You have no items in your shopping cart.
Jun D Rabbit Polyclonal Antibody (AP)
Description
Research Area
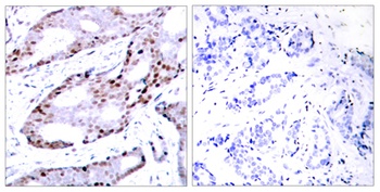
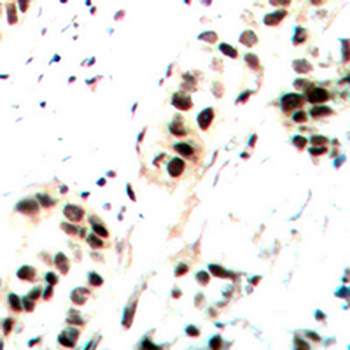
Images & Validation
−
| Tested Applications | IHC-Fr, IHC-P |
|---|---|
| Dilution Range | IHC-P=1:100-500, IHC-F=1:100-500 |
| Reactivity | Rat |
| Predicted Reactivity | Bovine, Canine, Gallus, Human, Mouse, Rabbit |
Related Conjugates & Formulations
−Key Properties
−| Antibody Type | Primary Antibody |
|---|---|
| Host | Rabbit |
| Clonality | Polyclonal |
| Isotype | IgG |
| Immunogen | KLH conjugated synthetic peptide derived from human Jun D (245-347/347aa) |
| Target | JUND |
| Purification | Affinity purified by Protein A |
| Conjugation | AP |
Storage & Handling
−| Storage | Shipped at 4°C. Store at -20°C for one year. Avoid repeated freeze/thaw cycles. |
|---|---|
| Buffer/Preservatives | 0.01M TBS (pH7.4) with 1% rAlbumin, 0.02% Proclin300 and 50% Glycerol. |
| Concentration | 1mg/ml |
| Expiration Date | 12 months from date of receipt. |
| Disclaimer | For research use only |
Alternative Names
−Similar Products
−AP-1/Jun D (phospho Ser73/100) rabbit pAb Antibody [orb764136]
ELISA, IF, IHC, WB
Human, Mouse, Rat
Polyclonal
Unconjugated
100 μl, 50 μlAP-1/Jun D rabbit pAb Antibody [orb764539]
ELISA, IF, IHC, WB
Human, Mouse, Rat
Polyclonal
Unconjugated
100 μl, 50 μlc-Jun (pS73/100) Antibody [orb2650418]
IF, IHC, IP, WB
Human, Mouse, Porcine, Rat, Zebrafish
Rabbit
Polyclonal
Unconjugated
50 μlJUN/JUND Antibody [orb675320]
ELISA, IHC, WB
Human, Mouse, Rat
Rabbit
Polyclonal
Unconjugated
100 μg, 50 μgAP-1/Jun D Polyclonal Antibody [orb1414671]
IHC-P, WB
Human, Mouse, Rat
Rabbit
Polyclonal
Unconjugated
100 μl

Quality Guarantee
Explore bioreagents carefree to elevate your research. All our products are rigorously tested for performance. If a product does not perform as described on its datasheet, our scientific support team will provide expert troubleshooting, a prompt replacement, or a refund. For full details, please see our Terms & Conditions and Buying Guide. Contact us at [email protected].
Quick Database Links
Documents Download
Request a Document
Protocol Information
Jun D Rabbit Polyclonal Antibody (AP) (orb909972)
Participating in our Biorbyt product reviews program enables you to support fellow scientists by sharing your firsthand experience with our products.
Login to Submit a Review













