You have no items in your shopping cart.
MBL2 Rabbit Polyclonal Antibody
SKU: orb579533
Description
Research Area
Disease Biomarkers, Immunology & Inflammation, Signal Transduction
Images & Validation
−Item 1 of 1
| Tested Applications | WB |
|---|---|
| Reactivity | Human |
| Predicted Reactivity | Bovine, Goat, Guinea pig, Mouse, Rabbit, Rat, Sheep, Zebrafish |
Key Properties
−| Host | Rabbit |
|---|---|
| Clonality | Polyclonal |
| Immunogen | The immunogen is a synthetic peptide directed towards the N-terminal region of Human MBL2 |
| Target | MBL2 |
| Protein Sequence | Synthetic peptide located within the following region: SETVTCEDAQKTCPAVIACSSPGINGFPGKDGRDGTKGEKGEPGQGLRGL |
| Molecular Weight | 27kDa |
| Purification | Affinity purified |
| Conjugation | Unconjugated |
Storage & Handling
−| Storage | Maintain refrigerated at 2-8°C for up to 2 weeks. For long term storage store at -20°C in small aliquots to prevent freeze-thaw cycles. |
|---|---|
| Buffer/Preservatives | Liquid. Purified antibody supplied in 1x PBS buffer with 0.09% (w/v) sodium azide and 2% sucrose. |
| Concentration | 0.5 mg/ml |
| Expiration Date | 12 months from date of receipt. |
| Disclaimer | For research use only |
Alternative Names
−MBL, MBP, MBP1, MBPD, MBL2D, MBP-C, COLEC1, HSMBPC
Similar Products
−Mannan Binding Lectin Rabbit Polyclonal Antibody [orb10974]
ELISA
Human, Mouse, Rabbit
Human
Rabbit
Polyclonal
Unconjugated
100 μl, 200 μl, 50 μlMBL2 Rabbit Polyclonal Antibody [orb402428]
ELISA, IHC, WB
Mouse, Rat
Rabbit
Polyclonal
Unconjugated
100 μg

Quality Guarantee
Explore bioreagents carefree to elevate your research. All our products are rigorously tested for performance. If a product does not perform as described on its datasheet, our scientific support team will provide expert troubleshooting, a prompt replacement, or a refund. For full details, please see our Terms & Conditions and Buying Guide. Contact us at [email protected].

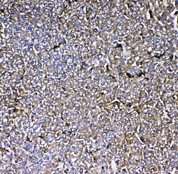
Sample Type: Stomach Tumor lysates, Antibody dilution: 1.0 ug/ml.
Quick Database Links
UniProt Details
− No UniProt data available
NCBI Reference Sequences
−Associated Accession Numbers
Curated reference sequences for the gene transcript and protein product| RefSeq | XP_006717924 |
|---|
Documents Download
Datasheet
Product Information
Request a Document
MBL2 Rabbit Polyclonal Antibody (orb579533)
Based on 0 reviews
Participating in our Biorbyt product reviews program enables you to support fellow scientists by sharing your firsthand experience with our products.
Login to Submit a Review












