You have no items in your shopping cart.
LRCH1 Rabbit Polyclonal Antibody
Description
Images & Validation
−| Tested Applications | IF, IHC-Fr, IHC-P, WB |
|---|---|
| Dilution Range | WB=1:500-2000, IHC-P=1:100-500, IHC-F=1:100-500, IF=1:50-200 |
| Reactivity | Human, Mouse, Rat |
| Predicted Reactivity | Bovine, Equine, Gallus, Porcine, Rabbit, Sheep |
Related Conjugates & Formulations
−Key Properties
−| Antibody Type | Primary Antibody |
|---|---|
| Host | Rabbit |
| Clonality | Polyclonal |
| Isotype | IgG |
| Immunogen | KLH conjugated synthetic peptide derived from human LRCH1 (221-320/728aa) |
| Target | LRCH1 |
| Molecular Weight | 81 kDa |
| Purification | Affinity purified by Protein A |
| Conjugation | Unconjugated |
Storage & Handling
−| Storage | Maintain refrigerated at 2-8°C for up to 2 weeks. For long term storage store at -20°C in small aliquots to prevent freeze-thaw cycles. |
|---|---|
| Form/Appearance | Liquid |
| Buffer/Preservatives | 0.01M TBS (pH7.4) with 1% rAlbumin, 0.02% Proclin300 and 50% Glycerol. |
| Concentration | 1mg/ml |
| Expiration Date | 12 months from date of receipt. |
| Disclaimer | For research use only |
Alternative Names
−Similar Products
−LRCH1 Rabbit Polyclonal Antibody [orb628490]
ELISA, IF, IHC, IP, WB
Human
Rabbit
Polyclonal
Unconjugated
50 μg, 100 μgLRCH1 Rabbit Polyclonal Antibody [orb317653]
IF, IHC-Fr, IHC-P
Human, Mouse
Rat
Rabbit
Polyclonal
Unconjugated
50 μl, 100 μl, 200 μlLRCH1 Rabbit Polyclonal Antibody [orb1879844]
WB
Human
Rabbit
Polyclonal
Unconjugated
200 μl, 100 μl, 50 μl, 30 μl

Quality Guarantee
Explore bioreagents carefree to elevate your research. All our products are rigorously tested for performance. If a product does not perform as described on its datasheet, our scientific support team will provide expert troubleshooting, a prompt replacement, or a refund. For full details, please see our Terms & Conditions and Buying Guide. Contact us at [email protected].

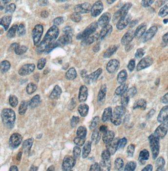
Paraformaldehyde-fixed, paraffin embedded Human Cerebellum, Antigen retrieval by boiling in sodium citrate buffer (pH6.0) for 15 min, Antibody incubation with LRCH1 Polyclonal Antibody, Unconjugated (orb500805) at 1:200 overnight at 4°C, followed by conjugation to the SP Kit (Rabbit) and DAB staining.

Paraformaldehyde-fixed, paraffin embedded Mouse Stomach, Antigen retrieval by boiling in sodium citrate buffer (pH6.0) for 15 min, Antibody incubation with LRCH1 Polyclonal Antibody, Unconjugated (orb500805) at 1:200 overnight at 4°C, followed by conjugation to the SP Kit (Rabbit) and DAB staining.

Paraformaldehyde-fixed, paraffin embedded Rat Cerebellum, Antigen retrieval by boiling in sodium citrate buffer (pH6.0) for 15 min, Antibody incubation with LRCH1 Polyclonal Antibody, Unconjugated (orb500805) at 1:200 overnight at 4°C, followed by conjugation to the SP Kit (Rabbit) and DAB staining.

Paraformaldehyde-fixed, paraffin embedded Rat Stomach, Antigen retrieval by boiling in sodium citrate buffer (pH6.0) for 15 min, Antibody incubation with LRCH1 Polyclonal Antibody, Unconjugated (orb500805) at 1:200 overnight at 4°C, followed by conjugation to the SP Kit (Rabbit) and DAB staining.

Sample: Cerebellum (Mouse) Lysate at 40 ug, Primary: Anti-LRCH1 at 1/300 dilution, Secondary: IRDye800CW Goat Anti-Rabbit IgG at 1/20000 dilution, Predicted band size: 81 kD, Observed band size: 81 kD.

Sample: Spleen (Mouse) Lysate at 40 ug, Primary: Anti-LRCH1 (orb500805) at 1/300 dilution, Secondary: IRDye800CW Goat Anti-Rabbit IgG at 1/20000 dilution, Predicted band size: 81 kD, Observed band size: 81 kD.

Sample: U251 Cell (Human) Lysate at 30 ug, Primary: Anti-LRCH1 at 1/300 dilution, Secondary: IRDye800CW Goat Anti-Rabbit IgG at 1/20000 dilution, Predicted band size: 81 kD, Observed band size: 81 kD.
Quick Database Links
UniProt Details
−Documents Download
Request a Document
Protocol Information
LRCH1 Rabbit Polyclonal Antibody (orb500805)
Participating in our Biorbyt product reviews program enables you to support fellow scientists by sharing your firsthand experience with our products.
Login to Submit a Review





