistry with HK2 cell lysate tissue.

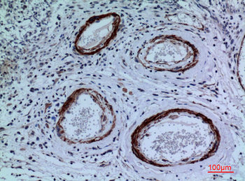
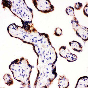
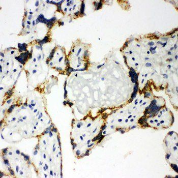
Immunohistochemistry with Human Placenta lysate tissue at an antibody concentration of 5.0 ug/ml using anti-CYP11A1 antibody (orb581491).

Surface Plasmon Resonance Kinetic Characterization of Polyclonal Antibody Affinity. Purified polyclonal antibodies were immobilized on a Protein A/G coated Carterra LSA sensor chip (PAGH200M) at concentrations of 5, and 50 ug/ml in duplicate. Antibodies on the surface were exposed to interaction with peptides sequentially via microfluidic controlled flow at 333nM peptide concentration for kinetic characterization of the binders for affinity and specificity, followed by curve fitting using the Kinetics software. Kd determinations for both concentrations were averaged and results and standard deviation are shown.
Documents Download
Request a Document
Protocol Information
CYP11A1 Rabbit Polyclonal Antibody (orb581491)
Participating in our Biorbyt product reviews program enables you to support fellow scientists by sharing your firsthand experience with our products.
Login to Submit a Review














