You have no items in your shopping cart.
HSPA8 Rabbit Polyclonal Antibody
Description
Research Area
Images & Validation
−| Tested Applications | IHC, WB |
|---|---|
| Reactivity | Human, Mouse, Rat |
| Predicted Reactivity | Bovine, Goat, Porcine, Sheep, Zebrafish |
Key Properties
−| Host | Rabbit |
|---|---|
| Clonality | Polyclonal |
| Immunogen | The immunogen is a synthetic peptide directed towards the N terminal region of human HSPA8 |
| Target | HSPA8 |
| Molecular Weight | 71kDa |
| Purification | Affinity Purified |
| Conjugation | Unconjugated |
Storage & Handling
−| Storage | Maintain refrigerated at 2-8°C for up to 2 weeks. For long term storage store at -20°C in small aliquots to prevent freeze-thaw cycles. |
|---|---|
| Buffer/Preservatives | Liquid. Purified antibody supplied in 1x PBS buffer with 0.09% (w/v) sodium azide and 2% sucrose. |
| Concentration | 0.5 mg/ml |
| Disclaimer | For research use only |
Alternative Names
−Similar Products
−HSPA8 Rabbit Polyclonal Antibody [orb330555]
IHC, WB
Equine, Goat, Mouse, Yeast, Zebrafish
Human, Rat
Rabbit
Polyclonal
Unconjugated
100 μlHsc70 Rabbit Polyclonal Antibody [orb5486]
FC, ICC, IF, IHC-Fr, IHC-P
Bovine, Gallus, Porcine, Rabbit
Human, Mouse, Rat
Rabbit
Polyclonal
Unconjugated
50 μl, 100 μl, 200 μlHSC 70 rabbit pAb Antibody [orb765444]
ELISA, WB
Human, Mouse, Rat
Polyclonal
Unconjugated
100 μl, 50 μlHSPA8 Antibody [orb627820]
ELISA, IHC, IP, WB
Human, Mouse, Rat
Rabbit
Polyclonal
Unconjugated
100 μg, 50 μg

Quality Guarantee
Explore bioreagents carefree to elevate your research. All our products are rigorously tested for performance. If a product does not perform as described on its datasheet, our scientific support team will provide expert troubleshooting, a prompt replacement, or a refund. For full details, please see our Terms & Conditions and Buying Guide. Contact us at [email protected].

Sample Type: Mouse Brain Slices, Red: primary, Blue: DAPI, Primary, dilution: 1:400, Secondary Antibody: Anti-Rabbit IgG Alexa 594, Secondary, dilution: 1:400.

25 ug of the indicated Human whole cell tissue extracts was loaded onto a 12% SDS-PAGE gel. 1 ug/ml of the antibody was used in this experiment.

Sample Type: 293T, Antibody dilution: 1.0 ug/ml.

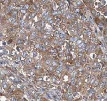
Sample Tissue: Human Fetal Liver, Antibody dilution: 1.0 ug/ml.

Sample Tissue: Human Jurkat Whole Cell, Antibody dilution: 0.5 ug/ml.

Sample Tissue: Human Jurkat Whole Cell, Antibody dilution: 1 ug/ml.

Sample Type: Human 293T cell, Lane A: Primary Antibody, Lane B: Primary Antibody + Blocking Peptide, Primary Antibody Concentration: 1 ug/ml, Peptide Concentration: 5.0 ug/ml, Lysate Quantity: 25 ug/lane/lane, Gel Concentration: 12%.

Sample Type: MCF7, Antibody dilution: 1.0 ug/ml. HSPA8 is strongly supported by BioGPS gene expression data to be expressed in MCF7.

Sample Type: Jurkat, Antibody dilution: 1.0 ug/ml. HSPA8 is strongly supported by BioGPS gene expression data to be expressed in Human Jurkat cells.

HSPA8 antibody - N-terminal region (orb330554) validated by WB using Rat Brain lysate at 1:1000.

Rabbit Anti-HSPA8 Antibody, Catalog Number: orb330554, Formalin Fixed Paraffin Embedded Tissue: Human Pineal Tissue, Observed Staining: Nuclear in pinealocytes, Primary Antibody Concentration: 1:100, Secondary Antibody: Donkey anti-Rabbit-Cy3, Secondary Antibody Concentration: 1:200, Magnification: 20X, Exposure Time: 0.5-2.0 sec.

WB Suggested Anti-HSPA8 Antibody Titration: 0.2-1 ug/ml, ELISA Titer: 1:62500, Positive Control: 293T cell lysate.
Documents Download
Request a Document
Protocol Information
HSPA8 Rabbit Polyclonal Antibody (orb330554)
Participating in our Biorbyt product reviews program enables you to support fellow scientists by sharing your firsthand experience with our products.
Login to Submit a Review

















