You have no items in your shopping cart.
Description
Research Area
Images & Validation
−| Tested Applications | IHC, WB |
|---|---|
| Reactivity | Human |
| Predicted Reactivity | Bovine, Canine, Equine, Guinea pig, Mouse, Rabbit, Rat, Sheep, Yeast, Zebrafish |
Key Properties
−| Host | Rabbit |
|---|---|
| Clonality | Polyclonal |
| Immunogen | The immunogen is a synthetic peptide directed towards the middle region of human GNAO1 |
| Target | GNAO1 |
| Protein Sequence | Synthetic peptide located within the following region: CDVVSRMEDTEPFSAELLSAMMRLWGDSGIQECFNRSREYQLNDSAKYYL |
| Molecular Weight | 40kDa |
| Purification | Affinity Purified |
| Conjugation | Unconjugated |
Storage & Handling
−| Storage | Maintain refrigerated at 2-8°C for up to 2 weeks. For long term storage store at -20°C in small aliquots to prevent freeze-thaw cycles. |
|---|---|
| Buffer/Preservatives | Liquid. Purified antibody supplied in 1x PBS buffer with 0.09% (w/v) sodium azide and 2% sucrose. |
| Concentration | 0.5 mg/ml |
| Expiration Date | 12 months from date of receipt. |
| Disclaimer | For research use only |
Alternative Names
−Similar Products
−GNAO1 Rabbit Polyclonal Antibody [orb582753]
WB
Bovine, Canine, Equine, Guinea pig, Mouse, Rabbit, Rat, Sheep, Zebrafish
Human
Rabbit
Polyclonal
Unconjugated
100 μlGNAO1 Rabbit Polyclonal Antibody [orb627408]
ELISA, IHC, WB
Human, Mouse
Rabbit
Polyclonal
Unconjugated
50 μg, 100 μgGNAO1 Rabbit Polyclonal Antibody [orb2460]
ELISA, IF, IHC-Fr, IHC-P, WB
Bovine, Human, Mouse, Porcine, Rat
Human
Rabbit
Polyclonal
Unconjugated
50 μl, 100 μl, 200 μlGNAO1 Rabbit Polyclonal Antibody [orb2953798]
ELISA, IHC, WB
Human
Rabbit
Polyclonal
Unconjugated
100 μg, 50 μgGNAO1 Rabbit Polyclonal Antibody [orb378079]
WB
Human, Mouse, Rat
Rabbit
Polyclonal
Unconjugated
100 μl, 50 μl, 200 μl, 30 μl

Quality Guarantee
Explore bioreagents carefree to elevate your research. All our products are rigorously tested for performance. If a product does not perform as described on its datasheet, our scientific support team will provide expert troubleshooting, a prompt replacement, or a refund. For full details, please see our Terms & Conditions and Buying Guide. Contact us at [email protected].

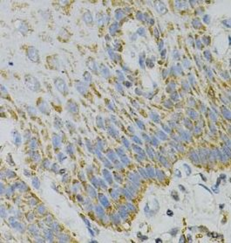
Sample Type: Human Adult Placenta, Antibody dilution: 1.0 ug/ml.

Immunohistochemistry with Brain, cerebellum tissue at an antibody concentration of 5 ug/ml using anti-GNAO1 antibody (orb582754).

WB Suggested Anti-GNAO1 Antibody Titration: 0.2-1 ug/ml, ELISA Titer: 1:62500, Positive Control: 721_B cell lysate. There is BioGPS gene expression data showing that GNAO1 is expressed in 721_B.
Documents Download
Request a Document
Protocol Information
GNAO1 Rabbit Polyclonal Antibody (orb582754)
Participating in our Biorbyt product reviews program enables you to support fellow scientists by sharing your firsthand experience with our products.
Login to Submit a Review





