You have no items in your shopping cart.
F2 Rabbit Polyclonal Antibody (AP)
Description
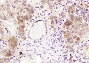
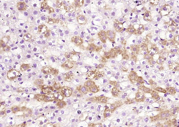
Images & Validation
−
| Tested Applications | IHC-Fr, IHC-P, WB |
|---|---|
| Dilution Range | WB=1:500-2000, IHC-P=1:100-500, IHC-F=1:100-500 |
| Reactivity | Human, Mouse, Rat |
Related Conjugates & Formulations
−Key Properties
−| Antibody Type | Primary Antibody |
|---|---|
| Host | Rabbit |
| Clonality | Polyclonal |
| Isotype | IgG |
| Immunogen | KLH conjugated synthetic peptide derived from human Prothrombin |
| Target | F2 |
| Purification | Affinity purified by Protein A |
| Conjugation | AP |
Storage & Handling
−| Storage | Shipped at 4°C. Store at -20°C for one year. Avoid repeated freeze/thaw cycles. |
|---|---|
| Buffer/Preservatives | 0.01M TBS (pH7.4) with 1% rAlbumin, 0.02% Proclin300 and 50% Glycerol. |
| Concentration | 1mg/ml |
| Expiration Date | 12 months from date of receipt. |
| Disclaimer | For research use only |
Alternative Names
−Similar Products
−Alpha 2 Antiplasmin/SERPINF2 Rabbit Polyclonal Antibody [orb1097967]
ELISA, IHC, WB
Human
Rabbit
Polyclonal
Unconjugated
100 μgAlpha 2 antiplasmin Rabbit Polyclonal Antibody [orb101685]
IF, IHC-Fr, IHC-P, WB
Canine, Equine, Rabbit
Human, Mouse, Rat
Rabbit
Polyclonal
Unconjugated
200 μl, 100 μl, 50 μlAlpha-2-antiplasmin Rabbit Polyclonal Antibody [orb412933]
IHC, WB
Human, Mouse, Rat
Rabbit
Polyclonal
Unconjugated
50 μl, 100 μl, 200 μl, 30 μlSERPINF2 Rabbit Polyclonal Antibody [orb394696]
ELISA, WB
Human, Mouse, Rat
Rabbit
Polyclonal
Unconjugated
50 μg, 100 μgAlpha 2 antiplasmin Rabbit Polyclonal Antibody (Biotin) [orb446703]
IF, IHC-Fr, IHC-P, WB
Canine, Equine, Rabbit
Human, Mouse, Rat
Rabbit
Polyclonal
Biotin
100 μl

Quality Guarantee
Explore bioreagents carefree to elevate your research. All our products are rigorously tested for performance. If a product does not perform as described on its datasheet, our scientific support team will provide expert troubleshooting, a prompt replacement, or a refund. For full details, please see our Terms & Conditions and Buying Guide. Contact us at [email protected].
Quick Database Links
Documents Download
Request a Document
Protocol Information
F2 Rabbit Polyclonal Antibody (AP) (orb914753)
Participating in our Biorbyt product reviews program enables you to support fellow scientists by sharing your firsthand experience with our products.
Login to Submit a Review








