You have no items in your shopping cart.
MR1 Rabbit Polyclonal Antibody
SKU: orb185222
Featured
Description
Research Area
Epigenetics and Nuclear Signaling
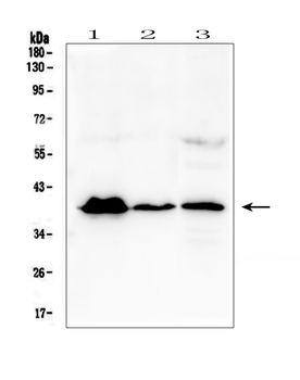
Images & Validation
−
| Tested Applications | ICC, IF, IHC-Fr, IHC-P, WB |
|---|---|
| Dilution Range | WB=1:500-2000, IHC-P=1:100-500, IHC-F=1:100-500, ICC/IF=1:100-500, IF=1:100-500 |
| Reactivity | Mouse |
| Predicted Reactivity | Human, Rat |
Related Conjugates & Formulations
−Key Properties
−| Antibody Type | Primary Antibody |
|---|---|
| Host | Rabbit |
| Clonality | Polyclonal |
| Isotype | IgG |
| Immunogen | KLH conjugated synthetic peptide derived from human MR1 (23-120/341aa) |
| Target | MR1 |
| Molecular Weight | 39 kDa |
| Purification | Affinity purified by Protein A |
| Conjugation | Unconjugated |
Storage & Handling
−| Storage | Maintain refrigerated at 2-8°C for up to 2 weeks. For long term storage store at -20°C in small aliquots to prevent freeze-thaw cycles. |
|---|---|
| Form/Appearance | Liquid |
| Buffer/Preservatives | 0.01M TBS (pH7.4) with 1% rAlbumin, 0.02% Proclin300 and 50% Glycerol. |
| Concentration | 1mg/ml |
| Expiration Date | 12 months from date of receipt. |
| Disclaimer | For research use only |
Alternative Names
−Class I histocompatibility antigen like protein; HLALS; Major histocompatibility complex class I like sequence; Major histocompatibility complex class I related; Major histocompatibility complex class I related gene protein; Major histocompatibility complex class I related isoform CRA a; Major histocompatibility complex class I related isoform CRA c; Major histocompatibility complex class I related isoform CRA d; MHC class I like antigen MR 1; MHC class I like antigen MR1; MHC class I related gene protein; MHC class I related protein 1 isoform B; MHC class I related protein 1 isoform C; MR 1; Mr1 protein; MR1B; MR1C.
Similar Products
−MR1 Rabbit Polyclonal Antibody [orb546292]
ELISA, FC, WB
Human, Mouse, Rat
Rabbit
Polyclonal
Unconjugated
100 μgPNKD Rabbit Polyclonal Antibody [orb78364]
ELISA, IHC, WB
Mouse, Rat
Human
Rabbit
Polyclonal
Unconjugated
100 μgPNKD Rabbit Polyclonal Antibody [orb579360]
WB
Bovine, Canine, Equine, Goat, Guinea pig, Mouse, Rabbit, Rat
Human
Rabbit
Polyclonal
Unconjugated
100 μl

Quality Guarantee
Explore bioreagents carefree to elevate your research. All our products are rigorously tested for performance. If a product does not perform as described on its datasheet, our scientific support team will provide expert troubleshooting, a prompt replacement, or a refund. For full details, please see our Terms & Conditions and Buying Guide. Contact us at [email protected].
Quick Database Links
Gene Symbol
MR1
UniProt
UniProt Details
− No UniProt data available
Documents Download
Datasheet
Product Information
Request a Document
Protocol Information
WB
Western Blot (IB, immunoblot)
IHC-P
Immunohistochemistry Paraffin
IHC-Fr
Immunohistochemistry Frozen
IF
Immunofluorescence
ICC
Immunocytochemistry
MR1 Rabbit Polyclonal Antibody (orb185222)
Based on 0 reviews
Participating in our Biorbyt product reviews program enables you to support fellow scientists by sharing your firsthand experience with our products.
Login to Submit a Review






