You have no items in your shopping cart.
GATM Rabbit Polyclonal Antibody
Description
Research Area
Images & Validation
−| Tested Applications | WB |
|---|---|
| Reactivity | Human |
| Predicted Reactivity | Bovine, Canine, Equine, Guinea pig, Mouse, Rabbit, Rat, Sheep, Zebrafish |
Key Properties
−| Host | Rabbit |
|---|---|
| Clonality | Polyclonal |
| Immunogen | The immunogen is a synthetic peptide directed towards the middle region of human GATM |
| Target | GATM |
| Protein Sequence | Synthetic peptide located within the following region: PCFDAADFIRAGRDIFAQRSQVTNYLGIEWMRRHLAPDYRVHIISFKDPN |
| Molecular Weight | 48 kDa |
| Purification | Affinity Purified |
| Conjugation | Unconjugated |
Storage & Handling
−| Storage | Maintain refrigerated at 2-8°C for up to 2 weeks. For long term storage store at -20°C in small aliquots to prevent freeze-thaw cycles. |
|---|---|
| Buffer/Preservatives | Liquid. Purified antibody supplied in 1x PBS buffer with 0.09% (w/v) sodium azide and 2% sucrose. |
| Concentration | 0.5 mg/ml |
| Expiration Date | 12 months from date of receipt. |
| Disclaimer | For research use only |
Alternative Names
−Similar Products
−GATM Rabbit Polyclonal Antibody [orb157056]
ELISA, ICC, IF, IHC-Fr, IHC-P, WB
Canine, Feline, Human, Mouse, Porcine, Rat, Sheep, Zebrafish
Human
Rabbit
Polyclonal
Unconjugated
200 μl, 50 μl, 100 μlGATM Rabbit Polyclonal Antibody [orb627259]
ELISA, IF, IHC, WB
Human, Mouse, Rat
Rabbit
Polyclonal
Unconjugated
50 μg, 100 μgGATM Rabbit Polyclonal Antibody [orb2951946]
ELISA, IHC, WB
Human
Rabbit
Polyclonal
Unconjugated
50 μg, 100 μgGATM polyclonal antibody [orb641862]
IF, IHC, WB
Human, Mouse, Rat
Rabbit
Polyclonal
Unconjugated
100 μl, 200 μl, 50 μlGATM Rabbit Polyclonal Antibody (HRP) [orb2114240]
WB
Bovine, Canine, Equine, Guinea pig, Human, Mouse, Rabbit, Rat, Sheep, Zebrafish
Rabbit
Polyclonal
HRP
100 μl

Quality Guarantee
Explore bioreagents carefree to elevate your research. All our products are rigorously tested for performance. If a product does not perform as described on its datasheet, our scientific support team will provide expert troubleshooting, a prompt replacement, or a refund. For full details, please see our Terms & Conditions and Buying Guide. Contact us at [email protected].

25 ug of the indicated Human whole cell extracts was loaded onto a 12% SDS-PAGE gel. 3 ug/ml of the antibody was used in this experiment.

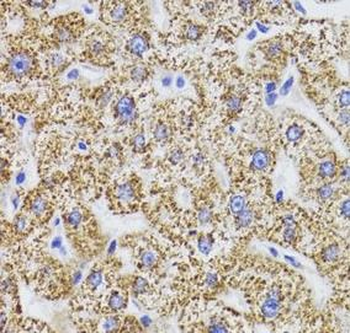
Sample Tissue: Human Fetal Liver, Antibody dilution: 1.0 ug/ml.

Sample Type: Human Fetal Heart, Antibody dilution: 1.0 ug/ml.

Sample Type: Human Fetal Lung, Antibody dilution: 1.0 ug/ml.

Sample Type: Human Adult Placenta, Antibody dilution: 1.0 ug/ml.

Positive control (+): Human liver (LI), Negative control (-): Human lung (LU), Antibody concentration: 1 ug/ml.

Rabbit Anti-GATM antibody, Formalin Fixed Paraffin Embedded Tissue: Human Kidney, Primary antibody Concentration: 1:100, Secondary Antibody: Donkey anti-Rabbit-Cy3, Secondary Antibody Concentration: 1:200, Magnification: 20x, Exposure Time: 0.5-2.0 sec.

WB Suggested Anti-GATM Antibody Titration: 0.2-1 ug/ml, ELISA Titer: 1:62500, Positive Control: 721_B cell lysate. GATM is strongly supported by BioGPS gene expression data to be expressed in Human 721_B cells.
Documents Download
Request a Document
GATM Rabbit Polyclonal Antibody (orb580442)
Participating in our Biorbyt product reviews program enables you to support fellow scientists by sharing your firsthand experience with our products.
Login to Submit a Review

