You have no items in your shopping cart.
Description
Research Area
Images & Validation
−| Tested Applications | WB |
|---|---|
| Reactivity | Mouse |
| Predicted Reactivity | Bovine, Human, Porcine, Rat |
Key Properties
−| Host | Rabbit |
|---|---|
| Clonality | Polyclonal |
| Immunogen | The immunogen is a synthetic peptide corresponding to a region of Mouse |
| Target | Masp2 |
| Protein Sequence | Synthetic peptide located within the following region: YPQPYPKLSSCTYSIRLEDGFSVILDFVESFDVETHPEAQCPYDSLKIQT |
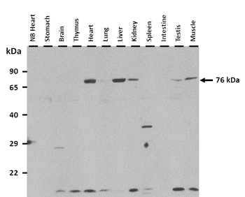
| Molecular Weight | 76 kDa |
| Purification | Affinity Purified |
| Conjugation | Unconjugated |
Storage & Handling
−| Storage | Maintain refrigerated at 2-8°C for up to 2 weeks. For long term storage store at -20°C in small aliquots to prevent freeze-thaw cycles. |
|---|---|
| Buffer/Preservatives | Liquid. Purified antibody supplied in 1x PBS buffer with 0.09% (w/v) sodium azide and 2% sucrose. |
| Concentration | 0.5 mg/ml |
| Expiration Date | 12 months from date of receipt. |
| Disclaimer | For research use only |
Alternative Names
−Similar Products
−MASP2 Rabbit Polyclonal Antibody [orb385436]
ICC, IF, IHC-P, WB
Human, Mouse, Porcine, Rat
Rabbit
Polyclonal
Unconjugated
100 μgMASP2 Rabbit Polyclonal Antibody [orb13562]
IF, IHC-Fr, IHC-P, WB
Equine
Human, Mouse, Rat
Rabbit
Polyclonal
Unconjugated
50 μl, 100 μl, 200 μlMASP-2 rabbit pAb Antibody [orb767423]
ELISA, WB
Human, Mouse, Rat
Polyclonal
Unconjugated
100 μl, 50 μl

Quality Guarantee
Explore bioreagents carefree to elevate your research. All our products are rigorously tested for performance. If a product does not perform as described on its datasheet, our scientific support team will provide expert troubleshooting, a prompt replacement, or a refund. For full details, please see our Terms & Conditions and Buying Guide. Contact us at [email protected].

25 ug of the indicated Human whole cell extracts was loaded onto a 12% SDS-PAGE gel. 1 ug/ml of the antibody was used in this experiment.

WB Suggested Anti-Masp2 Antibody Titration: 0.2-1 ug/ml, ELISA Titer: 1:62500, Positive Control: Mouse Heart.

WB Suggested Anti-Masp2 Antibody Titration: 1 ug/ml, Sample Type: HeLa.
Quick Database Links
UniProt Details
−NCBI Reference Sequences
−| Protein | NP_001003893 |
|---|
Documents Download
Request a Document
Masp2 Rabbit Polyclonal Antibody (orb578120)
Participating in our Biorbyt product reviews program enables you to support fellow scientists by sharing your firsthand experience with our products.
Login to Submit a Review














