You have no items in your shopping cart.
GADD45B Rabbit Polyclonal Antibody
Description
Research Area
Images & Validation
−| Tested Applications | IHC, WB |
|---|---|
| Reactivity | Human, Mouse |
| Predicted Reactivity | Bovine, Canine, Equine, Guinea pig, Porcine, Rat |
Key Properties
−| Host | Rabbit |
|---|---|
| Clonality | Polyclonal |
| Immunogen | The immunogen is a synthetic peptide directed towards the middle region of human GADD45B |
| Target | GADD45B |
| Protein Sequence | Synthetic peptide located within the following region: FCCDNDINIVRVSGMQRLAQLLGEPAETQGTTEARDLHCLLVTNPHTDAW |
| Molecular Weight | 18kDa |
| Purification | Affinity Purified |
| Conjugation | Unconjugated |
Storage & Handling
−| Storage | Maintain refrigerated at 2-8°C for up to 2 weeks. For long term storage store at -20°C in small aliquots to prevent freeze-thaw cycles. |
|---|---|
| Buffer/Preservatives | Liquid. Purified antibody supplied in 1x PBS buffer with 0.09% (w/v) sodium azide and 2% sucrose. |
| Concentration | 0.5 mg/ml |
| Expiration Date | 12 months from date of receipt. |
| Disclaimer | For research use only |
Alternative Names
−Similar Products
−GADD45B Rabbit Polyclonal Antibody [orb100880]
FC, IF, IHC-Fr, IHC-P, WB
Bovine, Canine, Equine, Guinea pig, Porcine, Rat
Human, Mouse
Rabbit
Polyclonal
Unconjugated
50 μl, 100 μl, 200 μlGADD45B Rabbit Polyclonal Antibody [orb258865]
ELISA, IHC, WB
Mouse, Rat
Human
Rabbit
Polyclonal
Unconjugated
100 μgGADD45B Rabbit Polyclonal Antibody [orb2955852]
ELISA, IHC, WB
Bovine, Human, Mouse
Rabbit
Polyclonal
Unconjugated
50 μg, 100 μgGADD45B Rabbit Polyclonal Antibody (HRP) [orb2114504]
IHC, WB
Bovine, Canine, Equine, Guinea pig, Human, Mouse, Porcine, Rat
Rabbit
Polyclonal
HRP
100 μl

Quality Guarantee
Explore bioreagents carefree to elevate your research. All our products are rigorously tested for performance. If a product does not perform as described on its datasheet, our scientific support team will provide expert troubleshooting, a prompt replacement, or a refund. For full details, please see our Terms & Conditions and Buying Guide. Contact us at [email protected].

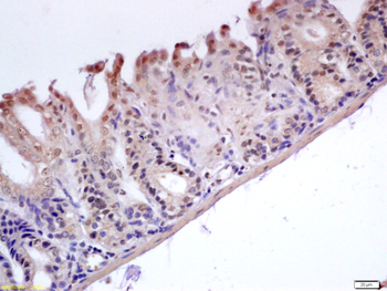
Sample Tissue: Mouse Small Intestine, Antibody dilution: 1 ug/ml.

Sample Type: Fetal Lung lysates, Antibody dilution: 3.0 ug/ml.

Sample Tissue: Human Jurkat Whole Cell, Antibody dilution: 1 ug/ml.

Sample Tissue: Human Lung Tumor, Antibody dilution: 1 ug/ml.

Sample Type: Human Prostate Cancer, Primary Antibody dilution: 2 ug/ml, Color/Signal Descriptions: GADD45B (DAB; brown), nuclei (hematoxylin; blue), Gene Name: GADD45B.

Sample Type: Human Prostate Cancer, Primary Antibody dilution: 2 ug/ml, Color/Signal Descriptions: GADD45B (DAB; brown), nuclei (hematoxylin; blue), Gene Name: GADD45B.

Sample Type: Human Prostate Cancer, Primary Antibody dilution: 2 ug/ml, Color/Signal Descriptions: GADD45B (DAB; brown), nuclei (hematoxylin; blue), Gene Name: GADD45B.

WB Suggested Anti-GADD45B Antibody Titration: 0.2-1 ug/ml, Positive Control: HepG2 cell lysate.
Documents Download
Request a Document
Protocol Information
GADD45B Rabbit Polyclonal Antibody (orb580375)
Participating in our Biorbyt product reviews program enables you to support fellow scientists by sharing your firsthand experience with our products.
Login to Submit a Review











