You have no items in your shopping cart.
G6PC Rabbit Polyclonal Antibody
Description
Research Area
Images & Validation
−| Tested Applications | IHC, WB |
|---|---|
| Reactivity | Human |
| Predicted Reactivity | Bovine, Canine, Equine, Guinea pig, Mouse, Porcine, Rabbit, Rat, Sheep |
Key Properties
−| Host | Rabbit |
|---|---|
| Clonality | Polyclonal |
| Immunogen | The immunogen is a synthetic peptide directed towards the N terminal region of human G6PC |
| Target | G6PC |
| Protein Sequence | Synthetic peptide located within the following region: NLVFKWILFGQRPYWWVLDTDYYSNTSVPLIKQFPVTCETGPGSPSGHAM |
| Molecular Weight | 40 kDa |
| Purification | Affinity Purified |
| Conjugation | Unconjugated |
Storage & Handling
−| Storage | Maintain refrigerated at 2-8°C for up to 2 weeks. For long term storage store at -20°C in small aliquots to prevent freeze-thaw cycles. |
|---|---|
| Buffer/Preservatives | Liquid. Purified antibody supplied in 1x PBS buffer with 0.09% (w/v) sodium azide and 2% sucrose. |
| Concentration | 0.5 mg/ml |
| Expiration Date | 12 months from date of receipt. |
| Disclaimer | For research use only |
Alternative Names
−Similar Products
−G6PC Rabbit Polyclonal Antibody [orb6097]
FC, IF, IHC-Fr, IHC-P, WB
Bovine, Canine, Mouse, Porcine, Rabbit, Rat, Sheep
Human
Rabbit
Polyclonal
Unconjugated
50 μl, 100 μl, 200 μlG6pc Rabbit Polyclonal Antibody [orb579093]
WB
Bovine, Canine, Equine, Guinea pig, Human, Rabbit, Rat
Mouse
Rabbit
Polyclonal
Unconjugated
100 μlGlucose 6 phosphatase 2 Rabbit Polyclonal Antibody [orb783315]
WB
Bovine, Canine, Equine, Human, Rabbit
Mouse, Rat
Rabbit
Polyclonal
Unconjugated
50 μl, 100 μl, 200 μlG6PC Rabbit Polyclonal Antibody [orb608025]
FC, IF, IHC-Fr, IHC-P, WB
Bovine, Canine, Human, Porcine, Rabbit, Rat, Sheep
Mouse
Rabbit
Polyclonal
Unconjugated
100 μl, 200 μl, 50 μlGlucose 6 phosphatase 2 Rabbit Polyclonal Antibody [orb157178]
WB
Bovine, Equine, Human, Mouse, Rabbit, Sheep
Rat
Rabbit
Polyclonal
Unconjugated
50 μl, 100 μl, 200 μl

Quality Guarantee
Explore bioreagents carefree to elevate your research. All our products are rigorously tested for performance. If a product does not perform as described on its datasheet, our scientific support team will provide expert troubleshooting, a prompt replacement, or a refund. For full details, please see our Terms & Conditions and Buying Guide. Contact us at [email protected].

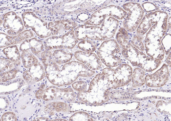
Immunohistochemistry with Human kidney lysate tissue.

25 ug of the indicated Human whole cell extracts was loaded onto a 12% SDS-PAGE gel. 1 ug/ml of the antibody was used in this experiment. Protein is glycosylated.

Formalin Fixed Paraffin Embedded Tissue: Normal human kidney, Primary antibody concentration: 7 ug/ml, Incubation with primary antibodies: overnight at 4°C, Detections: Avidin-Biotin-HRP with NovaRed (Vector Labs) substrate. Counterstain: Hematoxylin.

Formalin Fixed Paraffin Embedded Tissue: Normal human liver, Primary antibody concentration: 7 ug/ml, Incubation with primary antibodies: overnight at 4°C, Detections: Avidin-Biotin-HRP with NovaRed (Vector Labs) substrate. Counterstain: Hematoxylin.

Sample Tissue: Human HL-60 Cell, Antibody Dilution: 1 ug/ml.

Sample Tissue: Human MCF7 Whole Cell, Antibody Dilution: 1 ug/ml.

Sample Tissue: Human MCF7, Antibody Dilution: 1.0 ug/ml.

Sample Type: Human Fetal Lung, Lane A: Primary Antibody, Lane B: Primary Antibody + Blocking Peptide, Primary Antibody Concentration: 1 ug/ml, Peptide Concentration: 5 ug/ml, Lysate Quantity: 25 ug/lane/lane, Gel Concentration: 0.12.

Positive control (+): Human kidney (KI), Negative control (-): Human fetal heart (HE), Antibody concentration: 1 ug/ml.

WB Suggested Anti-G6PC Antibody Titration: 1 ug/ml, Positive Control: Fetal Lung cell lysate.
Documents Download
Request a Document
Protocol Information
G6PC Rabbit Polyclonal Antibody (orb579094)
Participating in our Biorbyt product reviews program enables you to support fellow scientists by sharing your firsthand experience with our products.
Login to Submit a Review








