You have no items in your shopping cart.
GDNF Rabbit Polyclonal Antibody (HRP)
Description
Research Area
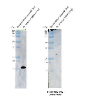
Images & Validation
−
| Tested Applications | IHC-Fr, IHC-P, WB |
|---|---|
| Dilution Range | WB=1:500-2000, IHC-P=1:100-500, IHC-F=1:100-500 |
| Reactivity | Human, Mouse, Rat |
| Predicted Reactivity | Bovine, Canine, Equine, Porcine, Sheep |
Related Conjugates & Formulations
−Key Properties
−| Antibody Type | Primary Antibody |
|---|---|
| Host | Rabbit |
| Clonality | Polyclonal |
| Isotype | IgG |
| Immunogen | KLH conjugated synthetic peptide derived from human GDNF (151-211/211aa) |
| Target | GDNF |
| Purification | Affinity purified by Protein A |
| Conjugation | HRP |
Storage & Handling
−| Storage | Shipped at 4°C. Store at -20°C for one year. Avoid repeated freeze/thaw cycles. |
|---|---|
| Buffer/Preservatives | 0.01M TBS (pH7.4) with 1% rAlbumin, 0.02% Proclin300 and 50% Glycerol. |
| Concentration | 1mg/ml |
| Expiration Date | 12 months from date of receipt. |
| Disclaimer | For research use only |
Alternative Names
−Similar Products
−ZNF336/GZF1 Rabbit Polyclonal Antibody (HRP) [orb474251]
ELISA, IHC-Fr, IHC-P, WB
Canine, Equine, Gallus, Human, Mouse, Rabbit
Rat
Rabbit
Polyclonal
HRP
100 μlGFRA4 Rabbit Polyclonal Antibody (HRP) [orb479315]
IHC-Fr, IHC-P
Rat
Human, Mouse
Rabbit
Polyclonal
HRP
100 μlGDNFRA Rabbit Polyclonal Antibody (HRP) [orb479316]
IHC-Fr, IHC-P, WB
Bovine, Canine, Equine, Porcine
Human, Mouse, Rat
Rabbit
Polyclonal
HRP
100 μlGDNF Rabbit Polyclonal Antibody (HRP) [orb479318]
IHC-Fr, IHC-P, WB
Bovine, Canine, Equine, Gallus, Porcine, Rabbit
Human, Mouse, Rat
Rabbit
Polyclonal
HRP
100 μl

Quality Guarantee
Explore bioreagents carefree to elevate your research. All our products are rigorously tested for performance. If a product does not perform as described on its datasheet, our scientific support team will provide expert troubleshooting, a prompt replacement, or a refund. For full details, please see our Terms & Conditions and Buying Guide. Contact us at [email protected].
Quick Database Links
Documents Download
Request a Document
Protocol Information
GDNF Rabbit Polyclonal Antibody (HRP) (orb475042)
Participating in our Biorbyt product reviews program enables you to support fellow scientists by sharing your firsthand experience with our products.
Login to Submit a Review
