You have no items in your shopping cart.
IGF2BP3 Rabbit Polyclonal Antibody
Description
Research Area
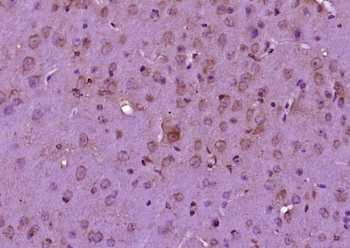
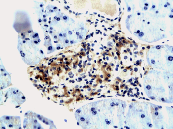
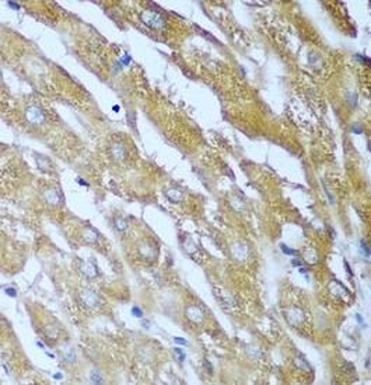
Images & Validation
−| Tested Applications | WB |
|---|---|
| Reactivity | Human |
| Predicted Reactivity | Human |
Key Properties
−| Host | Rabbit |
|---|---|
| Clonality | Polyclonal |
| Immunogen | The immunogen is a synthetic peptide directed towards the middle region of Human IGF2BP3 |
| Target | IGF2BP3 |
| Protein Sequence | Synthetic peptide located within the following region: KEGATIRNITKQTQSKIDVHRKENAGAAEKSITILSTPEGTSAACKSILE |
| Molecular Weight | 63kDa |
| Purification | Affinity Purified |
| Conjugation | Unconjugated |
Storage & Handling
−| Storage | Maintain refrigerated at 2-8°C for up to 2 weeks. For long term storage store at -20°C in small aliquots to prevent freeze-thaw cycles. |
|---|---|
| Buffer/Preservatives | Liquid. Purified antibody supplied in 1x PBS buffer with 0.09% (w/v) sodium azide and 2% sucrose. |
| Concentration | 0.5 mg/ml |
| Expiration Date | 12 months from date of receipt. |
| Disclaimer | For research use only |
Alternative Names
−Similar Products
−IGF2BP3 Rabbit Polyclonal Antibody [orb10888]
IF, IHC-Fr, IHC-P
Canine, Equine, Human
Mouse, Rat
Rabbit
Polyclonal
Unconjugated
50 μl, 100 μl, 200 μlIGF2BP3 Rabbit Polyclonal Antibody [orb512483]
ELISA, IHC, WB
Mouse, Rat
Human
Rabbit
Polyclonal
Unconjugated
100 μgIMP3/IGF2BP3 Rabbit Polyclonal Antibody [orb865416]
ELISA, FC, WB
Human, Mouse, Rat
Rabbit
Polyclonal
Unconjugated
100 μgIGF2BP3 Rabbit Polyclonal Antibody [orb627947]
ELISA, IHC, WB
Human, Mouse, Rat
Rabbit
Polyclonal
Unconjugated
50 μg, 100 μgIGF2BP3 Rabbit Polyclonal Antibody [orb412280]
IF, IHC, IP, WB
Human, Mouse, Rat
Rabbit
Polyclonal
Unconjugated
200 μl, 50 μl, 100 μl, 30 μl

Quality Guarantee
Explore bioreagents carefree to elevate your research. All our products are rigorously tested for performance. If a product does not perform as described on its datasheet, our scientific support team will provide expert troubleshooting, a prompt replacement, or a refund. For full details, please see our Terms & Conditions and Buying Guide. Contact us at [email protected].

Sample Tissue: Human DLD1 Whole Cell, Antibody Dilution: 1 ug/mL.

Sample Type: 721_B Whole Cell lysates, Antibody Dilution: 1.0 ug/mL.
Quick Database Links
UniProt Details
−Documents Download
Request a Document
IGF2BP3 Rabbit Polyclonal Antibody (orb327186)
Participating in our Biorbyt product reviews program enables you to support fellow scientists by sharing your firsthand experience with our products.
Login to Submit a Review








