You have no items in your shopping cart.
Description
Research Area
Images & Validation
−| Tested Applications | IHC, WB |
|---|---|
| Reactivity | Human |
| Predicted Reactivity | Bovine, Canine, Equine, Goat, Guinea pig, Mouse, Rabbit, Rat, Yeast, Zebrafish |
Key Properties
−| Host | Rabbit |
|---|---|
| Clonality | Polyclonal |
| Immunogen | The immunogen is a synthetic peptide directed towards the N terminal region of human HIF1A |
| Target | HIF1A |
| Protein Sequence | Synthetic peptide located within the following region: EGAGGANDKKKISSERRKEKSRDAARSRRSKESEVFYELAHQLPLPHNVS |
| Molecular Weight | 93 kDa |
| Purification | Affinity Purified |
| Conjugation | Unconjugated |
Storage & Handling
−| Storage | Maintain refrigerated at 2-8°C for up to 2 weeks. For long term storage store at -20°C in small aliquots to prevent freeze-thaw cycles. |
|---|---|
| Buffer/Preservatives | Liquid. Purified antibody supplied in 1x PBS buffer with 0.09% (w/v) sodium azide and 2% sucrose. |
| Concentration | 0.5 mg/ml |
| Expiration Date | 12 months from date of receipt. |
| Disclaimer | For research use only |
Alternative Names
−Similar Products
−HIF-1 Alpha Rabbit Polyclonal Antibody [orb500810]
FC, ICC
Gallus, Porcine
Human
Rabbit
Polyclonal
Unconjugated
200 μl, 50 μl, 100 μlHIF-1 Alpha Rabbit Polyclonal Antibody [orb500743]
FC, WB
Gallus, Mouse, Rat
Human
Rabbit
Polyclonal
Unconjugated
50 μl, 100 μl, 200 μlHIF-1 alpha/HIF1A/HIF Rabbit Polyclonal Antibody [orb669094]
ELISA, FC, IHC, WB
Human, Mouse, Rat
Rabbit
Polyclonal
Unconjugated
100 μgHIF-1α Polyclonal Antibody [orb1413487]
IF, IHC-P, WB
Human, Mouse, Rat
Rabbit
Polyclonal
Unconjugated
100 μlHIF1Alpha Antibody (C-term) [orb1928918]
IF, IHC-P, WB
Human, Mouse
Rabbit
Polyclonal
Unconjugated
400 μl

Quality Guarantee
Explore bioreagents carefree to elevate your research. All our products are rigorously tested for performance. If a product does not perform as described on its datasheet, our scientific support team will provide expert troubleshooting, a prompt replacement, or a refund. For full details, please see our Terms & Conditions and Buying Guide. Contact us at [email protected].

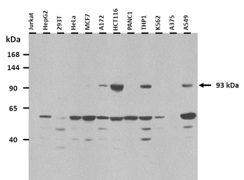
25 ug of the indicated Human whole cell extracts was loaded onto a 6-18% SDS-PAGE gel. 1 ug/ml of the antibody was used in this experiment. The protein may be modified by phosphorylation.

Rabbit Anti-HIF1A antibody, Paraffin Embedded Tissue: Human Heart cell Cellular Data: cardiac cell of renal tubule, Antibody Concentration: 4.0-8.0 ug/ml, Magnification: 400X.

Rabbit Anti-HIF1A Antibody, Catalog Number: orb573649, Formalin Fixed Paraffin Embedded Tissue: Human Bone Marrow Tissue, Observed Staining: Nucleus, Cytoplasm, Primary Antibody Concentration: 1:100, Other Working Concentrations: N/A, Secondary Antibody: Donkey anti-Rabbit-Cy3, Secondary Antibody Concentration: 1:200, Magnification: 20X, Exposure Time: 0.5-2.0 sec.

WB Suggested Anti-HIF1A Antibody, Titration: 1.0 ug/ml, Positive Control: Fetal Heart.
Documents Download
Request a Document
Protocol Information
HIF1A Rabbit Polyclonal Antibody (orb573649)
Participating in our Biorbyt product reviews program enables you to support fellow scientists by sharing your firsthand experience with our products.
Login to Submit a Review































