You have no items in your shopping cart.
HCLS1 Rabbit Polyclonal Antibody
Description
Research Area
Images & Validation
−| Tested Applications | IHC, WB |
|---|---|
| Reactivity | Human, Mouse |
| Predicted Reactivity | Bovine, Canine, Equine, Guinea pig, Rabbit, Rat |
Key Properties
−| Host | Rabbit |
|---|---|
| Clonality | Polyclonal |
| Immunogen | The immunogen is a synthetic peptide directed towards the N terminal region of human HCLS1 |
| Target | HCLS1 |
| Molecular Weight | 54kDa |
| Purification | Affinity Purified |
| Conjugation | Unconjugated |
Storage & Handling
−| Storage | Maintain refrigerated at 2-8°C for up to 2 weeks. For long term storage store at -20°C in small aliquots to prevent freeze-thaw cycles. |
|---|---|
| Buffer/Preservatives | Liquid. Purified antibody supplied in 1x PBS buffer with 0.09% (w/v) sodium azide and 2% sucrose. |
| Concentration | 0.5 mg/ml |
| Disclaimer | For research use only |
Alternative Names
−Similar Products
−HCLS1 Rabbit Polyclonal Antibody [orb573967]
IHC, WB
Bovine, Canine, Equine, Guinea pig, Rabbit, Rat
Human, Mouse
Rabbit
Polyclonal
Unconjugated
100 μlLck BP-1 (phospho Tyr397) rabbit pAb Antibody [orb768598]
IHC, WB
Human, Mouse, Rat
Polyclonal
Unconjugated
100 μl, 50 μl

Quality Guarantee
Explore bioreagents carefree to elevate your research. All our products are rigorously tested for performance. If a product does not perform as described on its datasheet, our scientific support team will provide expert troubleshooting, a prompt replacement, or a refund. For full details, please see our Terms & Conditions and Buying Guide. Contact us at [email protected].

Sample Tissue: Mouse Heart, Antibody dilution: 1 ug/ml.

Rabbit Anti-HCLS1 Antibody, Paraffin Embedded Tissue: Human Heart, Cellular Data: Myocardial cells, Antibody Concentration: 4.0-8.0 ug/ml, Magnification: 400X.

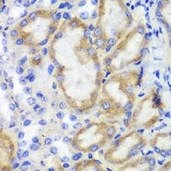
Rabbit Anti-HCLS1 Antibody, Paraffin Embedded Tissue: Human Kidney, Cellular Data: Epithelial cells of renal tubule, Antibody Concentration: 4.0-8.0 ug/ml, Magnification: 400X.

Rabbit Anti-HCLS1 Antibody, Paraffin Embedded Tissue: Human Stomach, Cellular Data: Epithelial cells of Fundic Gland, Antibody Concentration: 4.0-8.0 ug/ml, Magnification: 400X.

WB Suggested Anti-HCLS1 Antibody Titration: 0.2-1 ug/ml, ELISA Titer: 1:312500, Positive Control: Jurkat cell lysate, HCLS1 is supported by BioGPS gene expression data to be expressed in Jurkat.

WB Suggested Anti-HCLS1 Antibody Titration: 1.25 ug/ml, Positive Control: Jurkat cell lysate, HCLS1 is supported by BioGPS gene expression data to be expressed in Jurkat.
Documents Download
Request a Document
Protocol Information
HCLS1 Rabbit Polyclonal Antibody (orb573966)
Participating in our Biorbyt product reviews program enables you to support fellow scientists by sharing your firsthand experience with our products.
Login to Submit a Review














