You have no items in your shopping cart.
Description
Research Area
Images & Validation
−| Tested Applications | FC, ICC, IF, IHC-Fr, IHC-P, WB |
|---|---|
| Dilution Range | WB=1:500-2000, IHC-P=1:100-500, IHC-F=1:100-500, ICC/IF=1:50-200, IF=1:100-500, Flow-Cyt=2ug/Test |
| Reactivity | Human |
| Predicted Reactivity | Mouse, Porcine |
Related Conjugates & Formulations
−Key Properties
−| Antibody Type | Primary Antibody |
|---|---|
| Host | Rabbit |
| Clonality | Polyclonal |
| Isotype | IgG |
| Immunogen | KLH conjugated synthetic peptide derived from human LAMP-1 (301-417/417aa) |
| Target | LAMP1 |
| Molecular Weight | 40/110-140 kDa |
| Purification | Affinity purified by Protein A |
| Conjugation | Unconjugated |
Storage & Handling
−| Storage | Maintain refrigerated at 2-8°C for up to 2 weeks. For long term storage store at -20°C in small aliquots to prevent freeze-thaw cycles. |
|---|---|
| Form/Appearance | Liquid |
| Buffer/Preservatives | 0.01M TBS (pH7.4) with 1% rAlbumin, 0.02% Proclin300 and 50% Glycerol. |
| Concentration | 1mg/ml |
| Expiration Date | 12 months from date of receipt. |
| Disclaimer | For research use only |
Alternative Names
−Similar Products
−CD107a rabbit pAb Antibody [orb766865]
ELISA, WB
Human, Mouse, Rat
Polyclonal
Unconjugated
50 μl, 100 μlLAMP1 Rabbit Polyclonal Antibody [orb584161]
IHC, WB
Bovine, Canine, Porcine, Rabbit
Human, Mouse
Rabbit
Polyclonal
Unconjugated
100 μlLAMP1 Rabbit Polyclonal Antibody [orb628365]
ELISA, IF, IHC, WB
Human, Mouse, Rat
Rabbit
Polyclonal
Unconjugated
50 μg, 100 μgLAMP1 Rabbit Polyclonal Antibody [orb628366]
ELISA, IF, WB
Human
Rabbit
Polyclonal
Unconjugated
50 μg, 100 μgLAMP1 Rabbit Polyclonal Antibody [orb1973125]
IF, IHC, WB
Human, Mouse, Rat
Rabbit
Polyclonal
Unconjugated
25 μl, 100 μl

Quality Guarantee
Explore bioreagents carefree to elevate your research. All our products are rigorously tested for performance. If a product does not perform as described on its datasheet, our scientific support team will provide expert troubleshooting, a prompt replacement, or a refund. For full details, please see our Terms & Conditions and Buying Guide. Contact us at [email protected].

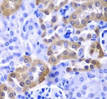
Paraformaldehyde-fixed, paraffin embedded (Rat stomach), Antigen retrieval by boiling in sodium citrate buffer (pH6.0) for 15 min, Block endogenous peroxidase by 3% hydrogen peroxide for 20 minutes, Blocking buffer (normal goat serum) at 37°C for 30 min, Antibody incubation with (LAMP1) Polyclonal Antibody, Unconjugated (orb13749) at 1:400 overnight at 4°C, followed by a conjugated secondary antibody for 20 minutes and DAB staining.

Sample: Lane 1: Human HT-1080 cell lysates, Lane 2: Human HeLa cell lysates, Lane 3: Human JAR cell lysates, Primary: Anti-LAMP1 (orb13749) at 1/1000 dilution, Secondary: IRDye800CW Goat Anti-Rabbit IgG at 1/20000 dilution, Predicted band size: kDa, Observed band size: 95 kDa.

Sample: Lane 1: Human HT-1080 cell lysates, Lane 2: Human JAR cell lysates, Primary: Anti-LAMP1 (orb13749) at 1/1000 dilution, Secondary: IRDye800CW Goat Anti-Rabbit IgG at 1/20000 dilution, Predicted band size: 42 kDa, Observed band size: 110 kDa.

Tissue/Cell: A549 cell, 4% Paraformaldehyde-fixed, Triton X-100 at room temperature for 20 min, Blocking buffer (normal goat serum) at 37°C for 20 min, Antibody incubation with (LAMP1) Polyclonal Antibody, Unconjugated (orb13749) 1:100, 90 minutes at 37°C, followed by a conjugated Goat Anti-Rabbit IgG antibody (orb868589) at 37°C for 90 minutes, DAPI (5 ug/ml, blue) was used to stain the cell nuclei.
Quick Database Links
UniProt Details
−Documents Download
Request a Document
Protocol Information
LAMP1 Rabbit Polyclonal Antibody (orb13749)
Participating in our Biorbyt product reviews program enables you to support fellow scientists by sharing your firsthand experience with our products.
Login to Submit a Review








