You have no items in your shopping cart.
FOXP3 Rabbit Polyclonal Antibody
Description
Research Area
Images & Validation
−| Tested Applications | IHC, WB |
|---|---|
| Reactivity | Human, Mouse |
| Predicted Reactivity | Bovine, Canine, Equine, Guinea pig, Porcine, Rabbit, Rat, Sheep |
Key Properties
−| Host | Rabbit |
|---|---|
| Clonality | Polyclonal |
| Immunogen | The immunogen is a synthetic peptide directed towards the N terminal region of human FOXP3 |
| Target | FOXP3 |
| Protein Sequence | Synthetic peptide located within the following region: PHFMHQLSTVDAHARTPVLQVHPLESPAMISLTPPTTATGVFSLKARPGL |
| Molecular Weight | 47kDa |
| Purification | Protein A purified |
| Conjugation | Unconjugated |
Storage & Handling
−| Storage | Maintain refrigerated at 2-8°C for up to 2 weeks. For long term storage store at -20°C in small aliquots to prevent freeze-thaw cycles. |
|---|---|
| Buffer/Preservatives | Liquid. Purified antibody supplied in 1x PBS buffer with 0.09% (w/v) sodium azide and 2% sucrose. |
| Concentration | 1.0 mg/ml |
| Expiration Date | 12 months from date of receipt. |
| Disclaimer | For research use only |
Alternative Names
−Similar Products
−FOXP3 Rabbit Polyclonal Antibody [orb156940]
FC
Bovine, Canine, Equine, Guinea pig, Porcine, Rabbit, Rat, Sheep
Human, Mouse
Rabbit
Polyclonal
Unconjugated
50 μl, 100 μl, 200 μlFOXP3 Rabbit Polyclonal Antibody (PE) [orb487179]
FC
Bovine, Canine, Equine, Guinea pig, Porcine, Rabbit, Rat, Sheep
Human, Mouse
Rabbit
Polyclonal
PE
100 μlFoxP3 Rabbit Polyclonal Antibody [orb10670]
IF, IHC-Fr, IHC-P, WB
Bovine, Canine, Equine, Guinea pig, Porcine, Rabbit, Sheep
Mouse, Rat
Rabbit
Polyclonal
Unconjugated
50 μl, 100 μl, 200 μlFOXP3 rabbit pAb Antibody [orb767051]
ELISA, IF, IHC, WB
Human, Mouse, Porcine, Rat
Polyclonal
Unconjugated
100 μlForkhead box protein P3 FOXP3 Rabbit Polyclonal Antibody [orb234259]
IHC
Human
Rabbit
Polyclonal
Unconjugated
100 μg

Quality Guarantee
Explore bioreagents carefree to elevate your research. All our products are rigorously tested for performance. If a product does not perform as described on its datasheet, our scientific support team will provide expert troubleshooting, a prompt replacement, or a refund. For full details, please see our Terms & Conditions and Buying Guide. Contact us at [email protected].

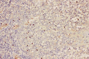
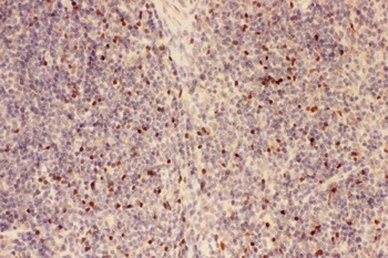
Sample Type: Mouse Spleen frozen with positive lymphocytes / HPF (x400), Primary dilution: 1:100, Secondary Antibody: Vector Lab Goat Biotin-Conjugated Anti-Rabbit IgG, Secondary dilution: 1:100.

Sample Tissue: Human NCI-H226, Antibody dilution: 1.0 ug/ml.

Human Liver

WB Suggested Anti-FOXP3 Antibody Titration: 5.0-8.0 ug/ml, Positive Control: HepG2 cell lysate.
Documents Download
Request a Document
Protocol Information
FOXP3 Rabbit Polyclonal Antibody (orb574362)
Participating in our Biorbyt product reviews program enables you to support fellow scientists by sharing your firsthand experience with our products.
Login to Submit a Review






















