You have no items in your shopping cart.
GPR37 Rabbit Polyclonal Antibody
SKU: orb157348
Description
Images & Validation
−Item 1 of 1
| Tested Applications | ELISA, ICC |
|---|---|
| Dilution range | ICC/IF=1:100-500, ELISA=1:5000-10000 |
| Reactivity | Human, Rat |
| Predicted Reactivity | Mouse, Rabbit |
Related Conjugates & Formulations
−Key Properties
−| Antibody Type | Primary Antibody |
|---|---|
| Host | Rabbit |
| Clonality | Polyclonal |
| Isotype | IgG |
| Immunogen | KLH conjugated synthetic peptide derived from human GPR37 (201-300/613aa) |
| Target | GPR37 |
| Molecular Weight | 67 kDa |
| Purification | Affinity purified by Protein A |
| Conjugation | Unconjugated |
Storage & Handling
−| Storage | Maintain refrigerated at 2-8°C for up to 2 weeks. For long term storage store at -20°C in small aliquots to prevent freeze-thaw cycles. |
|---|---|
| Form/Appearance | Liquid |
| Buffer/Preservatives | 0.01M TBS (pH7.4) with 1% rAlbumin, 0.02% Proclin300 and 50% Glycerol. |
| Concentration | 1mg/ml |
| Disclaimer | For research use only |
Alternative Names
−GPCR GPR37; EDNRBL; Endothelin B receptor like protein 1; Endothelin B receptor-like protein 1; Endothelin receptor type B like; ETBR LP 1; ETBR-LP-1; ETBRLP1; G protein coupled receptor 37; G protein coupled receptor 37 endothelin receptor type B like; Gpr37; GPR37_HUMAN; hET(B)R LP; hET(B)RLP; PAELR; Parkin associated endothelin receptor like receptor; Parkin-associated endothelin receptor-like receptor; Probable G protein coupled receptor 37; Probable G-protein coupled receptor 37; GPCR 37.
Similar Products
−GPR37 Rabbit Polyclonal Antibody [orb585981]
WB
Bovine, Canine, Equine, Guinea pig, Mouse, Rabbit, Rat
Human
Rabbit
Polyclonal
Unconjugated
100 μl

Quality Guarantee
Explore bioreagents carefree to elevate your research. All our products are rigorously tested for performance. If a product does not perform as described on its datasheet, our scientific support team will provide expert troubleshooting, a prompt replacement, or a refund. For full details, please see our Terms & Conditions and Buying Guide. Contact us at [email protected].

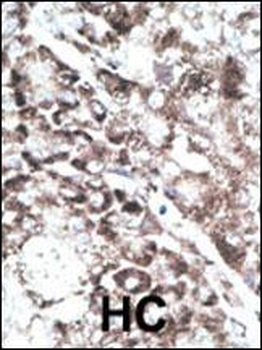
Immunohistochemical analysis of formalin-fixed paraffin embedded rat brain tissue using GPR37 antibody (dilution at 1:200)
Quick Database Links
Gene Symbol
GPR37
UniProt
UniProt Details
− No UniProt data available
Documents Download
Datasheet
Product Information
Request a Document
Protocol Information
ICC
Immunocytochemistry
ELISA
Enzyme-linked Immunosorbent Assay (EIA)
GPR37 Rabbit Polyclonal Antibody (orb157348)
Based on 0 reviews
Participating in our Biorbyt product reviews program enables you to support fellow scientists by sharing your firsthand experience with our products.
Login to Submit a Review








