You have no items in your shopping cart.
HSPA9 Rabbit Polyclonal Antibody
Description
Research Area
Images & Validation
−| Tested Applications | IHC, IP, WB |
|---|---|
| Reactivity | Human, Mouse, Rat |
| Predicted Reactivity | Bovine, Canine, Equine, Guinea pig, Rabbit |
Key Properties
−| Host | Rabbit |
|---|---|
| Clonality | Polyclonal |
| Immunogen | The immunogen is a synthetic peptide directed towards the C terminal region of human HSPA9 |
| Target | HSPA9 |
| Protein Sequence | Synthetic peptide located within the following region: GENIRQAASSLQQASLKLFEMAYKKMASEREGSGSSGTGEQKEDQKEEKQ |
| Molecular Weight | 75kDa |
| Purification | Affinity Purified |
| Conjugation | Unconjugated |
Storage & Handling
−| Storage | Maintain refrigerated at 2-8°C for up to 2 weeks. For long term storage store at -20°C in small aliquots to prevent freeze-thaw cycles. |
|---|---|
| Buffer/Preservatives | Liquid. Purified antibody supplied in 1x PBS buffer with 0.09% (w/v) sodium azide and 2% sucrose. |
| Concentration | 0.5 mg/ml |
| Expiration Date | 12 months from date of receipt. |
| Disclaimer | For research use only |
Alternative Names
−Similar Products
−GRP75 Rabbit Polyclonal Antibody [orb10746]
IF, IHC-Fr, IHC-P, WB
Bovine, Canine, Equine, Porcine, Rabbit
Human, Mouse, Rat
Rabbit
Polyclonal
Unconjugated
50 μl, 100 μl, 200 μlGrp75/HSPA9 Rabbit Polyclonal Antibody [orb315150]
FC, ICC, IF, IHC, IP, WB
Human, Mouse, Rat
Rabbit
Polyclonal
Unconjugated
100 μgHSP A9 rabbit pAb Antibody [orb765453]
ELISA, IF, IHC, WB
Human, Monkey, Mouse, Rat
Polyclonal
Unconjugated
100 μl, 50 μlHSPA9 Rabbit Polyclonal Antibody [orb627522]
ELISA, FC, IF, IHC, IP, WB
Human, Mouse, Rat
Rabbit
Polyclonal
Unconjugated
50 μg, 100 μgGrp75/HSPA9 Rabbit Polyclonal Antibody [orb76302]
ICC, IHC, IHC-Fr, WB
Human, Mouse, Rat
Rabbit
Polyclonal
Unconjugated
100 μg

Quality Guarantee
Explore bioreagents carefree to elevate your research. All our products are rigorously tested for performance. If a product does not perform as described on its datasheet, our scientific support team will provide expert troubleshooting, a prompt replacement, or a refund. For full details, please see our Terms & Conditions and Buying Guide. Contact us at [email protected].

Amount and Sample Type: 500 ug mouse brain homogenate, Amount of IP Antibody: 6 ug, Primary Antibody: HSPA9, Primary Antibody dilution: 1:500, Secondary Antibody: Goat anti-rabbit Alexa-Fluor 594, Secondary Antibody dilution: 1:5000, Gene Name: HSPA9.

Sample Type: rat brain extract (80 ug), Primary antibody dilution: 2 ug/ml, Secondary antibody: IRDye 800CW goat anti-rabbit, Secondary antibody dilution: 1:20000.

Sample Type: Human brain stem cells, Primary Antibody dilution: 1:500, Secondary Antibody: Goat anti-rabbit Alexa-Fluor 594, Secondary Antibody dilution: 1:1000, Color/Signal Descriptions: HSPA9: Red DAPI:Blue, Gene Name: HSPA9.

Sample Type: Human brain stem cells, Primary Antibody dilution: 1:500, Secondary Antibody: Goat anti-rabbit Alexa-Fluor 594, Secondary Antibody dilution: 1:1000, Color/Signal Descriptions: HSPA9: Red DAPI:Blue, Gene Name: HSPA9.

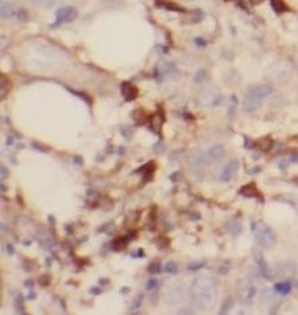
Skeletal muscle

WB Suggested Anti-HSPA9 Antibody Titration: 0.2-1 ug/ml, ELISA Titer: 1:62500, Positive Control: 293T cell lysate, HSPA9 is strongly supported by BioGPS gene expression data to be expressed in Human HEK293T cells.
Documents Download
Request a Document
Protocol Information
HSPA9 Rabbit Polyclonal Antibody (orb573591)
Participating in our Biorbyt product reviews program enables you to support fellow scientists by sharing your firsthand experience with our products.
Login to Submit a Review























