You have no items in your shopping cart.
GZMH Rabbit Polyclonal Antibody
SKU: orb325032
Description
Research Area
Signal Transduction
Images & Validation
−Item 1 of 2
| Tested Applications | IHC, WB |
|---|---|
| Reactivity | Human |
| Predicted Reactivity | Equine, Mouse, Rat |
Key Properties
−| Host | Rabbit |
|---|---|
| Clonality | Polyclonal |
| Immunogen | The immunogen is a synthetic peptide directed towards the N terminal region of human GZMH |
| Target | GZMH |
| Protein Sequence | Synthetic peptide located within the following region: MQPFLLLLAFLLTPGAGTEEIIGGHEAKPHSRPYMAFVQFLQEKSRKRCG |
| Molecular Weight | 27kDa |
| Purification | Protein A purified |
| Conjugation | Unconjugated |
Storage & Handling
−| Storage | Maintain refrigerated at 2-8°C for up to 2 weeks. For long term storage store at -20°C in small aliquots to prevent freeze-thaw cycles. |
|---|---|
| Buffer/Preservatives | Liquid. Purified antibody supplied in 1x PBS buffer with 0.09% (w/v) sodium azide and 2% sucrose. |
| Concentration | 1.0 mg/ml |
| Expiration Date | 12 months from date of receipt. |
| Disclaimer | For research use only |
Alternative Names
−anti CCP-X antibody, anti CGL-2 antibody, anti CSP-C antibody, anti CTLA1 antibody, anti CTSGL2 antibody
Similar Products
−Granzyme H rabbit pAb Antibody [orb768582]
ELISA, IF, IHC, WB
Human, Mouse, Rat
Polyclonal
Unconjugated
100 μl, 50 μl

Quality Guarantee
Explore bioreagents carefree to elevate your research. All our products are rigorously tested for performance. If a product does not perform as described on its datasheet, our scientific support team will provide expert troubleshooting, a prompt replacement, or a refund. For full details, please see our Terms & Conditions and Buying Guide. Contact us at [email protected].

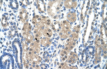
Human kidney

WB Suggested Anti-GZMH Antibody Titration: 2.5 ug/mL, Positive Control: Jurkat cell lysate.
Documents Download
Datasheet
Product Information
Request a Document
Protocol Information
WB
Western Blot (IB, immunoblot)
IHC
Immunohistochemistry
GZMH Rabbit Polyclonal Antibody (orb325032)
Based on 0 reviews
Participating in our Biorbyt product reviews program enables you to support fellow scientists by sharing your firsthand experience with our products.
Login to Submit a Review



