You have no items in your shopping cart.
NFE2L1 Rabbit Polyclonal Antibody
Description
Research Area
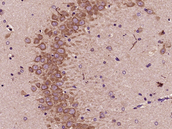
Images & Validation
−| Tested Applications | WB |
|---|---|
| Reactivity | Human |
| Predicted Reactivity | Bovine, Canine, Mouse, Rabbit, Rat |
Key Properties
−| Host | Rabbit |
|---|---|
| Clonality | Polyclonal |
| Target | NFE2L1 |
| Protein Sequence | Synthetic peptide located within the following region: HTYNMAPSALDSADLPPPSALKKGSKEKQADFLDKQMSRDEHRARAMKIP |
| Molecular Weight | 85kDa |
| Purification | Affinity Purified |
| Conjugation | Unconjugated |
Storage & Handling
−| Storage | Maintain refrigerated at 2-8°C for up to 2 weeks. For long term storage store at -20°C in small aliquots to prevent freeze-thaw cycles. |
|---|---|
| Buffer/Preservatives | Liquid. Purified antibody supplied in 1x PBS buffer with 0.09% (w/v) sodium azide and 2% sucrose. |
| Concentration | 0.5 mg/ml |
| Expiration Date | 12 months from date of receipt. |
| Disclaimer | For research use only |
Alternative Names
−Similar Products
−NRF1 Rabbit Polyclonal Antibody [orb11166]
FC, ICC, IF, IHC-Fr, IHC-P, WB
Mouse, Rat
Human, Mouse, Rat
Rabbit
Polyclonal
Unconjugated
50 μl, 100 μl, 200 μlNFE2L1 Antibody [orb629264]
ELISA, IHC, IP, WB
Human, Mouse, Rat
Rabbit
Polyclonal
Unconjugated
50 μg, 100 μgNFE2L1 Rabbit Polyclonal Antibody [orb592877]
WB
Bovine, Canine, Mouse, Rat
Human
Rabbit
Polyclonal
Unconjugated
100 μlNFE2L1 Rabbit Polyclonal Antibody [orb312343]
IF, IHC-Fr, IHC-P
Human, Rabbit
Mouse, Rat
Rabbit
Polyclonal
Unconjugated
50 μl, 100 μl, 200 μlNRF1 Rabbit Polyclonal Antibody (PE) [orb495416]
FC, ICC, IF
Human, Mouse, Rat
Rabbit
Polyclonal
PE
100 μl

Quality Guarantee
Explore bioreagents carefree to elevate your research. All our products are rigorously tested for performance. If a product does not perform as described on its datasheet, our scientific support team will provide expert troubleshooting, a prompt replacement, or a refund. For full details, please see our Terms & Conditions and Buying Guide. Contact us at [email protected].

Sample Tissue: Human HepG2 Whole Cell, Antibody dilution: 1 ug/ml.

WB Suggested Anti-NFE2L1 Antibody, Titration: 1.0 ug/ml, Positive Control: THP-1 Whole Cell.
Documents Download
Request a Document
NFE2L1 Rabbit Polyclonal Antibody (orb573727)
Participating in our Biorbyt product reviews program enables you to support fellow scientists by sharing your firsthand experience with our products.
Login to Submit a Review











