You have no items in your shopping cart.
Description
Research Area
Images & Validation
−| Tested Applications | WB |
|---|---|
| Dilution Range | WB=1:500-2000 |
| Reactivity | Human, Mouse, Rat |
| Predicted Reactivity | Mouse, Rat |
Key Properties
−| Antibody Type | Primary Antibody |
|---|---|
| Host | Rabbit |
| Clonality | Polyclonal |
| Isotype | IgG |
| Immunogen | KLH conjugated synthetic peptide derived from human GGT1 (351-460/569aa) |
| Target | GGT1 |
| Molecular Weight | 61 kDa |
| Purification | Affinity purified by Protein A |
| Conjugation | Unconjugated |
Storage & Handling
−| Storage | Maintain refrigerated at 2-8°C for up to 2 weeks. For long term storage store at -20°C in small aliquots to prevent freeze-thaw cycles. |
|---|---|
| Form/Appearance | Liquid |
| Buffer/Preservatives | 0.01M TBS (pH7.4) with 1% rAlbumin, 0.02% Proclin300 and 50% Glycerol. |
| Concentration | 1mg/ml |
| Expiration Date | 12 months from date of receipt. |
| Disclaimer | For research use only |
Alternative Names
−Similar Products
−GGT1 Rabbit Polyclonal Antibody [orb402966]
ICC, IF, IHC-P
Guinea pig, Human, Mouse, Rat
Rabbit
Polyclonal
Unconjugated
100 μgGGT1 rabbit pAb Antibody [orb766871]
ELISA, IF, IHC, WB
Human, Mouse, Rat
Polyclonal
Unconjugated
100 μlgamma-glutamyltransferase 1 Antibody [orb555941]
IHC-P, WB
Human, Mouse
Rabbit
Polyclonal
Unconjugated
100 μl

Quality Guarantee
Explore bioreagents carefree to elevate your research. All our products are rigorously tested for performance. If a product does not perform as described on its datasheet, our scientific support team will provide expert troubleshooting, a prompt replacement, or a refund. For full details, please see our Terms & Conditions and Buying Guide. Contact us at [email protected].

Sample: 293T Cell (Human) Lysate at 40 ug, Primary: Anti-GGT1 (orb101165) at 1/300 dilution, Secondary: IRDye800CW Goat Anti-Rabbit IgG at 1/20000 dilution, Predicted band size: 61 kD, Observed band size: 61 kD.

Sample: Lane 1: Liver (Mouse) Tissue Lysate at 40 ug, Lane 2: Liver (Rat) Tissue Lysate at 40 ug, Lane 3: Thymus (Rat) Tissue Lysate at 40 ug, Lane 4: A549 (Human) Cell Lysate at 30 ug, Lane 5: U937 (Human) Cell Lysate at 30 ug, Lane 6: HepG2 (Human) Cell Lysate at 30 ug, Primary: Anti-GGT1 (orb101165) at 1/1000 dilution, Secondary: IRDye800CW Goat Anti-Rabbit IgG at 1/20000 dilution, Predicted band size: 61 kD, Observed band size: 61 kD.

Sample: Lane 1: Mouse kidney lysates, Lane 2: Mouse Stomach lysates, Lane 3: Mouse Large intestine lysates, Primary: Anti-GGT1 (orb101165) at 1/1000 dilution, Secondary: IRDye800CW Goat Anti-Rabbit IgG at 1/20000 dilution, Predicted band size: 61 kDa, Observed band size: 61 kDa.
Quick Database Links
UniProt Details
−Documents Download
Request a Document
Alvarado-Noguez Margarita Lizeth 1, Blas-Valdivia Vanessa 2, Thompson-Bonilla María Del Rocio 3, Franco-Colín Margarita 4, Jacinto-Méndez Damián 1, Cruz-Orea Alfredo 1, Cano-Europa Edgar 2, Rojas-Franco Placido Hepatoprotective Effect Assessment of C-Phycocyanin on Hepatocellular Carcinoma Rat Model by Using Photoacoustic Spectroscopy Appl Spectrosc, (2024)
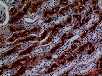
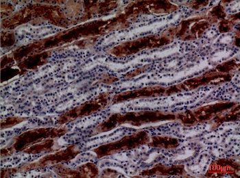
GGT1 Rabbit Polyclonal Antibody (orb101165)
Participating in our Biorbyt product reviews program enables you to support fellow scientists by sharing your firsthand experience with our products.
Login to Submit a Review















