You have no items in your shopping cart.
Description
Research Area
Images & Validation
−| Tested Applications | IHC, WB |
|---|---|
| Reactivity | Human |
| Predicted Reactivity | Bovine, Canine, Equine, Guinea pig, Mouse, Rat, Yeast |
Key Properties
−| Host | Rabbit |
|---|---|
| Clonality | Polyclonal |
| Immunogen | The immunogen is a synthetic peptide directed towards the N terminal region of human KRT8 |
| Target | KRT8 |
| Protein Sequence | Synthetic peptide located within the following region: MSIRVTQKSYKVSTSGPRAFSSRSYTSGPGSRISSSSFSRVGSSNFRGGL |
| Molecular Weight | 53kDa |
| Purification | Affinity Purified |
| Conjugation | Unconjugated |
Storage & Handling
−| Storage | Maintain refrigerated at 2-8°C for up to 2 weeks. For long term storage store at -20°C in small aliquots to prevent freeze-thaw cycles. |
|---|---|
| Buffer/Preservatives | Liquid. Purified antibody supplied in 1x PBS buffer with 0.09% (w/v) sodium azide and 2% sucrose. |
| Concentration | 0.5 mg/ml |
| Expiration Date | 12 months from date of receipt. |
| Disclaimer | For research use only |
Alternative Names
−Similar Products
−Cytokeratin 8/KRT8 Rabbit Polyclonal Antibody [orb19070]
IHC, WB
Human, Mouse, Rat
Rabbit
Polyclonal
Unconjugated
100 μgCytokeratin 8 Rabbit Polyclonal Antibody [orb10413]
ELISA, IF, IHC-Fr, IHC-P
Gallus, Mouse, Rat
Human
Rabbit
Polyclonal
Unconjugated
100 μl, 200 μl, 50 μlKRT8 Rabbit Polyclonal Antibody [orb578311]
IHC, WB
Bovine, Canine, Equine, Guinea pig, Mouse, Porcine, Rabbit, Rat
Human
Rabbit
Polyclonal
Unconjugated
100 μlKeratin-pan rabbit pAb Antibody [orb766934]
ELISA, IF, IHC, WB
Human, Mouse, Rat
Polyclonal
Unconjugated
100 μlCytokeratin 8 rabbit pAb Antibody [orb766933]
ELISA, IF, IHC, WB
Human, Mouse, Rat
Polyclonal
Unconjugated
100 μl

Quality Guarantee
Explore bioreagents carefree to elevate your research. All our products are rigorously tested for performance. If a product does not perform as described on its datasheet, our scientific support team will provide expert troubleshooting, a prompt replacement, or a refund. For full details, please see our Terms & Conditions and Buying Guide. Contact us at [email protected].

KRT8 Antibody (orb578310), Catalog Number: orb578310, Formalin Fixed Paraffin Embedded Tissue: Human Liver Tissue, Observed Staining: Cytoplasm and membrane of hepatocytes, Primary Antibody Concentration: 1:100, Other Working Concentrations: 1/600, Secondary Antibody: Donkey anti-Rabbit-Cy3, Secondary Antibody Concentration: 1:200, Magnification: 20X, Exposure Time: 0.5-2.0 sec.

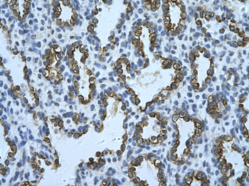
Rabbit Anti-KRT8 Antibody, Paraffin Embedded Tissue: Human alveolar cell, Cellular Data: Epithelial cells of renal tubule, Antibody Concentration: 4.0-8.0 ug/ml, Magnification: 400X.

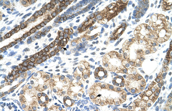
Rabbit Anti-KRT8 Antibody, Paraffin Embedded Tissue: Human Kidney, Cellular Data: Epithelial cells of renal tubule, Antibody Concentration: 4.0-8.0 ug/ml, Magnification: 400X.

Sample Type: Human Triple Negative Breast Cancer Xenografts, Primary Dilution: 1:100, Secondary (Anti-Rabbit 594) Dilution: 1:200.

Small intestine

WB Suggested Anti-KRT8 Antibody Titration: 0.2-1 ug/ml, Positive Control: Jurkat cell lysate.
Documents Download
Request a Document
Protocol Information
KRT8 Rabbit Polyclonal Antibody (orb578310)
Participating in our Biorbyt product reviews program enables you to support fellow scientists by sharing your firsthand experience with our products.
Login to Submit a Review




































