You have no items in your shopping cart.
HIF-1 Alpha Rabbit Polyclonal Antibody
Description
Research Area
Images & Validation
−| Tested Applications | FC, ICC |
|---|---|
| Dilution range | ICC/IF=1:100-500, Flow-Cyt=1μg/Test |
| Reactivity | Human |
| Predicted Reactivity | Gallus, Porcine |
Related Conjugates & Formulations
−Key Properties
−| Antibody Type | Primary Antibody |
|---|---|
| Host | Rabbit |
| Clonality | Polyclonal |
| Isotype | IgG |
| Immunogen | KLH conjugated synthetic peptide derived from middle of human HIF-1 Alpha (661-760/826aa) |
| Target | HIF1A |
| Molecular Weight | 92 kDa |
| Purification | Affinity purified by Protein A |
| Conjugation | Unconjugated |
Storage & Handling
−| Storage | Maintain refrigerated at 2-8°C for up to 2 weeks. For long term storage store at -20°C in small aliquots to prevent freeze-thaw cycles. |
|---|---|
| Form/Appearance | Liquid |
| Buffer/Preservatives | 0.01M TBS (pH7.4) with 1% rAlbumin, 0.02% Proclin300 and 50% Glycerol. |
| Concentration | 1mg/ml |
| Disclaimer | For research use only |
Alternative Names
−Similar Products
−HIF-1 Alpha Rabbit Polyclonal Antibody [orb500743]
FC, WB
Gallus, Mouse, Rat
Human
Rabbit
Polyclonal
Unconjugated
50 μl, 100 μl, 200 μlHIF 2 alpha Rabbit Polyclonal Antibody [orb10804]
FC, ICC, WB
Human
Mouse, Rat
Rabbit
Polyclonal
Unconjugated
50 μl, 100 μl, 200 μlHIF-1α Polyclonal Antibody [orb1413487]
IF, IHC-P, WB
Human, Mouse, Rat
Rabbit
Polyclonal
Unconjugated
100 μlHIF1A Rabbit Polyclonal Antibody [orb576507]
WB
Bovine, Canine, Equine, Goat, Guinea pig, Rabbit, Rat
Gallus, Human, Mouse
Rabbit
Polyclonal
Unconjugated
100 μlEPAS-1 rabbit pAb Antibody [orb766930]
ELISA, IF, IHC, WB
Human, Mouse, Rat
Polyclonal
Unconjugated
50 μl, 100 μl

Quality Guarantee
Explore bioreagents carefree to elevate your research. All our products are rigorously tested for performance. If a product does not perform as described on its datasheet, our scientific support team will provide expert troubleshooting, a prompt replacement, or a refund. For full details, please see our Terms & Conditions and Buying Guide. Contact us at [email protected].

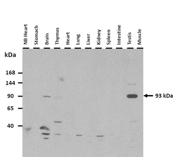
25 ug total protein per lane of various lysates probed with HIF-1 Alpha polyclonal antibody, unconjugated (orb500810) at 1:1000 dilution and 4°C overnight incubation. Followed by conjugated secondary antibody incubation at r.t. for 60 min.

50 ng RHHIF-1 Alpha-Trx-His protein per lane probed with HIF-1 Alpha polyclonal antibody respectively, unconjugated (orb500810) at 1:1000 dilution and 4°C overnight incubation. Followed by corresponding conjugated secondary antibody incubation at r.t. for 60 min.

Blank control (blue line): Hela (blue). Primary Antibody (green line): Rabbit Anti-HIF-1 Alpha antibody (orb500810), dilution: 1 µg/10^6 cells, Isotype Control Antibody (orange line): Rabbit IgG. Secondary Antibody (white blue line): Goat anti-rabbit IgG-FITC, dilution: 1 µg/Test. Protocol, The cells were fixed with 80% methanol (5 min at -20°C) and then permeabilized with 0.1% PBS-Tween for 20 min at room temperature. Cells stained with Primary Antibody for 30 min at room temperature. The cells were then incubated in 1X PBS/2% BSA/10% goat serum to block non-specific protein-protein interactions followed by the antibody for 15 min at room temperature. The secondary antibody used for 40 min at room temperature. Acquisition of 20000 events was performed.

Blank control: Mouse spleen. Primary Antibody (green line): Rabbit Anti-HIF-1 Alpha antibody (orb500810), dilution: 2 µg/10^6 cells, Isotype Control Antibody (orange line): Rabbit IgG. Secondary Antibody: Goat anti-rabbit IgG-FITC, dilution: 1 µg/Test. Protocol, The cells were fixed with 4% PFA (10 min at room temperature) and then permeabilized with 90% ice-cold methanol for 20 min at -20°C. The cells were then incubated in 5% BSA to block non-specific protein-protein interactions for 30 min at room temperature. Cells stained with Primary Antibody for 30 min at room temperature. The secondary antibody used for 40 min at room temperature. Acquisition of 20000 events was performed.

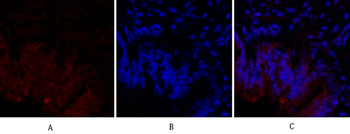
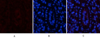
Hela cell, 4% Paraformaldehyde-fixed, Triton X-100 at room temperature for 20 min, Blocking buffer (normal goat serum) at 37°C for 20 min, Antibody incubation with (HIF-1 Alpha) polyclonal Antibody, Unconjugated (orb500810) 1:100, 90 minutes at 37°C, followed by a conjugated Goat Anti-Rabbit IgG antibody at 37°C for 90 minutes, DAPI (blue) was used to stain the cell nuclei.

Hela cell, 4% Paraformaldehyde-fixed, Triton X-100 at room temperature for 20 min, Blocking buffer (normal goat serum) at 37°C for 20 min, Antibody incubation with (HIF-1 Alpha) polyclonal Antibody, Unconjugated (orb500810) 1:100, 90 minutes at 37°C, followed by a conjugated Goat Anti-Rabbit IgG antibody at 37°C for 90 minutes, DAPI (blue) was used to stain the cell nuclei.

Paraformaldehyde-fixed, paraffin embedded (rat kidney), Antigen retrieval by boiling in sodium citrate buffer (pH6.0) for 15 min, Block endogenous peroxidase by 3% hydrogen peroxide for 20 minutes, Blocking buffer (normal goat serum) at 37°C for 30 min, Antibody incubation with (HIF-1 Alpha) Polyclonal Antibody, Unconjugated (orb500810) at 1:200 overnight at 4°C, followed by operating according to SP Kit (Rabbit) instructionsand DAB staining.

Paraformaldehyde-fixed, paraffin embedded (rat stomach), Antigen retrieval by boiling in sodium citrate buffer (pH6.0) for 15 min, Block endogenous peroxidase by 3% hydrogen peroxide for 20 minutes, Blocking buffer (normal goat serum) at 37°C for 30 min, Antibody incubation with (HIF-1 Alpha) Polyclonal Antibody, Unconjugated (orb500810) at 1:200 overnight at 4°C, followed by operating according to SP Kit (Rabbit) instructionsand DAB staining.
Quick Database Links
UniProt Details
−Documents Download
Request a Document
Protocol Information
HIF-1 Alpha Rabbit Polyclonal Antibody (orb500810)
Participating in our Biorbyt product reviews program enables you to support fellow scientists by sharing your firsthand experience with our products.
Login to Submit a Review





























